Diastema in the anterior teeth is one of the most common aesthetic problem. When treating diastema, it is important to pay attention to restoring proper tooth proportions and correct position of midline. Composite veneers or direct composite restoration are often preferred in conservative treatment, if not need orthodontic treatment such as proclination of anterior teeth.
The aim of building a palatal shell:Accurate midline positioning and a stable palatal form for building next layers
silicone index is most common technique in building palatal shell, the free-hand technique provides an efficient alternative that eliminates the need for laboratory steps. This technique is particularly advantageous in single-visit treatments and in cases requiring minimal modification of the incisal edge or smile design and more economical
References:
1. Kabbach, W., Sampaio, C. S., & Hirata, R. (2018). Diastema closures: A novel technique to ensure dental proportion. Journal of Esthetic and Restorative Dentistry, 30(4), 275-280.
2. Mishra, S., Mahore, D., Fatima, A., Tewari, R., & Kumar, A. (2019). Management Of Midline Diastema Closure Using Multidisciplinary Approach-A Case Series. Indian J Dent Res, 17, 1-4.
3. Mishra, S., Mahore, D., Fatima, A., Tewari, R., & Kumar, A. (2019). Management Of Midline Diastema Closure Using Multidisciplinary Approach-A Case Series. Indian J Dent Res, 17, 1-4.
A celluloid strip is positioned palatally behind the diastema, simultaneously covering both teeth.
Small amount of flowable composite is placed in mesial surface befor application of translucent composite to building the palatal shell and separated two palatal shell by endodontic fill ( prebend the file 90 degrees from the middle area to facilitate control).or fine instrument, with a little amount of modeling Liquid.
The result of two palatal shell
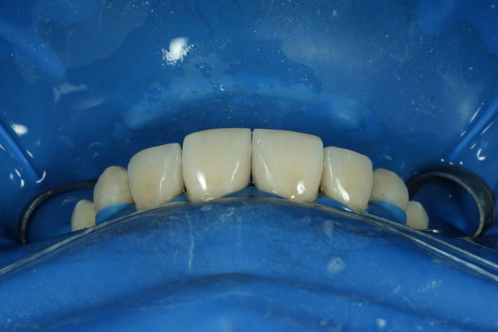
Result of tooth width proportion after diastema closure
Share on: