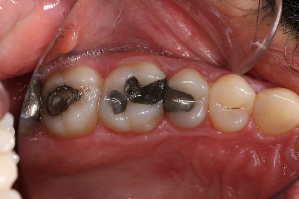
Patient complaining from bad contact and pain during cold 🥶 lasting for few second
decision made to remove old amalgam restoration .
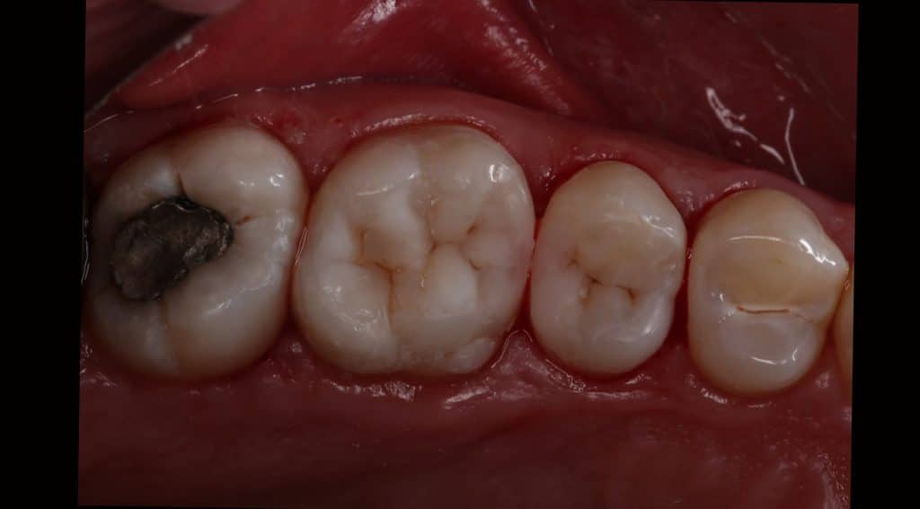
steps:
remove old restoration
cavity design
immediate dentin sealing(IDS)
Bioclear matrix system
sixth generation se bond
finishing and polishing (enhance kit from dentsply)
Share on: