Hello Everyone.
Single discolored tooth presents a unique challenge for color change and the clinician must be aware of the basic principles of changing the color of one or more teeth in order to implement a successful treatment plan.
Treatment options for discolored teeth may include:
1. Single crown.
2. Indirect veneer.
3. Direct veneer.
4. Bleaching which is the most conservative option to be considered, but the potential for a successful outcome varies based on the cause and extent of the discoloration.
Direct composite resin veneer is the direct application of a thin layers of composite over the entire labial aspect of a tooth in order to modify the contour and/or shade. With experience and using a stratified technique composite veneer can be highly aesthetic and more conservative that full coverage crown.
There are two principal ways in which direct composite (i.e., whether used as a veneer over the entire labial surface or used selectively in isolated areas of the labial surface) can be used in managing the single discolored tooth:
1.Masking the discoloration: This is where one or several shades of composite resin are used to camouflage the underlying darkened tooth shade. For severe discolorations, a resin-based opaque layer placed over the discolored areas of tooth may be required. This is then covered with dentine and enamel shades to match the adjacent teeth.
Various stains and special effect composite shades giving fluorescence, translucency and opalescence to resin restorations provide opportunities to harmonize discolored teeth with adjacent ones.
2. Simulation and shade matching: This is where one or several shades of composite resin are used to mimic the discoloration of a tooth in an adjacent tooth in order to improve overall aesthetics and symmetry.
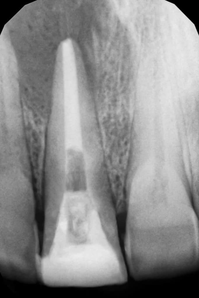
This is a case of discolored right central incisor for a 21 years-old-male patient. He had a history of previous trauma 2 years ago to his tooth and fracture, that was managed with a composite restoration. After clinical examination and x-ray imaging, the tooth was non-vital with periapical lesion.
After discussing the treatment options with the patient, he chose the direct composite veneer. The treatment included endodontic treatment, internal bleaching, direct composite veneer for the right central, and aesthetic reshaping for the laterals and left incisor also by composite restoration. The case completed in 2 sessions.
Best regards.
Dr. Mohammed Ali Fadhil
M.Sc., Ph.D., Restorative and Aesthetic Dentistry/
Baghdad college of dentistry
Share on: