Treatment plan
Scaling then after 3 days laser gingivectomy, dipigmentation and frenectomy after one week removal of carious endodontic treatment cause of pathological exposure , post and core build up reduction after one week finishing reduction and impressions
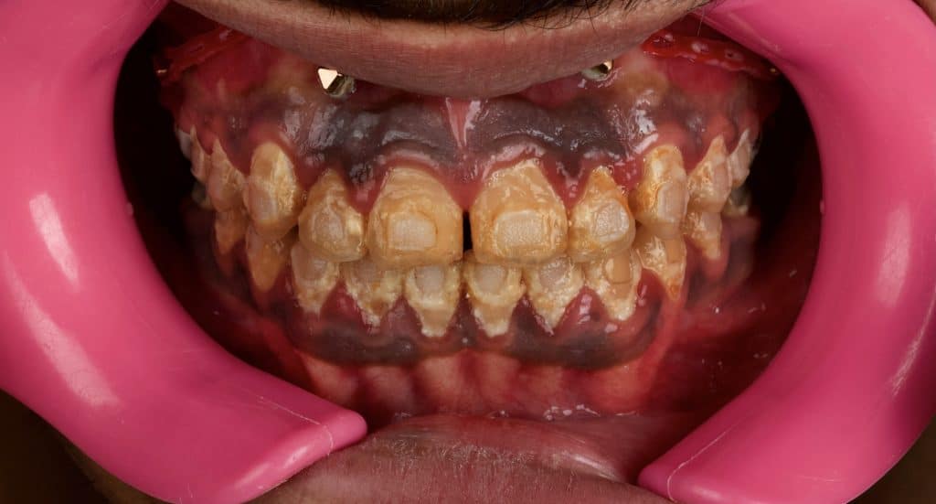
Initial situation
Final results 3 days after cementation
Before and after
Before and after
Before and after
Before and after
Share on: