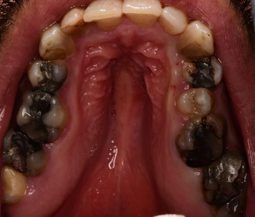
29 years old male patient attend to clinic with multiple amalgam fillings that need to be replaced, during diagnosis you can see the( black upper jaw ) because of alot of amalgam fillings, all of them need replacement with new restorations,
I will start with upper first right premolar,
During amalgam removal and making the new biobase for overlay you csn see that the usaul biobase partial coverage will not save the esthetic problem of the patient especially he need the Esthatic now not only functional teeth (like with amalgam)
So there is a modality in overlay preparation for upper maxillary premolars called veneerlay or (crownlay) preparation that solve the esthetic problem and also gives as abonded (not cemented) restoration that combined the esthetic and function 😉
Details under each photo
Initial situation as you can see the black upper jaw because of amalgam fillings
Initial situation of upper first premolar bad filling,fracture walls and the esthetic is compromised
Buccal view
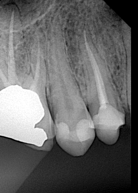
Pre-operative x ray showing the bad situation of the tooth
Step by step cavity cleaning
All amalgam removed
Using CDD for both premolars
Now the both cavities are clean
Second premolar done firstly and then the biobase of the first premolar created and adjusted to the adjacent teeth
You can see the buccal extension of the preparation for more esthetic, this is the veneerlay preparation
Veneerlay preparation, impression taking
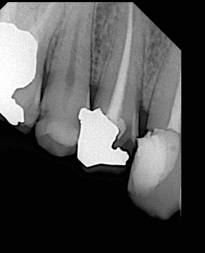
X ray after biobase
Cementation day, isolation, sandblast
Occlusal view
Acid etching for 30 seconds
Application of adhesive layer ( the second bottle of the 6th generation bond ) and without curing
Cementation with heated composite
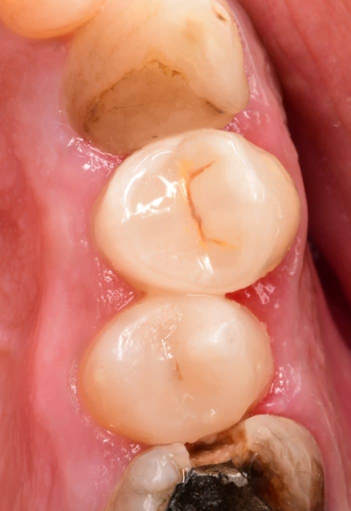
Immediate result
Immediate result buccal view
Occlusal view
2 weeks later
2 weeks later, you can see the beauty of the restoration, the uniform colour 😍 and the healthy gingiva
Firstly during trying the restoration I take x ray and see the overhang so I returned it to the lab to correct the overhang
Now the fitness is good
And this after cementation
Beautiful fitness like one piece
Share on: