23 years Female patient visits us with missing upper left premolars ( 4 and 5 ), she chose the choice of tooth preparation and fixed bridge,
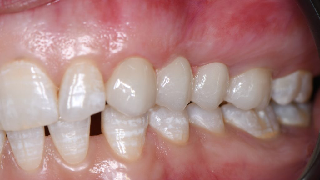
canine and upper molar prepared with horizontal preparation.
Additional silicone impression material used after retraction cord placement.
The bridge cemented with glass ionomer cement.
follow up 6 months later.
Share on: