PICS:
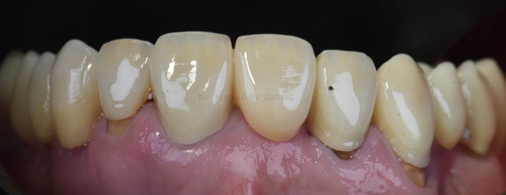
1.- INITIAL SITUATION
2.- REMOVED OLD FIXED BRIDGE
3.- EXTRACTION 1.2, 2.1
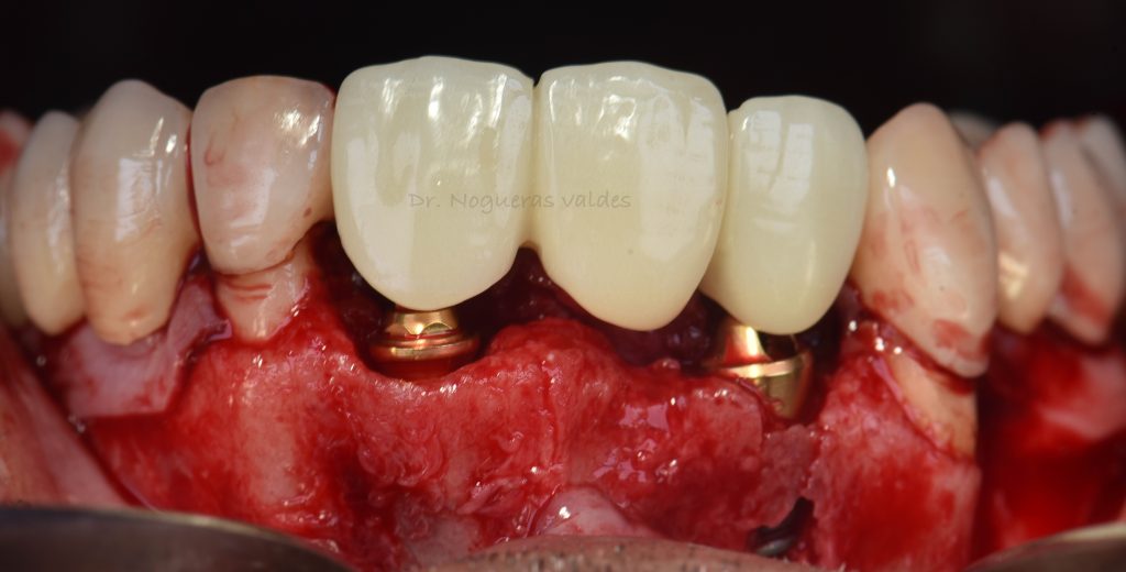
4.- IMPLANT PLACEMENT AND MUAs
5.- CHECK THE FIT OF IMMEDIATE LOADING
6.- TEMPORARY ABUTMENTS
7.- IMMEDIATE LOADING PLACEMENT
8,9,11- GUIDED BONE REGENERATION: AUTOLOGOUS + BIO-OSS BONE GRAFT
10,12.- REABSORBABLE MEMBRANE AND FIX WITH TACKS
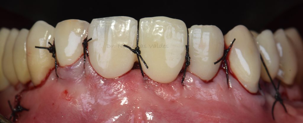
13.- SUTURE
Share on: