Full mouth rehabilitation case by 5th grade Dental student
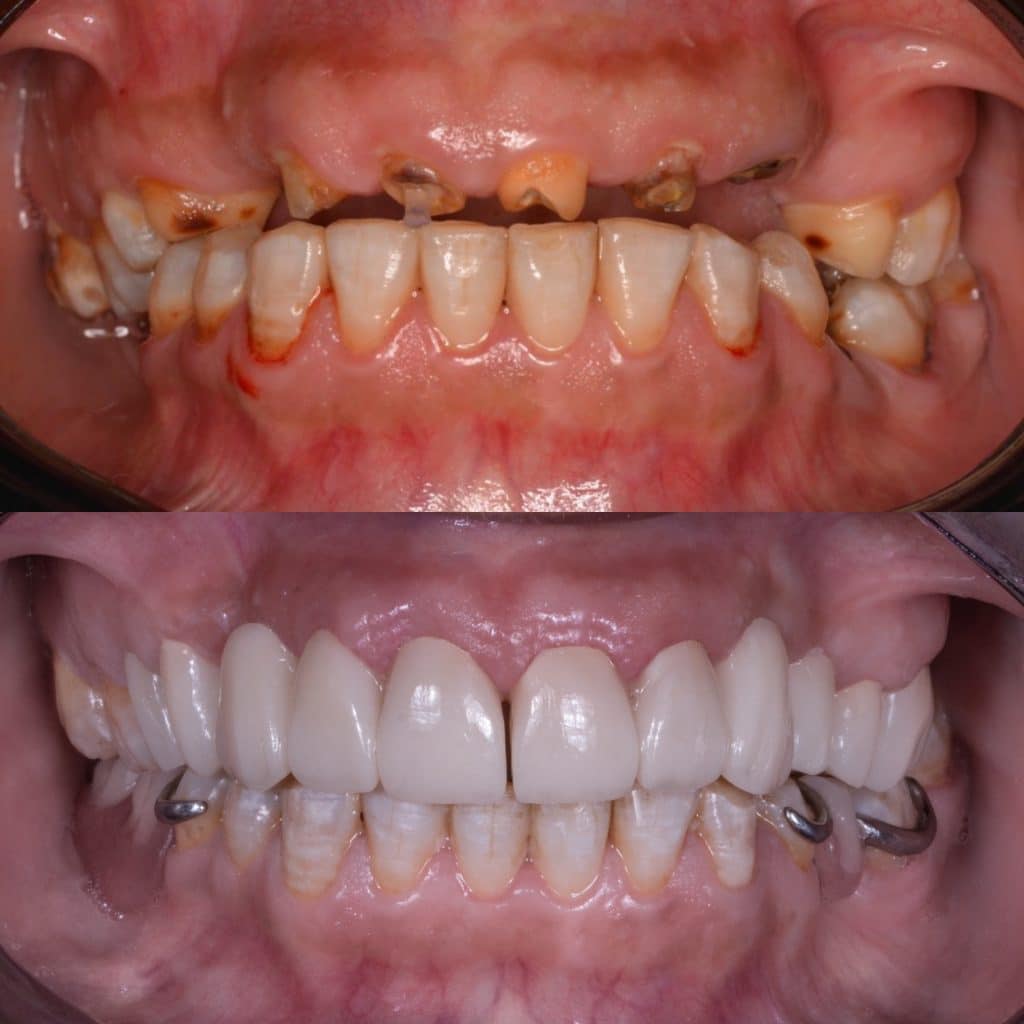
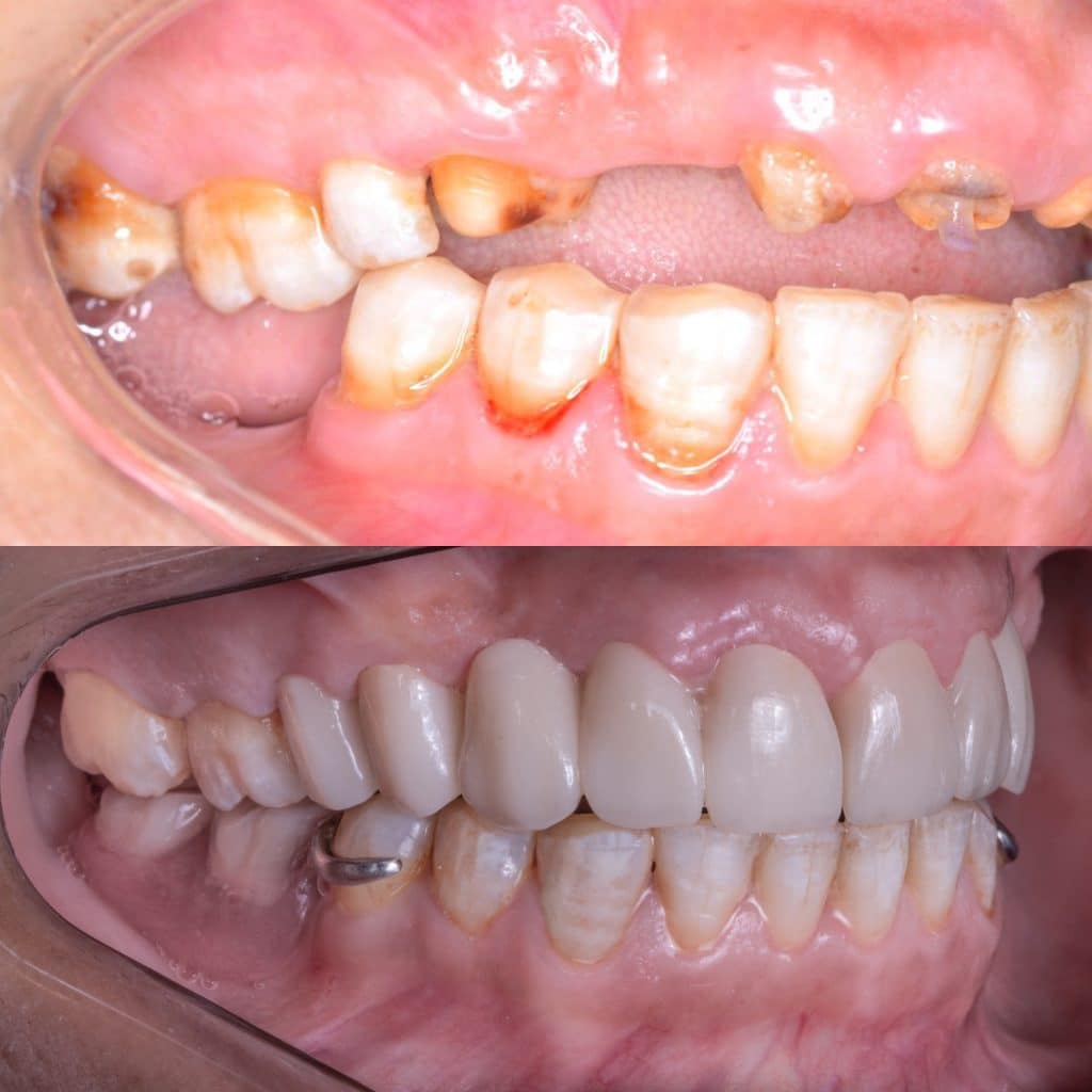
42 years old female patient came to Pharos university in Alexandria egypt suffering from badly destructed teeth seeking her teeth to be restored
She lost her self confidencedue after losing her FPD for more than 2 years and she couldn’t smile or even eat !
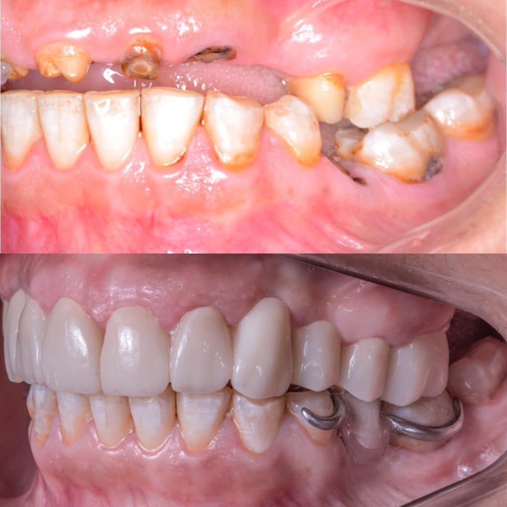
The remaining tooth structure were broken with its old fiber posts due to malocclusion
Treatment plan
- Peridontal treatment ( scaling and root planning )
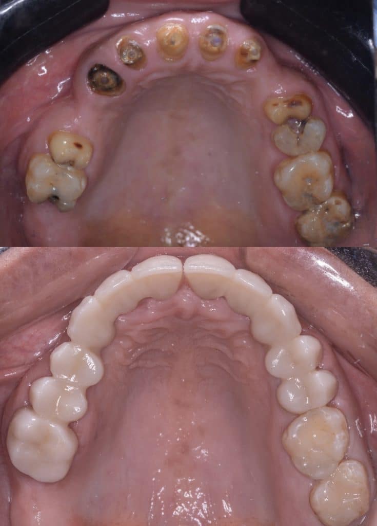
- Extractions for non restorable teeth 11,20
- Surgical crown lengthening
- Transitional denture fabrication to restore the occlusion
- Caries removal and Fiber post removal
- Endodontic retreatment for 7,8,9,10
- RCT for 4,5,13
- Fiber post placement and core build up in 4,5,13,7,8,9,10
- Composite filling were applied in 2,3,18,19
- Preparation of two bridges from 4 to 8 & 9 to 14 with Horizontal prep and subgingival chamfer finish lineNote missing teeth are 6,11,12
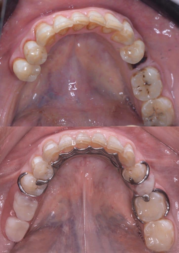
- After cementation of the bridges, rest seats were prepared for the RPD
- Metalic Rpd fabricated for class 2 mod 1 kindey classification
All impressions were done using additon silicone putty and wash (Coltene) to ensure good quality of impression and cast and maintain good dimensional stability for long time
Share on: