Hello dear colleagues
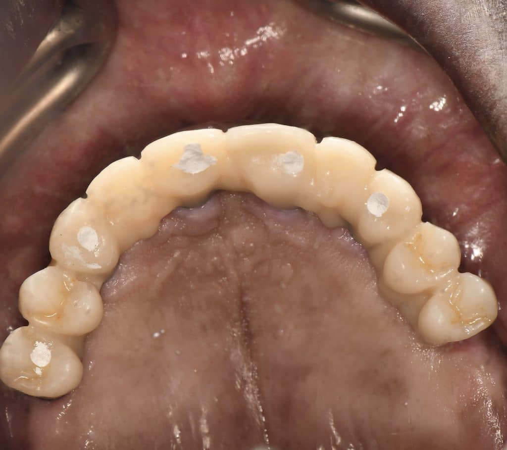
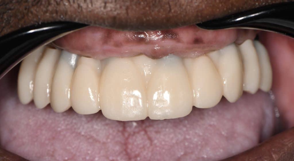
here a case where a full mouth réhabilitation was done by placing 6 implants
multiunit abutement were placed and a temporary bridge also was made for emergence profile shaping
Best regards
With my case, I want to win a free ticket to attend the IAO International Congress #IAONapoli2024 from April 11-13 for free.
Share on: