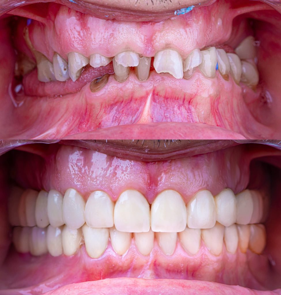
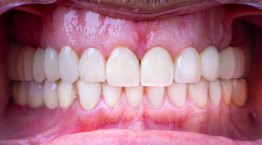
After almost 4 Years Follow-Up.
I am revisiting this Full Mouth Rehabilitation case, which was my first published case in this group.
A special thanks to my friend, Dr. Ahmed Salman Jameel, for performing the implants in this case. I also extend my gratitude to Wisam Raheem Ali and Ihsan Altaay for their outstanding lab work on this case.
Phases of Management (Summary):
1. Diagnostic Phase:
This phase began with:
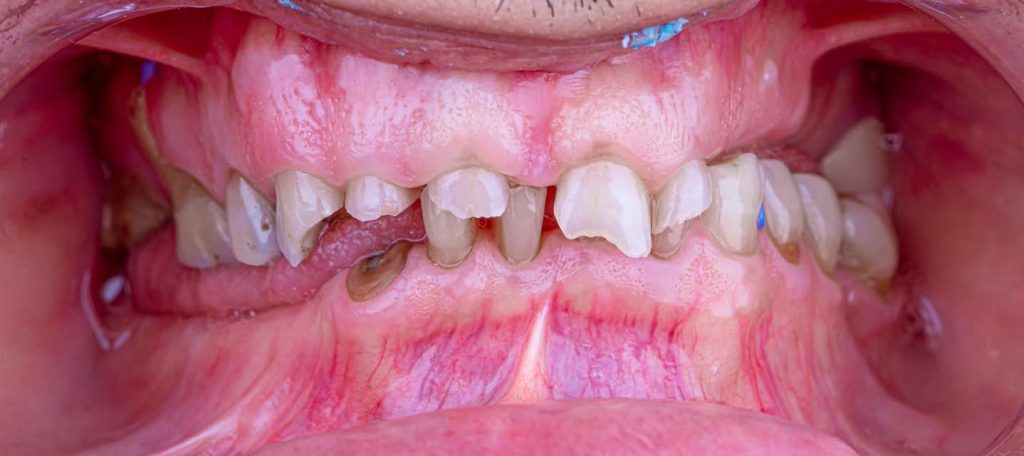
Extraoral examination: Included palpation of the masticatory muscles. The patient showed no signs of Temporomandibular Disorders (TMD).
Intraoral examination and determination of the vertical dimension at occlusion and rest using the phonetics method. This involved the physiologic rest position and interocclusal distance protocol, where the patient was instructed to say the labial “M” sound (e.g., in EMMA) without tensing the lips, allowing the mandible to settle in the rest position.
Fortunately, the patient was classified as Category I according to Turner and Missirlian’s (1984) classification, with an interocclusal space exceeding 5 mm.
Subsequent steps included:
Taking impressions and creating study casts for the upper and lower jaws.
Constructing acrylic base wax bites for the free-end areas.
Recording the centric relation using a leaf gauge, as per Dr. Stephen Phelan’s protocol. Additional interocclusal records (one protrusive and two excursive) were registered for the semi-adjustable articulator setup.
Facebow transfer registration.
The case was transferred to a semi-adjustable articulator, where the vertical dimension was increased by 5 mm. A diagnostic wax-up and removable prostheses were created at the new vertical dimension, guided by the curve of Spee using Broadrick’s Occlusal Plane Analyzer. Silicone indices were fabricated for both arches.
2. Corrective Phase:
This phase included all necessary corrective procedures:
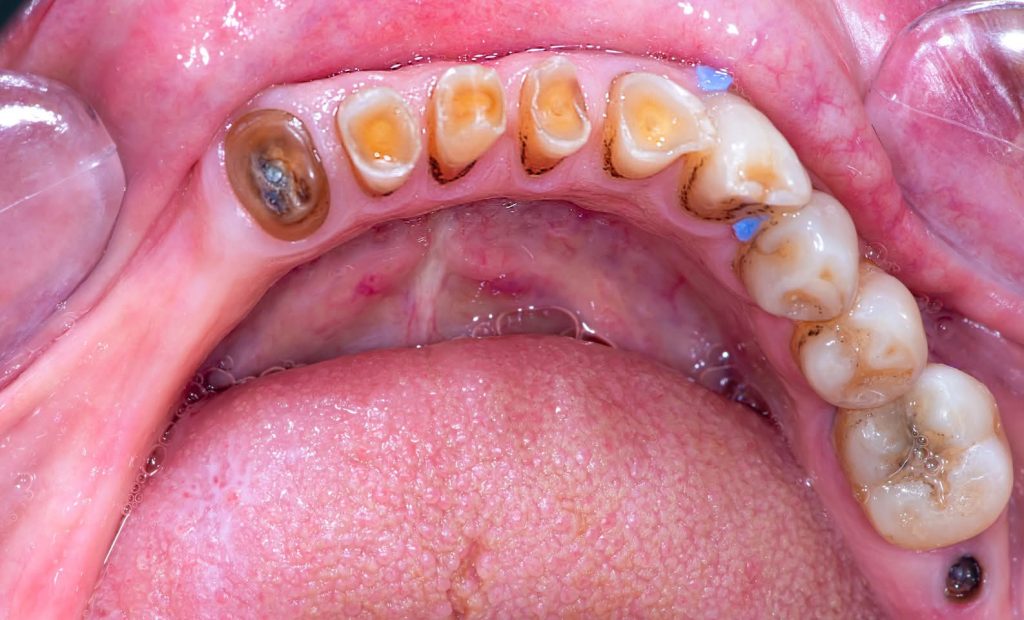
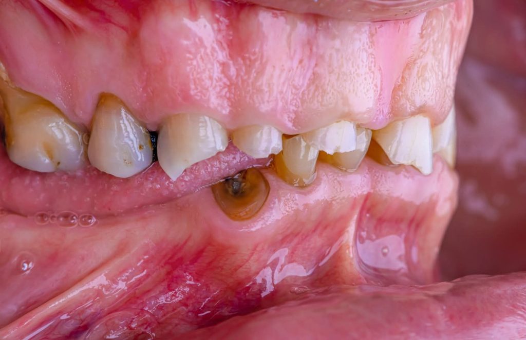
Extraction of hopeless teeth.
Endodontic treatments.
Replacement of old, defective fillings.
Tooth build-ups to the new vertical dimension of occlusion, aided by the silicone indices.
Removable prostheses were inserted, and the patient was monitored for one month.
Minor occlusal adjustments were made during this period to achieve a more stable, comfortable occlusion and proper phonetics.
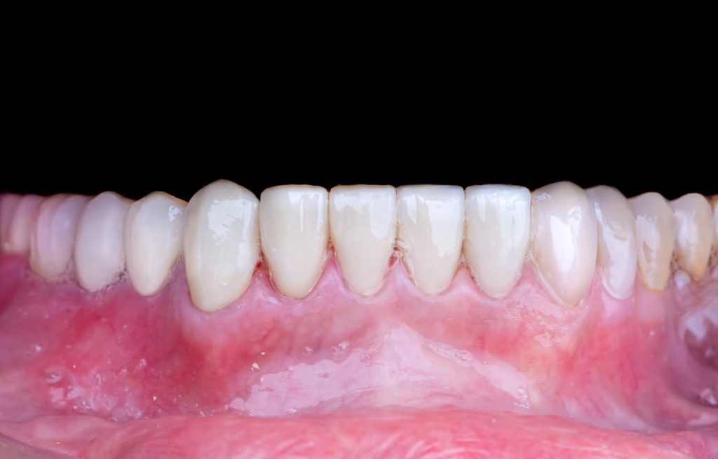
3. Definitive Phase:
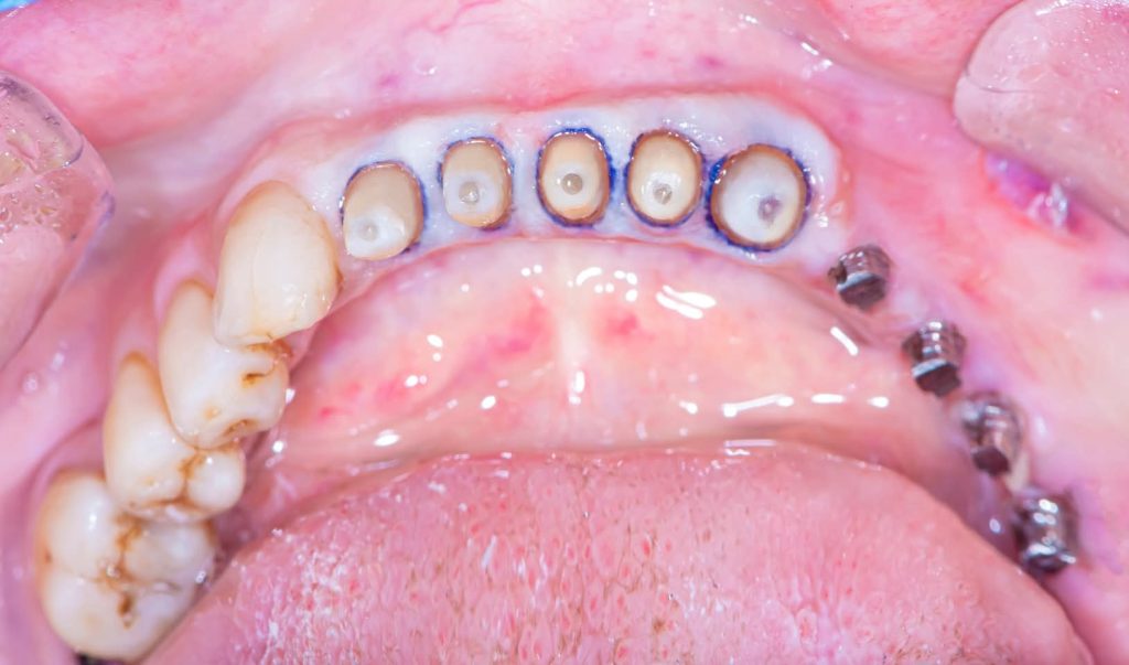
This phase began with the upper arch:
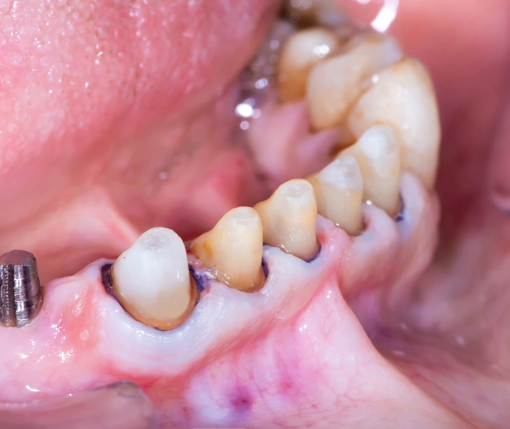
Placement of implants in the free-end areas.
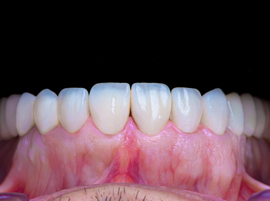
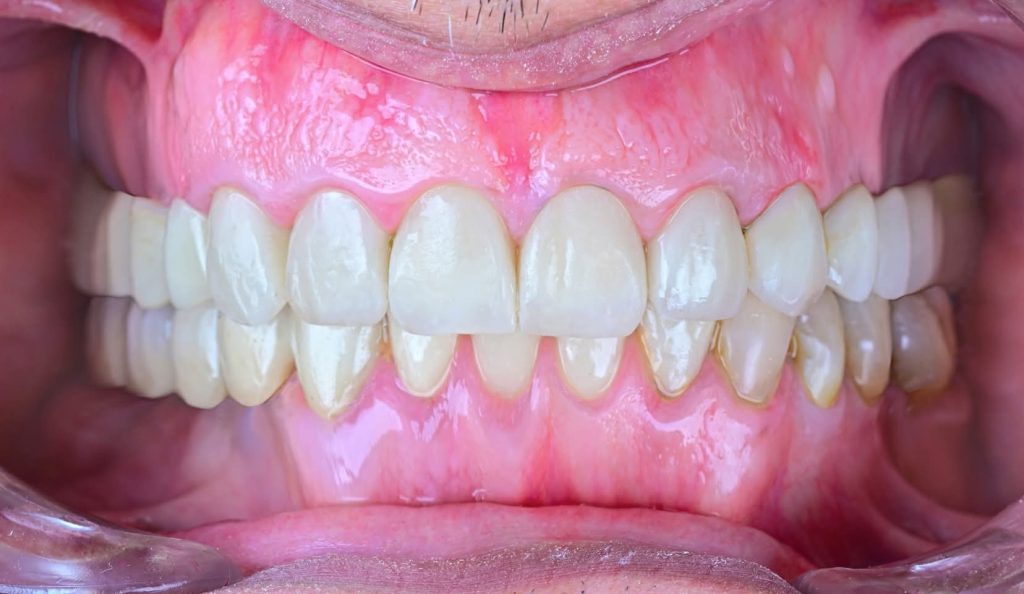
Preparation of teeth and insertion of the fixed prosthesis.
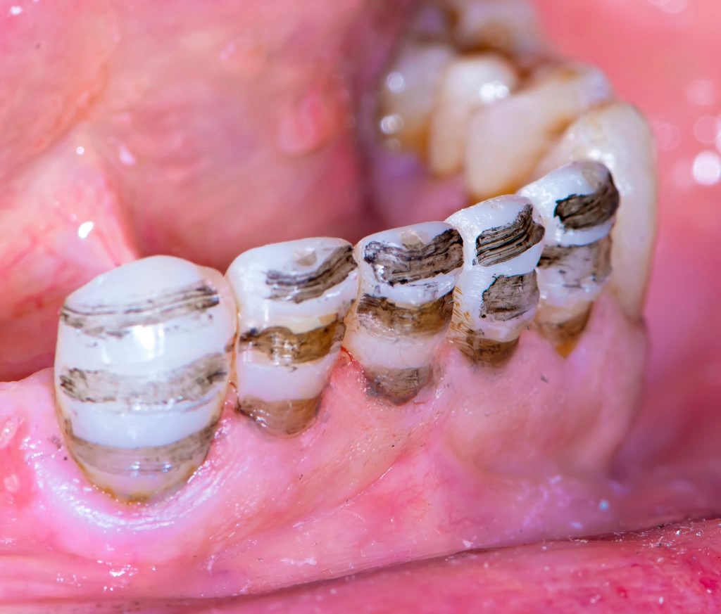
The lower arch was managed similarly to the upper arch.
The patient has now been under follow-up for nearly 4 years and remains very happy and comfortable.
Asst. Professor Dr. Mohammed Ali Fadhil/M.Sc., Ph.D., Restorative & Aesthetic Dentistry/ Baghdad College of Dentistry.
Share on: