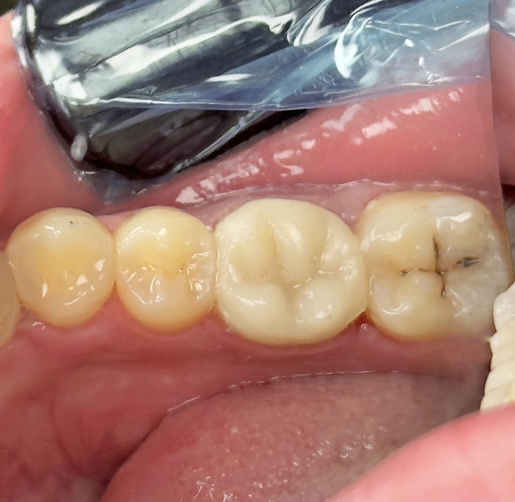
Patient (dentist) came complaining from amalgam restoration placed 3 years ago and caused multiple tooth fractures
1st visit :-
-Complete amalgam removal
-gingival trimming of the inflamed gingival caused by over hanging margin
( tip : transfer the rubber dam strap between tooth no.6 &7 with blunt instrument to the contact between tooth no.5&6 rather than removing the entire RD sheet to trim the gingiva
then put it back to its position after the trimming) this controls the bleeding & saves time
-clean & neat margin
-IDS & RC
-DME (matrix sealed with teflon &diamond wedge)
-ever X posterior to increase fracture resistance
2nd visit :-
-preparation & impression
3rd visit :-
-Air abrasion of both tooth & restoration
-Cementation of the home made indirect composite
-Finishing &polishing
Instagram account ❤️
https://www.instagram.com/k.ramady000?igsh=MXhtaXN3dmxub3lxZQ%3D%3D&utm_source=qr
All photos were taken with mobile + twin flash ✅
Share on: