✨ #FROM DISASTER… TO DOMINANCE ✨
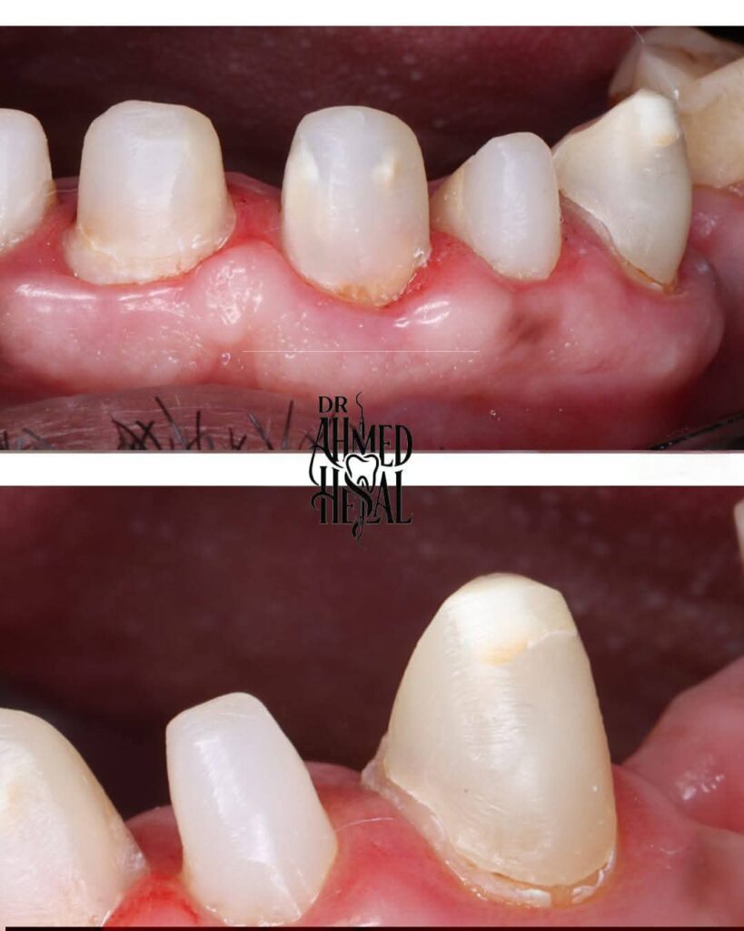
A case that walked in carrying YEARS of neglect… severely BROKEN DOWN anterior teeth, an OLD poorly fabricated bridge done with questionable materials in a non-clinical setting, and SHORT endodontic fillings that had ZERO chance of survival…
The goal wasn’t to FIX… it was to TAKE OVER 💥
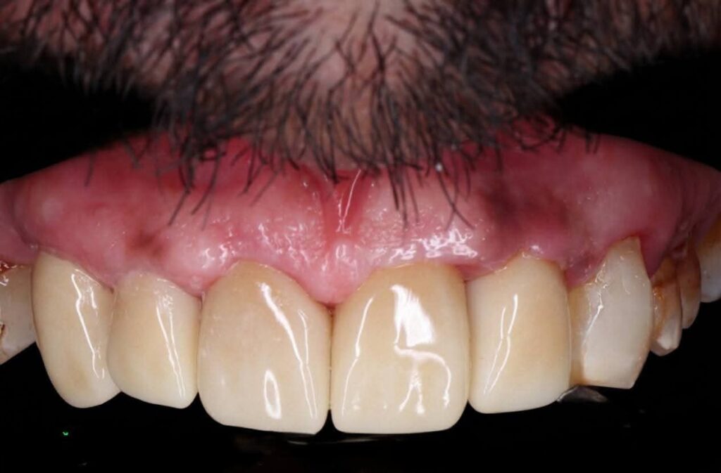
Everything was rebuilt from the inside out… precise ENDODONTIC RETREATMENT to correct the compromised foundation, fiber posts to restore strength and control, core build-up to reshape what was lost… and finally, full coverage ZIRCONIA CROWNS delivering ELITE esthetics with uncompromised durability ✨
The transformation?
Not just a better smile… but a COMPLETE UPGRADE.
STRONGER. SHARPER. UNSTOPPABLE.
Because when dentistry hits this level… it doesn’t just restore a smile, it REDEFINES PRESENCE 😏
📸 LOOK CLOSE… THIS ISN’T LUCK, THIS IS PRECISION.
#SmileTransformation #ZirconiaCrowns #EndoRetreatment #FullMouthRehab #AnteriorRehab #EstheticDentistry #LuxuryDentistry #DentalArt #BeforeAfter #SmileUpgrade
Share on: