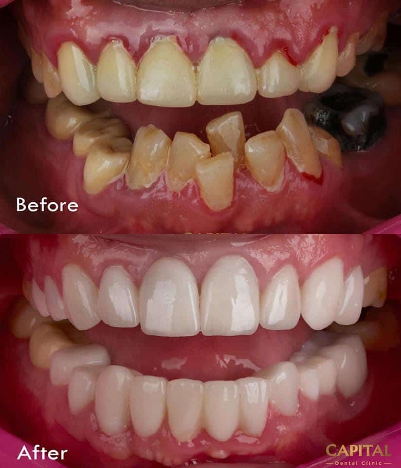
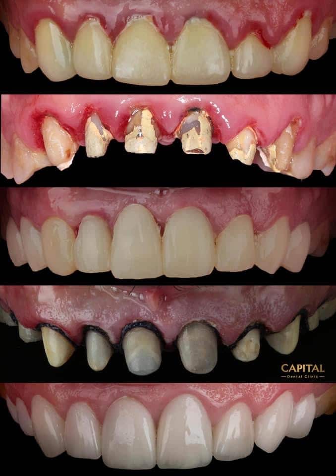
One of the hardest cases 🇪🇬🇪🇬
Treatment plan (About 3 months of hard working)
1- Digital smile design
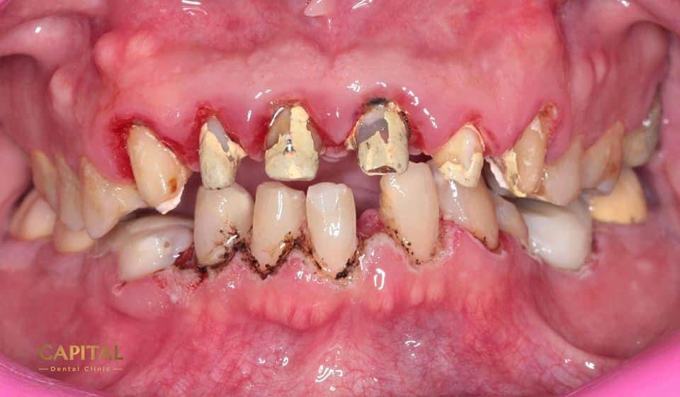
2- Removal of old restorations
3- Scaling and treatment of gingiva
4- Endodontic treatment
5- Rehabilitation of the teeth with posts and cores
6- Surgical crown lengthening
7- Provisional restorations
8- Restoring vertical dimension
9- Final preparation
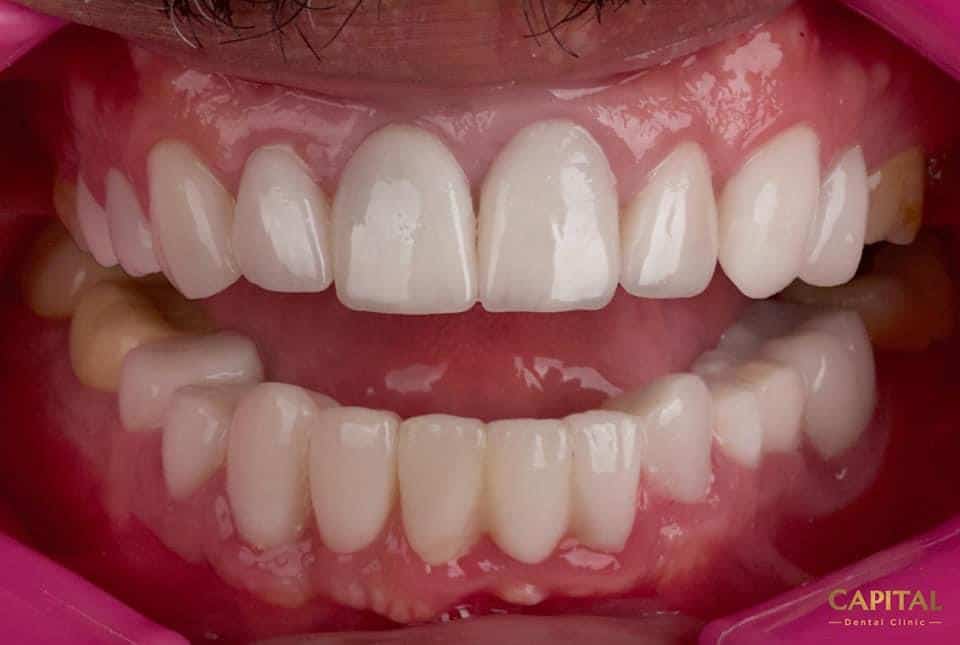
10- Zirconia crowns and bridge
Power of team work 💪
This case done by Dr. Ahmed Ibrahim El Momen & Dr. Ammar Kasem
Endodontic treatment by Dr. Amr Azazi
Design and ceramic work by Dr. Amira Said
Capital Dental Clinic – Dr.Ahmed Alkaffas
Share on: