Hello Everyone.
Even if a dental restoration is aesthetically beautiful, when it harms the biological system, it is “ugly.” Many dentists and laboratory technicians may lack the knowledge concerning natural tooth morphology and tooth positions necessary to create beautiful teeth, smiles, and good function. Dentists who have spent a large portion of their careers studying and performing occlusal rehabilitation typically pay little attention to aesthetics in favor of improving function, joint stability, and patient comfort. Conversely, dentists who have focused only on aesthetics frequently pay little attention to function. However, if we understand the functions of teeth, it is easier to reproduce them in natural-like artificial forms because form follows function.
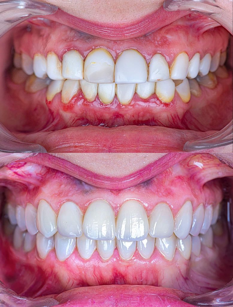
In today’s case report, the treatment plan aimed to give the patient the best of both worlds: good function and good aesthetics. The case presented below was for a 26-year-old female patient referred to me by a colleague. The patient’s chief complaints were as follows:
She was not satisfied with her smile.
Poor chewing efficiency.
Bad breath.
TMJ clicking.
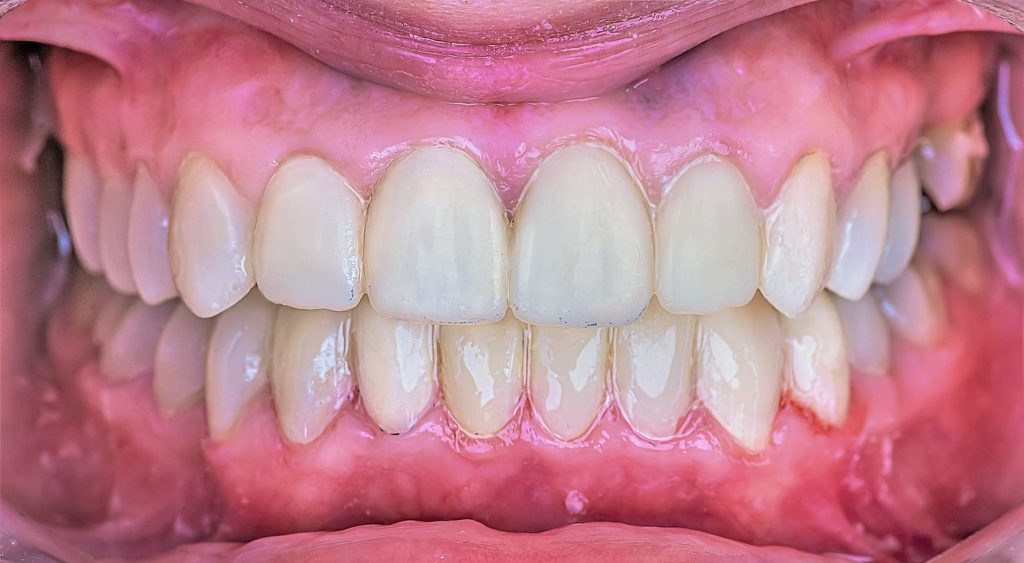
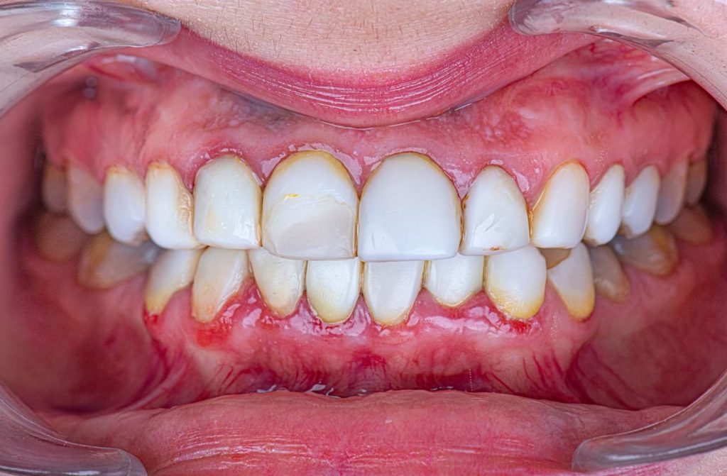
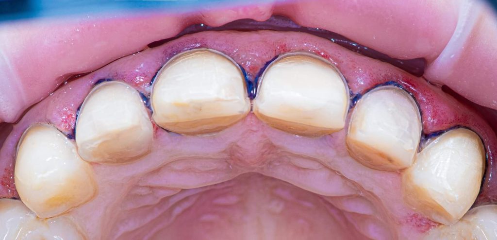
After clinical examination and history taking, it was noted that the patient had direct composite veneers on the maxillary and mandibular teeth from 18 months ago. This work was poorly designed and badly executed in terms of both aesthetics and function. The composite veneers were bulky, over-hanging, not finished or polished properly, unaesthetic, not designed to be in harmony with the functional movements of the mandible, and had multiple occlusal interferences affecting the harmony and balance of the entire stomatognathic system.
Thus, the treatment plan and steps were as follows:
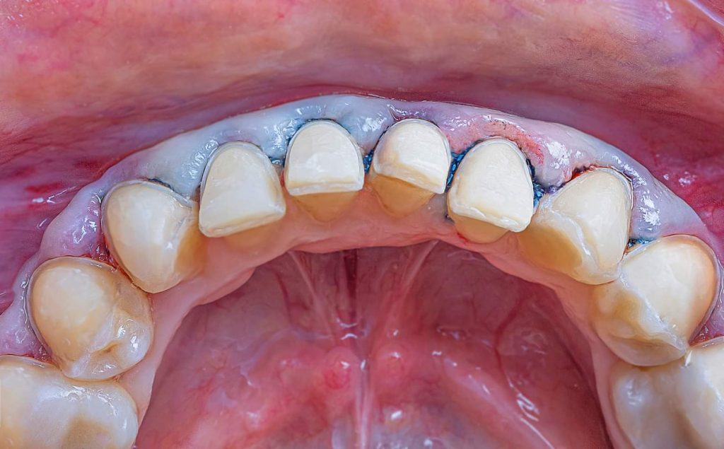
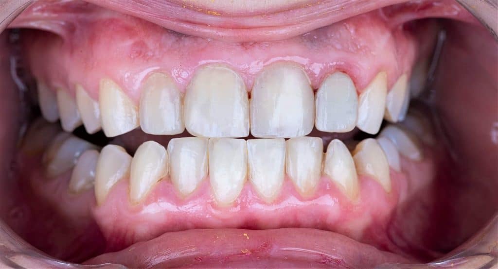
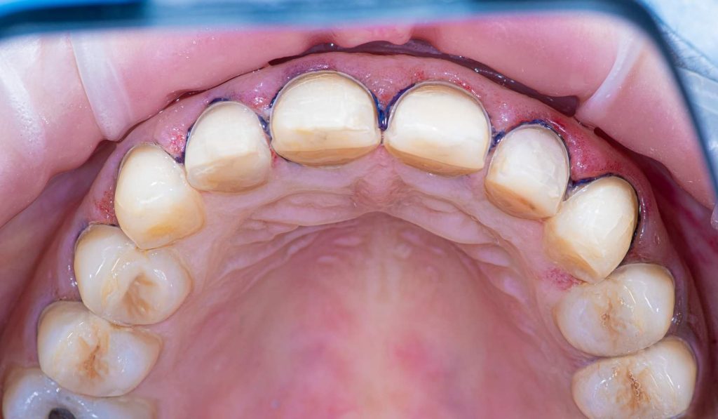
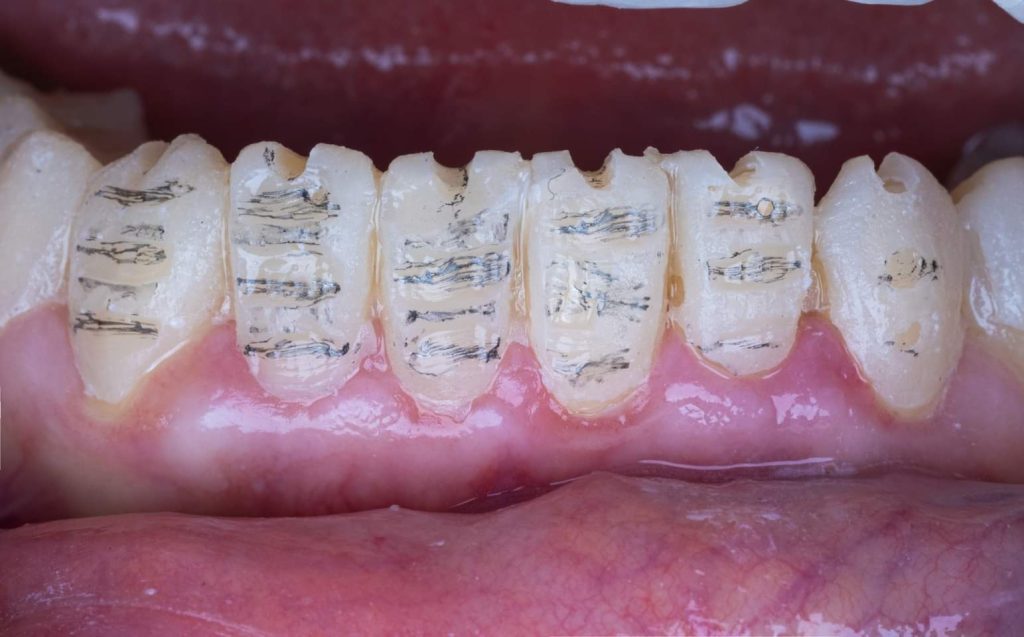
Diagnostic Phase: This included an extraoral examination of the TMJ and muscles of mastication. The TMJ was examined through palpation, bimanual manipulation, and load testing. The lateral part of the condyle was palpated (i.e., from the ear canal) for tenderness and capsulitis, and the posterior part of the joint was assessed for tenderness associated with retrodiskitis and for laxity of the lateral collateral ligament. Palpable clicking was noted in both joints. This was followed by palpation of the masticatory muscles, which revealed pain in the masseter and temporalis muscles. All these findings were likely related to the multiple occlusal interferences from the poorly designed composite veneers. Consequently, the next step was to remove those composite veneers. This was conducted very carefully and conservatively, as shown in the images below, to preserve the underlying precious enamel structure. One week after removal of the composite veneers, the patient reported better chewing efficiency, reduced TMJ clicking, and improved gingival health.
Occlusal Vertical Dimension (OVD) Check: Fortunately, there was no loss in the OVD. Maxillary and mandibular impressions were made, facebow transfer and bite registrations were also done, and the case was transferred to the semi-adjustable articulator. The case was then sent to the dental laboratory for wax-up designs. The wax-up was designed following the principles of mutually protected occlusion (canine-guided occlusion) after proper positioning of the curve of Spee with the aid of Broadrick’s occlusal plane analyzer according to Monson’s spherical theory of occlusion.
Trial Phase: The wax-up design was transferred into the patient’s mouth using bis-acryl temporary crown materials with the aid of silicone keys made from the designed wax-up. During this trial, I checked the occlusal functional harmony, speech, incisal edge position, and teeth exposure in repose and maximum smile.
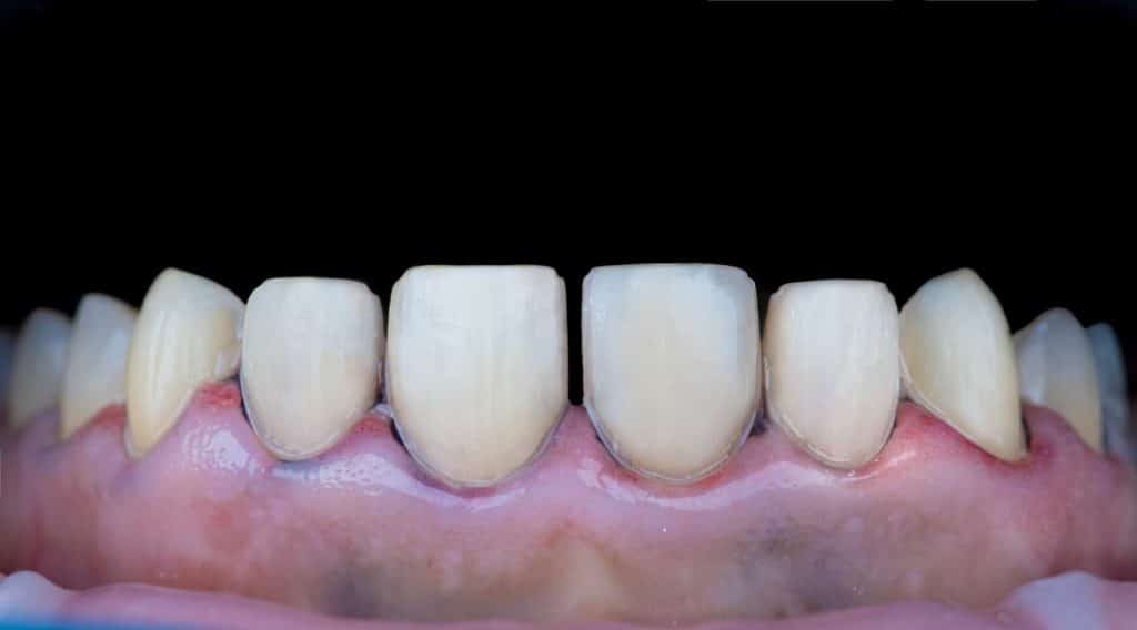
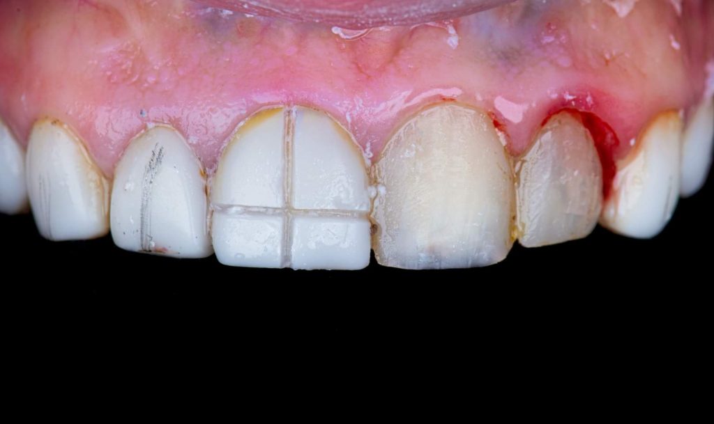
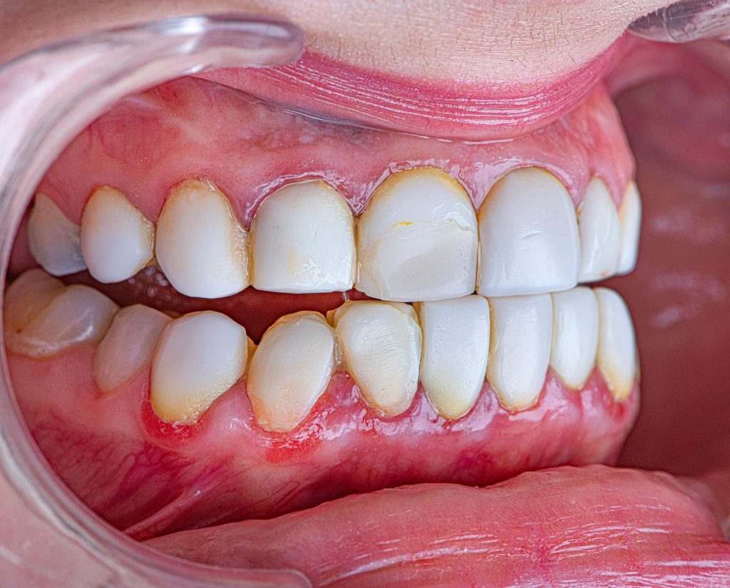
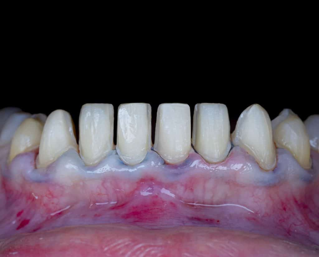
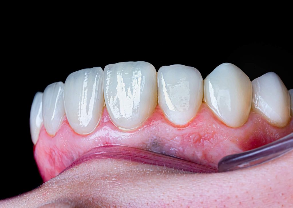
Final Phase: After two weeks of the trial smile, the definitive treatment phase was conducted. This included teeth preparation through the mock-up for the final E.max veneer restorations as presented and described in the images below.
In conclusion, I would like to express my deepest gratitude to Dr. Wasan Almaeeni & Dr. Ahmed Abd Alkareem Aljumili, the owners of Layers Lab , for the excellent lab work, with special thanks to the talented dental technician, Ali Kadum, who did the wax-up and the E.max veneers perfectly for this case.
Best regards,
Dr. Mohammed Ali Fadhil
M.Sc., Ph.D., Restorative and Aesthetic Dentistry
Baghdad College of Dentistry.
Share on: