[INJECTABLE TECHNIQUE – COMPOSITE VENEERS – MINOR RESHAPING FOR BETTER ESTHETICS]
In presented case 6 composite veneers were made on upper maxillar teeth with injectable technique.
Everything was driven by the wax up, and the beauty of this technique is predictability of final results, great symmetry and possibility to achieve marvelous primary, secondary and tertiary morphology.
After facial analysis models were scanned, and digital wax up was performed.
Based on the wax up Mock up was done, to check guidance, functional parameters, esthetics and phonation.
After few minor corrections final digital models were printed as set of 2 wax ups. One with every second tooth waxed up, and another one in full morphology. Based on those two, silicon indices with transparent silicone were made. In this configuration I can have perfect stabilisation of my silicon index intraoral, with avoiding bigger amount of excess material on adjacent teeth and better emergence profile of my restorations.
Due to low lip line and fillers, her gums are not visible in the forced smile so this asymetry in the softissue around central incisors was left as it is.
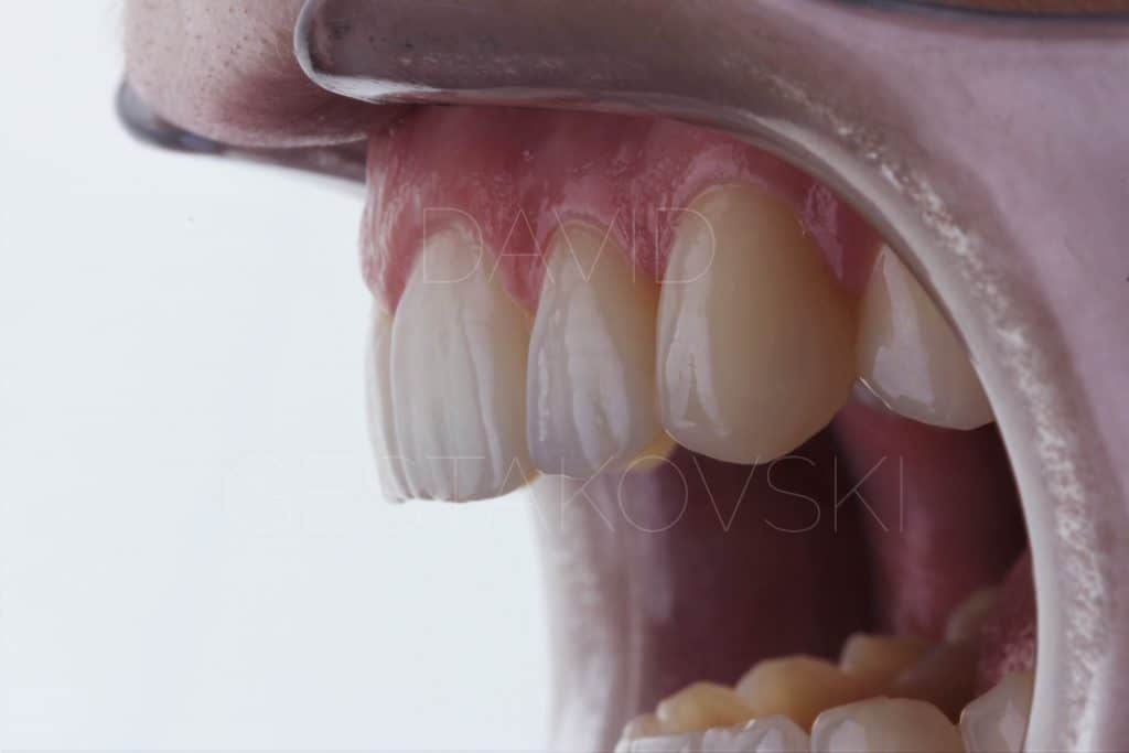
Teeth were cleaned, etched, dental cord was packed in initial part of the sulcus for preventing fluctuation of flowable composite subgingival, adjacent teeth were isolated with teflon tape and after full protocol of adhesion, flowable composite wa injected and polymerized directly on the teeth. Glycerin gel was used as insurance that whole oxygen inhibited layer was polymerized. After finishing and polishing protocol here are some before and after result.
Everything was done minimal invasive without tooth preparation.
On the Mock up picture you can see how precisely final restoration looks like our mock up, and on the next one you can see thickness of our restoration. (it is Mock up after removal, but on those we measured thickness which is in mot veneers less than 0.2 mm on most of vestibular surfaces.)
To get long lasting results, function needed to be planed in correct way. That’s why we included canines in our plan to get canine guidance and avoid some harmful contact and forces on incisors that could end up with chipping of our restorations.
After finishing and polishing protocol here are some before and after result.
In this case Incisors were done with A1 shade, and canines with A2 shade.
I used G-aenial Universal Injectable from GC, and Exaclear (Gc) for production of transparent silicon index.
Some modification such as cord placement, cutting silicon index, double set of wax ups, and so on was done in this case compared to original described protocol by dr. Terry.
Hope you like final results 🙂
PS protocol photos were shoot with different source of light thats why it looks a bit different.
If you want to find out more about Injectable technique check my page and 4 hours online masterclass about Injectable technique for more tips and tricks, videos, images and more cases :
[https://web.facebook.com/100386114884914/posts/157540389169486/?_rdc=1&_rdr]
Registration link: https://docs.google.com/forms/d/116LtNp9MYyRxCoe87vx9ETud5C5BjUoidJLETOInhNE/edit
Share on: