As conservative As possible !
Where you can preserve .. preserve , that what i did for patient attend with destructive lower first molar , after endodontic treatment, the lost distal side being restored alone with E-Max Onlay while preserving the intact mesial side ..
Steps ;
1-R.D. isolation & caries removal
2-DME
3-Endodontic treatment
4-Bio-Base (IDS , RC , Ever-x )
5-Cementation with heated composite (AP-X)
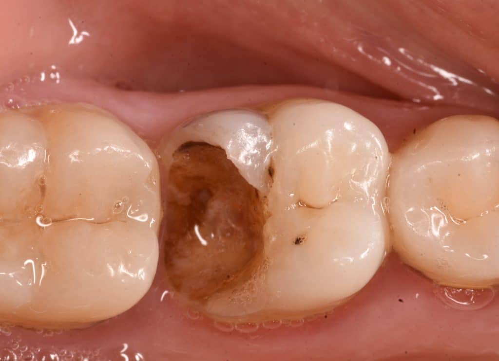
Initial situation
R.D. Isolation & Pre-wedging
Cleaning & Deep margin elevation
Almost Ok , the new margin may needs to be resuced little bit to give space for proper emergence profile of restoration
Endodontic treatment
Bio-Base fabrication
Lab. model with our reward !
E-Max surface treatment
Tricky Teflon tape to remove excess cement after delivery
Cementation
Good fitness !
Final result
Share on: