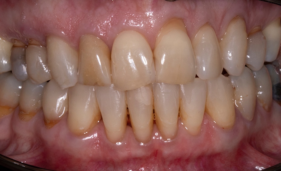
Several challenges were presented with this case: uneven gingival margin, unsatisfactory color, oclussal disfunction, old composite restorations and an acrylic provisional.
We performed an Smile design, defined by the different procedures leading to the enhancement of the smile, beginnig with the patient´s wishes, together with the professional knowledge and the materials that could satisfy the long term result with a highly aesthetic outcome, paying special attention to the macro a and micro texture for a natural looking result.
radiographic exam was completed prior to the treatment plan along with diagnostic stone models and photography.
Treatment plan:
- motivational mock-up from a 3D printed wax-up and gingivectomy based on the future size of the teeth.
- removing of old faulty composite restorations and 0,3mm finish line preparation
- definitive impression and bite registration with PVS silicone
- fabrication of provisional veneers with bisacrilyc resin
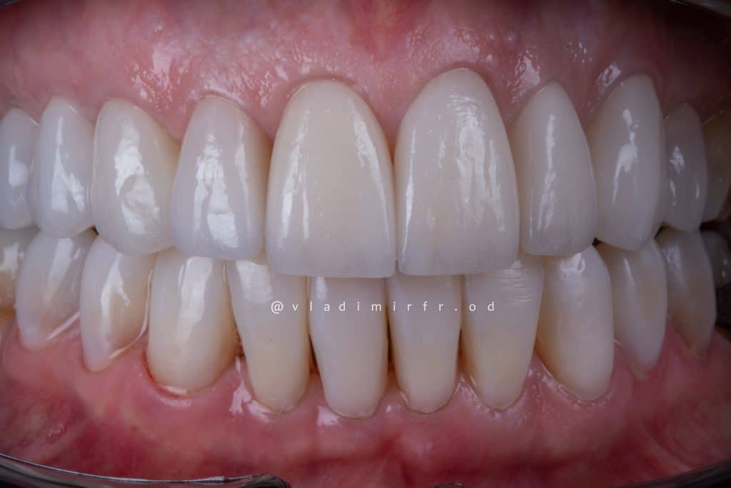
- try-in and cementation of 8, 1mm thick lithium disilicate veneers and 1 crown with micro stratification of feldespathic porcelain with.
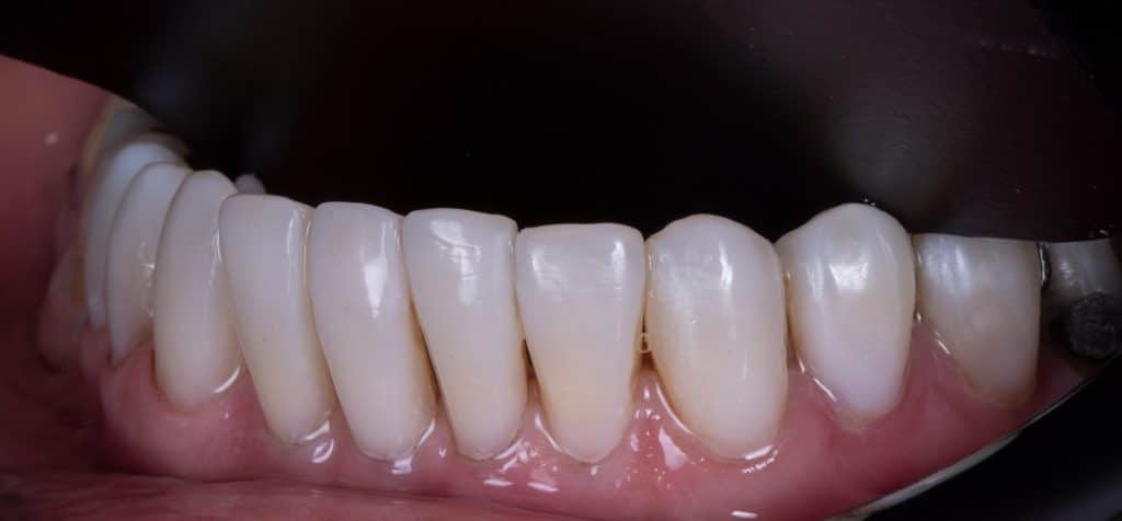
- direct composite veneers on 10 lower teeth with Ena HRI from Micerium
- acrylic occlusal guard
Initial objectives were achieved and most important, a happy and satisfied patient
best of luck
initial
initial
DSD
9 porcelain veneers and 1 crown
upper veneers
direct composite veneers
final
final lateral view
Share on: