Microscope-Assisted Endodontic and Biomimetic Cuspal Coverage Restoration of a Severely Carious Molar
Abstract (≈480 characters)
This case highlights the complete rehabilitation of a grossly carious mandibular molar with pulpal involvement. A microscope-assisted endodontic protocol was performed to ensure precise canal disinfection and obturation, followed by a biomimetic direct onlay restoration. The adhesive workflow re-established structural integrity, function, and esthetics while preserving maximum sound tooth tissue under strict isolation.
Author CV
Dr Hamza Zahid, BDS
Microscopic Restorative & Cosmetic Dentist
CEO – Dr Hamza Dental Center, Lahore (Pakistan)
Focus Areas – Micro Endodontics | Biomimetic Restorations | Adhesive Dentistry | Functional Rehabilitation
Clinical Workflow
1. Initial Presentation
The patient presented with a deep occlusal-proximal carious lesion and discoloration (Fig 1). The tooth was sensitive to cold and percussion, confirming irreversible pulpitis on vitality testing. Radiographic assessment revealed pulpal involvement but sufficient ferrule for adhesive restoration.
2. Isolation & Access Cavity Preparation
Rubber-dam isolation achieved. Access prepared under dental microscope to locate all canals, preserving pericervical dentin. Pulpal tissues extirpated, and working length determined with electronic apex locator and radiographic verification.
3. Cleaning and Shaping
Mechanical preparation was done using Denco Pro Flexi NiTi files with a crown-down technique. Irrigation protocol included 5.25 % NaOCl, 17 % EDTA, and ultrasonic activation. Final rinse with distilled water and alcohol for complete canal cleanliness.
4. Obturation
Bioceramic sealer (Endo Sequence BC Sealer) with single-cone obturation technique was used to achieve a three-dimensional seal (Fig 2). Warm vertical compaction was performed for coronal adaptation.
5. Coronal Seal & Restorative Phase
Immediately post-obturation, dentin sealing performed using a 4th-generation adhesive (Kuraray Clearfil SE Bond 2) and heated composite resin (Tokuyama Estelite Sigma Quick) for superior adaptation.
Deep marginal elevation was completed using flowable composite followed by cuspal coverage through incremental build-up. Occlusal anatomy sculpted using fine modeling brushes and light-cured in layers (Fig 3).
6. Finishing and Polishing
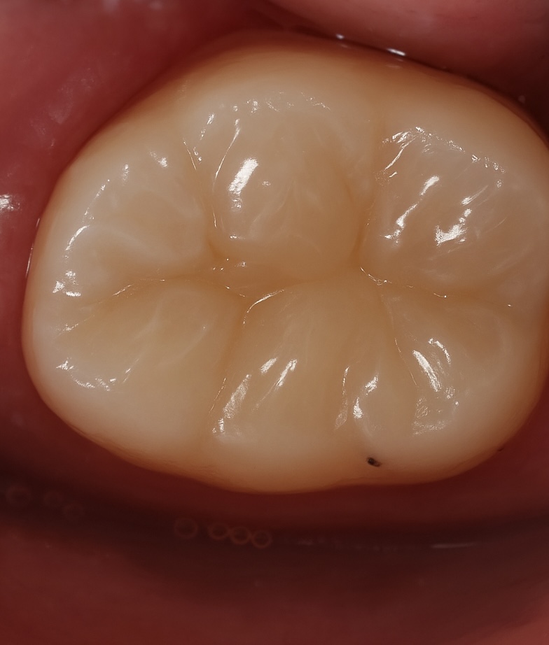
Finishing performed with Sof-Lex XT discs, Dentsply Enhance points, and PoGo spiral polishers to replicate natural enamel gloss and texture (Fig 4).
7. Post-Operative Evaluation
Radiographic and clinical evaluation confirmed complete periapical seal, proper obturation taper, and occlusal harmony (Fig 5). The final restoration integrated seamlessly, restoring function and esthetics (Fig 6).
Outcome
A biomimetic, functionally efficient, and esthetically lifelike result was achieved. The combination of microscope-guided endodontic precision and adhesive restorative dentistry ensured long-term tooth preservation and strength with minimal invasiveness.
Bibliographic References
- Clark D, Khademi J. Modern Restorative Adhesion and Functional Biomimetics. Dent Clin North Am 2010; 54(2): 249–273.
- Magne P, Belser UC. Bonded Porcelain Restorations in the Anterior Dentition: A Biomimetic Approach. Quintessence Publ., 2002.
- Siqueira JF et al. Microbiology and Treatment of Endodontic Infections. Dent Clin North Am 2010; 54(2): 255–279.
- van Meerbeek B et al. Adhesion to Enamel and Dentin: Current Status and Future Challenges. Oper Dent 2020; 45(1): 2–14.
Share on: