How to control full mouth veneers in just 3 visits !

14 month follow up
Actually, this patient was reffered to me by a dear colleague after failure of orthodontic treatment.
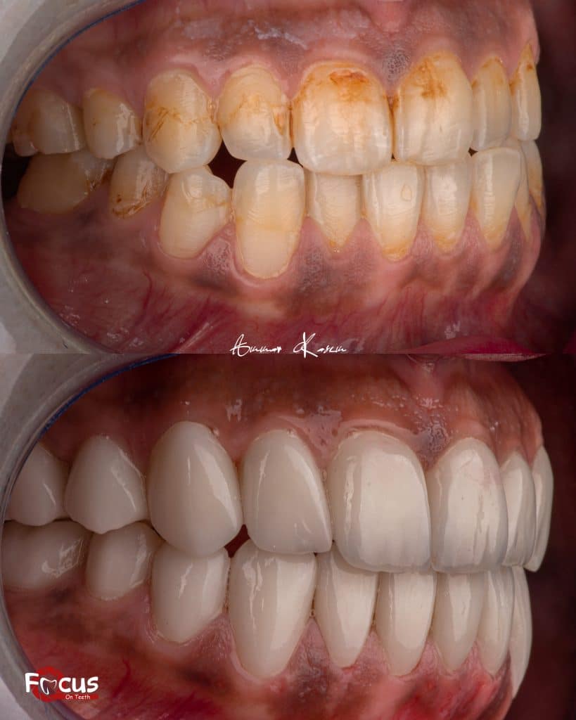
The patient chief complain was discoloured teeth with failed restorations buccally and proximally
Even we correct the alignment of her teeth, we will make veneer to correct the color and the failed restorations but the patient refused to remake ortho
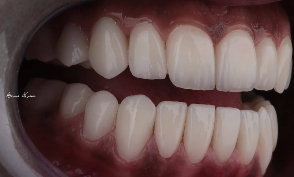
Laminate veneers are conservative treatment option to correct slight malposition and to mask mild to moderate discoloration
Relapse after two years of Orthodontic treatment
Teeth irregularities and cross bite
Low lip line
Midline shift not of concern of the patient
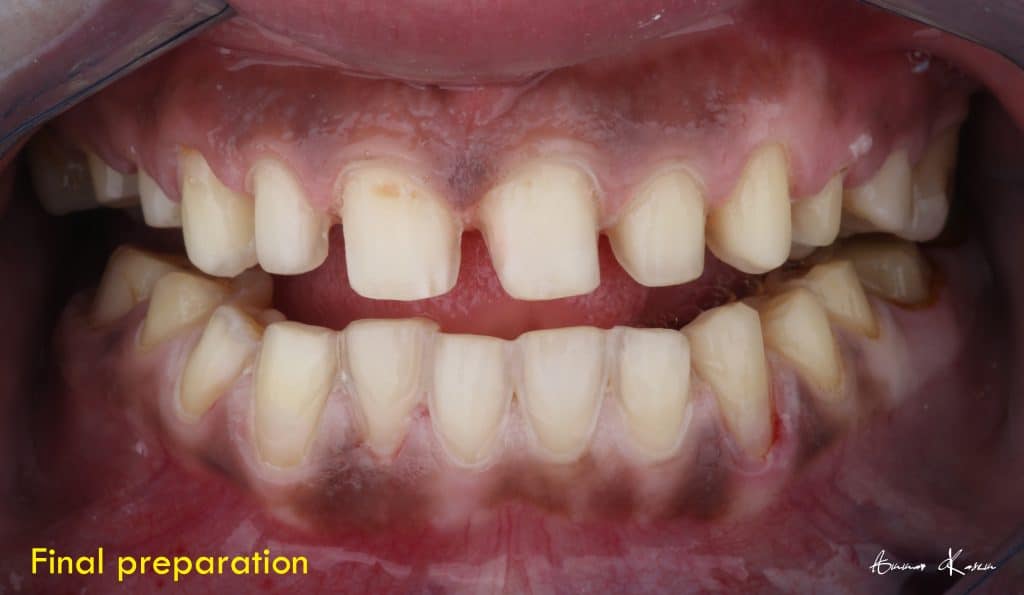
Mixed preparation for conservation
After preparing the right side of maxillary and mandibular teeth, bite registration was done before preparation of the other side
After preparing the left side, the bite of the right side was inserted and the bite material was injected to the other side to make the final bite registration
DSD was transported to the prepared teeth to make connection with the lab
Still shifted but accepted
To avoid root canal treatment
Share on: