For such case we can follow either the adhesive dentistry by doing DME and overlay or we can go with vertical preparation that give a good result with good prognosis, in this case I chose to follow the principles of adhesive dentistry to save this badly carious tooth ,
To go with adhesive dentistry we have a three terms we should know ; IDS, RC and DWT
the final restoration was indirect lithium disilicate overlay which rely completely on adhesion
Immediate Dentin Sealing (I.D.S) is a concept by Pascal Magne that describe the infiltration of newly cut Dentin with Dentin adhesive that to create the hybrid layer that mimic the dentino-enamel complex protecting it from bacterial leakage
Resin coating (RC) placing a thin layer (0.5)mm of microfilled flowable composite to protect the underlying hybrid layer and also let the adhesive resin to complete the polymerization reaction ((Jayasooriya et al .,2003))
IDS+RC will enhance the dentin bonding strength, the two protocol will increase the strength of dentin bond about 400% ((Magne et al .,2005 , Jayasooriya et al .,2003))
DWT (Decoupling with time) is anew concept by David Alleman that mean after curing the dentin bond we should wait for some minutes (decouple) to allow dentin bond get mature ((Alleman, 2021))
This importance of this time out time is very critical, it gives the resin monomer to convert into oligomers then finally small polymer , the rate of this conversion will completing 80-90% of monomer conversion ((Davidson et al ., 1984));((Feilzer et al .,1987))
By following these principles we can save such severely decayed teeth
Steps:
Isolation with rubberdam
IDS with gold standard clearfil SE bond
RC with flowable composite
Ribbond application to mitigating the stress on the bond from polymerization,
Ever x flow for dentin replacement
Deep margin elevation (DME)
Prepare the tooth and composite to create the final biobase
Impression taking
Lithium disilicate overlay
Cementation with heated composite
One year follow-up
References :
References
1- ALLEMAN . Decoupling with time.
2- Immediate Dentin Sealing: A Fundamental Procedure for Indirect Bonded Restorations
(PASCAL MAGNE) . 2005
3- Nonretentive Bonded Ceramic Partial Crowns:Concept and Simplified Protocol for Long-lasting Dental Restorations , Politano et al .
4-Van Meerbeek et al., 2003
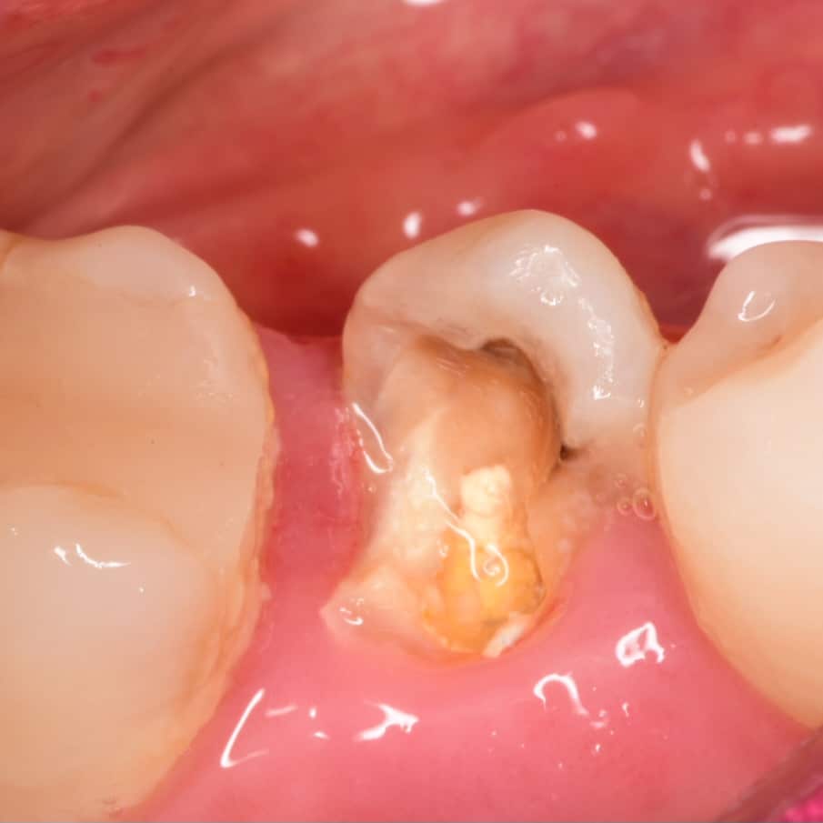
Initial situation showing badly carious lower second premolar
Buccal view showing the same destruction of the tooth, the patient insisted on restoring her tooth
Isolation, look to the amount of tooth structure left under the gingival tissue, dentin quality looks good for bonding, so lets go with adhesive dentistry
Band adaptation, IDS with gold standard clearfil SE bond, RC with flowable composite,Ribbond placed inside the ever x flow, Ever x flow for dentin replacement,
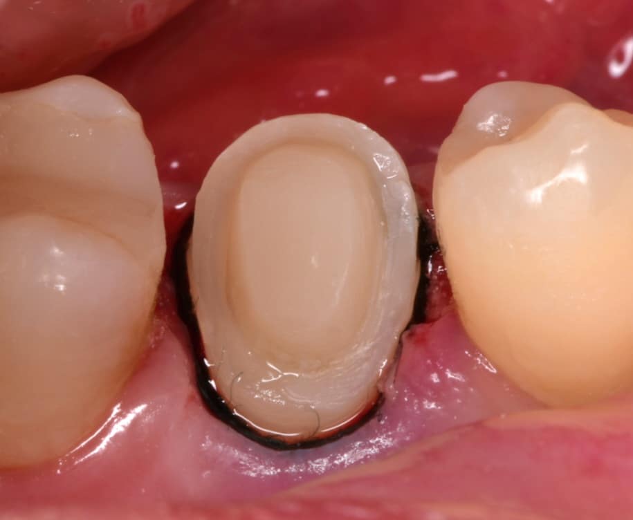
Biobase ready
Occlusal view
Day of cementation, isolation with rubberdam
Sandblast, acid etching, bond without curing
Cementation with heated composite
Occlusal view
Immediate result, fitness on the biobase
Immediate result
Oxygen inhibition layer removal
Immediate final result
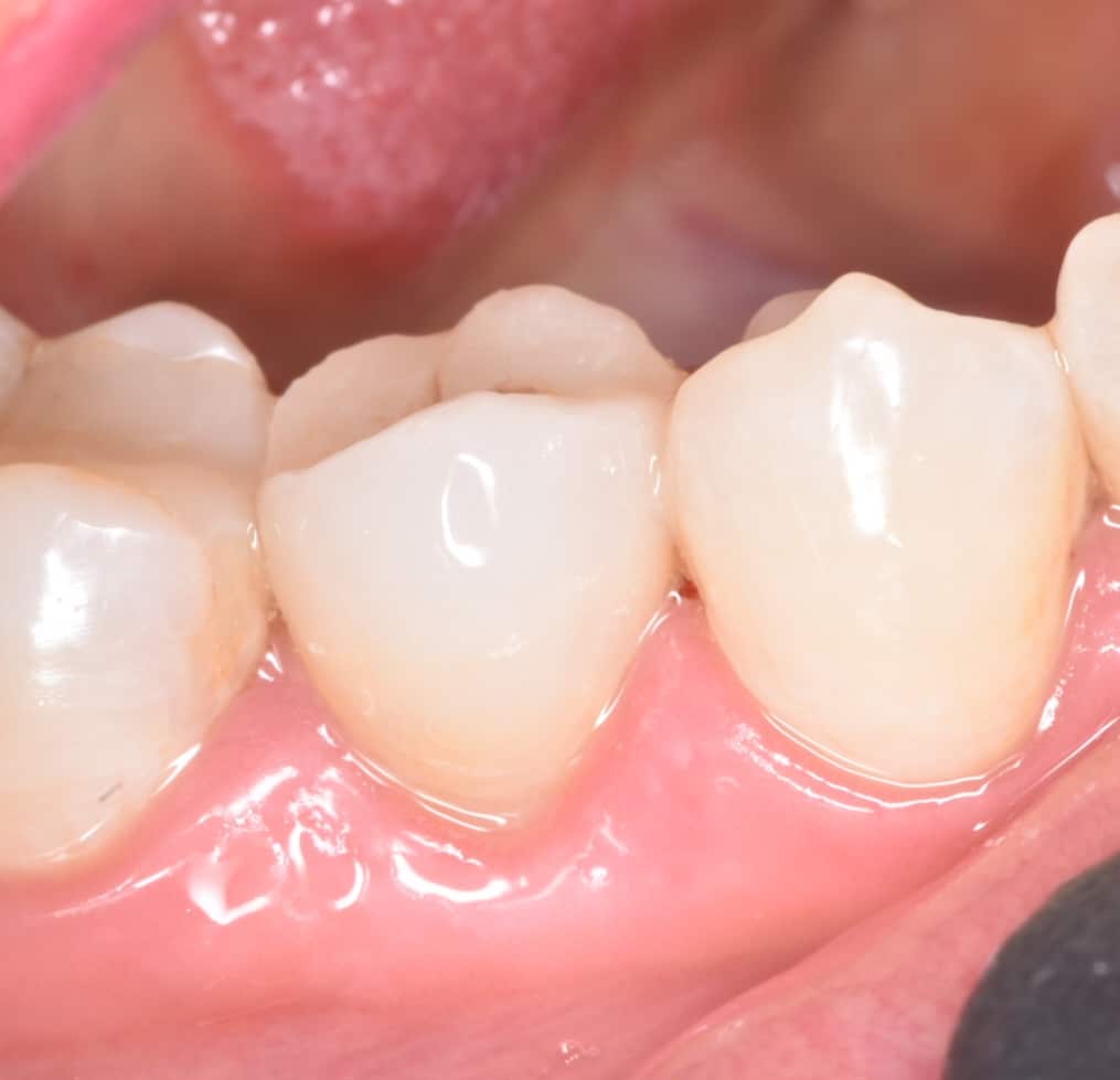
One year follow-up, healthy , functional and durable
Initial x ray
After preparing the tooth
Final x ray
Share on: