Comprehensive Smile Makeover with E-max Veneers: A Conservative and Esthetic Approach to Functional Harmony
Abstract (≈480 characters)
This case presents a full smile rehabilitation using lithium-disilicate (E-max) veneers to correct discoloration, minor malalignment, and asymmetry. A minimally invasive, additive approach was employed to preserve enamel and enhance smile esthetics. Guided by digital mock-ups and precise adhesive protocols, the treatment achieved natural translucency, balance, and long-term stability under a microscope-assisted workflow.
Author CV
Dr Hamza Zahid, BDS
Microscopic Restorative & Cosmetic Dentist
CEO – Dr Hamza Dental Center, Lahore (Pakistan)
Focus Areas – Smile Makeovers | E-max Veneers | Biomimetic Adhesion | Digital Smile Design
Clinical Workflow
1️⃣ Initial Assessment & Digital Planning
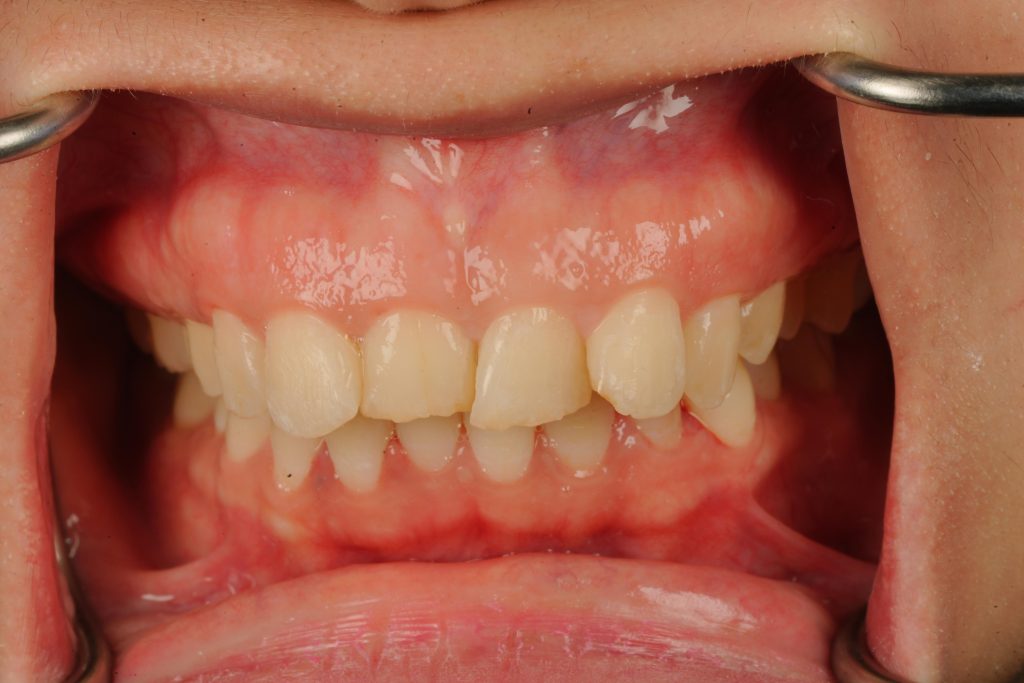
The patient presented with generalized discoloration, uneven incisal edges, and midline asymmetry (Fig 1). A Digital Smile Design (DSD) was created to analyze facial proportions and establish ideal tooth length-to-width ratios. Mock-ups were printed and tried intra-orally for patient approval before any tooth modification.
2️⃣ Tooth Preparation
Under microscope magnification, minimally invasive veneer preparations (0.3 – 0.5 mm facial, 0.7 mm incisal overlap) were performed to maintain enamel. Retraction cords and Teflon isolation provided clear finish lines (Fig 2). The preparations were refined using fine-grit diamond burs and polished to a smooth surface.
3️⃣ Shade Selection and Impression
A neutral lighting setup and shade tabs were used to record dentin and enamel values. Impressions were taken with A-silicone (3M Express) under controlled moisture isolation. Temporization was done with bis-acryl composite based on the mock-up design.
4️⃣ Laboratory Phase
Lithium disilicate veneers (IPS E-max Press, Ivoclar Vivadent) were fabricated following the wax-up contours. Characterization and glazing were adjusted to match natural incisal translucency and cervical warmth (Fig 3).
5️⃣ Adhesive Bonding Protocol
Each veneer was etched with 9 % HF acid (20 s), silanated, and air-dried. Tooth surfaces were etched with 37 % phosphoric acid (15 s), followed by 4th-generation bonding (Clearfil SE Bond 2). Veneers were seated using light-cure resin cement (Variolink Esthetic), excess removed with a micro-brush, and light-cured for 40 s per surface (Fig 4).
6️⃣ Finishing and Polishing
Margins were refined with diamond strips and rubber polishers (Shofu OneGloss + PoGo) to achieve enamel-like luster. Final occlusal adjustments ensured simultaneous canine guidance and posterior disclusion (Fig 5).
7️⃣ Final Outcome
The result delivered a balanced, natural smile with enhanced harmony, translucency, and ideal gingival zenith alignment (Fig 6). The patient’s confidence and facial esthetics were significantly improved while maintaining tooth vitality and enamel integrity.
Outcome
A fully adhesive, additive smile makeover was achieved using E-max veneers, demonstrating the integration of digital planning, microscopic precision, and biomimetic bonding. The workflow minimized invasiveness while maximizing esthetic and functional outcomes.
Bibliographic References
- Magne P, Belser UC. Bonded Porcelain Restorations in the Anterior Dentition: A Biomimetic Approach. Quintessence Publishing; 2002.
- Coachman C, Calamita MA. Digital Smile Design: A Tool for Esthetic Diagnosis and Treatment Planning. Quintessence Dent Technol 2012; 35: 103–111.
- Peumans M et al. Clinical Performance of Porcelain Veneers for Up to 20 Years. J Dent Res 2004; 83(5): 321–325.
- Van Meerbeek B et al. Adhesion to Enamel and Dentin: Current Status and Future Challenges. Oper Dent 2020; 45(1): 2–14.
Share on: