We report the case of a female patient, approximately 55 years of age, with multiple gingival recessions and abfraction lesions.
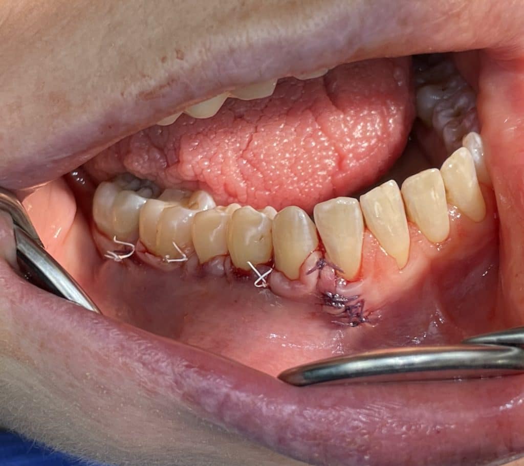
In quadrant 4, we initially proceeded with the reconstruction of the cervical part of the teeth and, where present, the removal of caries. Subsequently, we performed a bilaminar technique for multiple gingival recessions using a trapezoidal-shaped flap and minimal relieving incisions. We harvested a connective tissue graft from the palate, which was sutured to the periosteum and then covered with the coronally advanced flap, following the bilaminar technique. The sutures were removed after 10 days.
In quadrant 1, we initially removed caries and prepared tooth 14 for subsequent provisional cementation. We then performed a mucogingival surgery procedure, still utilizing the bilaminar technique with an envelope flap. The graft was harvested from the tuberosity area. The connective tissue was sutured to the periosteum, which had been left in place as the recipient bed. The primary flap was advanced coronally, covering the graft, and sutured with sling sutures in the most coronal position. In this case as well, the sutures were removed after 10 days.
We waited for approximately 6 months for soft tissue maturation before applying the definitive crown on tooth 14.
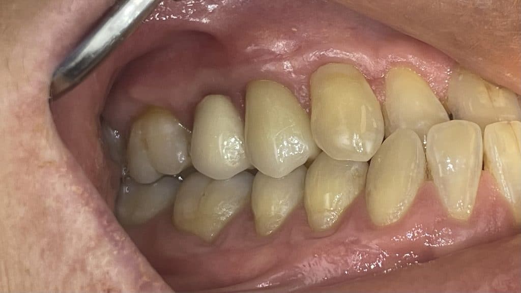
The case presented here demonstrates the success and stability of the bilaminar technique, whether with an envelope flap or a trapezoidal flap, in the treatment of multiple gingival recessions. This case underwent a three-year follow-up and remained stable.”
Bibliography:
Int J Periodontics Restorative Dent, 2008 vol. 28(1) pp. 63-71 Bilaminar technique in the treatment of a deep cervical abrasion defect Mele M; Zucchelli G; Montevecchi M; Checchi L
J Periodontol, 2011 vol. 82(12) pp. 1713-24 Non-carious cervical lesions associated with gingival recessions: a decision-making process Zucchelli G; Gori G; Mele M; Stefanini M; Mazzotti C; Marzadori M; Montebugnoli, L; De Sanctis M
J Clin Periodontol, 2014 vol. 41 Suppl 15 S92-7 Surgical techniques on periodontal plastic surgery and soft tissue regeneration: consensus report of Group 3 of the 10th European Workshop on Periodontology Sanz M; Simion M; Working Group 3 of the European Workshop on Periodontology
multiple gingival recessions and abfraction lesions in the first and forth quadrants
pre operative photo 4° quadrant
paramarginal incision
full and split thickness flap
connective tissue graft
connective tissue graft sutured
the suture of the covering flap in the multiple bilaminar technique
pre operative photo 1° quadrant
temporary crown of 1.4
paramarginal incision
checking the passivity of the covering flap
full and split thickness flap
connective tissue graft sutured
the suture of the covering flap in the multiple bilaminar technique
2 years follow up photo
comparison pre and post operative photos
Share on: