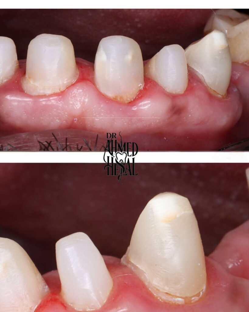
Vertical preparation for zirconia crowns — part of a full mouth rehabilitation.
Carefully controlled reduction to create a seamless emergence profile, allowing the zirconia to mimic natural contours and ensure optimal strength and esthetics.
Precision in every step… because details make the difference.
Share on: