Microscope Endodontics and Biomimetic Restoration of Maxillary Posterior Teeth: CBCT-Guided Palatal Split Negotiation, Deep Marginal Elevation, and Bioceramic Sealing
Abstract (≈480 characters)
This case integrates modern microscope endodontics with biomimetic restorative protocols in the management of a maxillary posterior segment. A CBCT scan revealed a palatal split in the upper first molar, negotiated under magnification. Root canal therapy was completed using bioceramic sealer obturation, followed by Deep Marginal Elevation through a Matrix-within-Matrix approach and cuspal coverage composite onlay restoration. Functional, esthetic, and adhesive success were achieved under strict isolation.
Author
Dr Hamza Zahid, BDS
Microscopic Restorative & Cosmetic Dentist
CEO – Dr Hamza Dental Center, Lahore (Pakistan)
Focus: Micro-Endodontics | Biomimetic Dentistry | Advanced Adhesive Protocols | Esthetic Rehabilitation
Case Presentation
Diagnostic Phase
The patient presented with pain and recurrent caries involving the maxillary first premolar and first molar.
CBCT analysis demonstrated:
- A palatal canal bifurcation in the first molar (palatal split configuration).
- Subgingival proximal caries extending toward the cervical margin.
The treatment plan included:
- Endodontic therapy of the premolar and molar under microscope guidance.
- Restoration through Deep Marginal Elevation and biomimetic onlay reinforcement.
Clinical Workflow
1. Rubber-Dam Isolation and Access Refinement
A heavy-gauge rubber dam was applied for complete isolation. Access cavities were refined under the DOM, maintaining pericervical dentin integrity. (Fig 1–2)
2. Canal Negotiation and Preparation
- Using pre-operative CBCT, the palatal root of the first molar was mapped for the suspected split.
- Under magnification, the canal division was identified and negotiated using C+ files and K-files #6–10 with EDTA gel.
- Working length was confirmed with an apex locator and radiographs.
- Rotary NiTi system was used for shaping; irrigants included 5.25 % NaOCl and 17 % EDTA, both sonically activated for effective disinfection. (Fig 3–4)
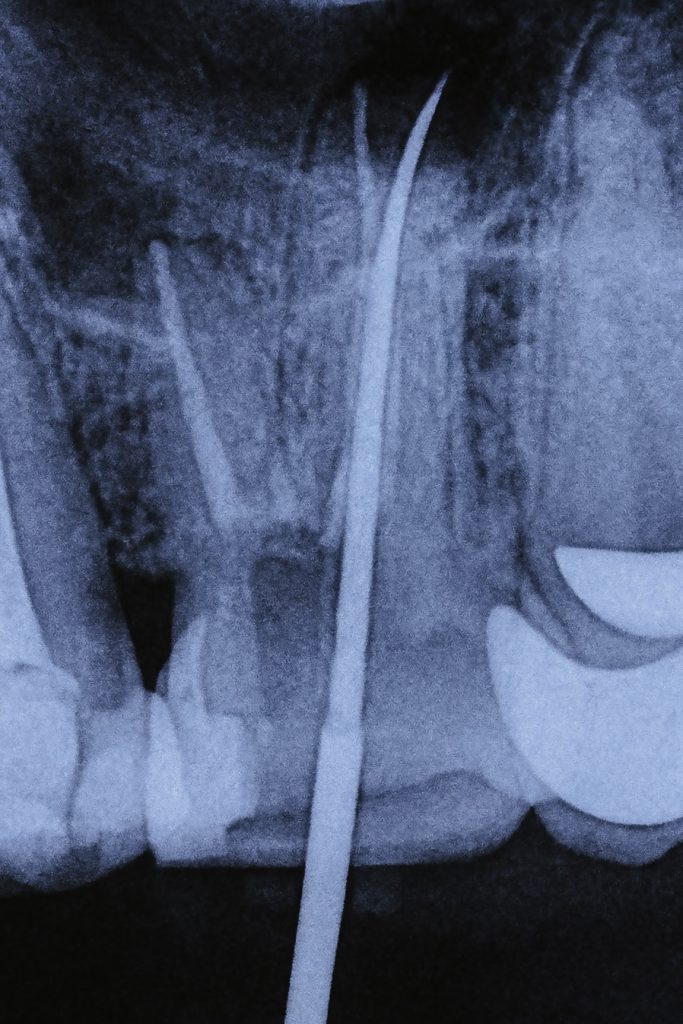
3. Three-Dimensional Obturation
Obturation was performed using bioceramic sealer with warm vertical compaction, ensuring a dense, continuous fill into the palatal split and accessory canals. Post-operative radiograph confirmed ideal obturation and apical control. (Fig 7)
4. Deep Marginal Elevation (DME) – Matrix-Within-Matrix Technique
Subgingival margins on the distal of the premolar and molar were elevated to supragingival levels.
- Sectional matrix placed and stabilized with separation ring.
- A secondary Mylar matrix was inserted internally to achieve intimate cervical adaptation.
- Selective enamel etch performed; universal adhesive applied and light-cured.
- Flowable composite layered incrementally to relocate the margin above the gingival level. (Fig 4–5)
5. Biomimetic Cuspal Coverage Composite Onlay
- Dentin Replacement: GC EverX Posterior (fiber-reinforced bulk composite) used as internal core.
- Enamel Replacement: Tokuyama Estelite Sigma Quick nano-hybrid composite layered cusp-by-cusp.
- Glycerin barrier used to prevent oxygen inhibition; each increment light-cured for 40 s.
- Occlusal morphology sculpted under microscope vision, recreating natural slopes and cuspal inclines. (Fig 6–9)
6. Finishing and Polishing
Contours refined with fine diamond burs and finishing discs. Secondary anatomy recreated; final gloss obtained using silicone polishers and diamond paste. Marginal adaptation verified under magnification. (Fig 10)
Outcome and Follow-Up
- Radiographically: Perfect obturation of the palatal split with bioceramic sealer and uniform adaptation.
- Clinically: Smooth DME transition and lifelike occlusal morphology.
- Functionally: Patient asymptomatic, restored esthetics and occlusal harmony at one-month review. (Fig 7–10)
Discussion
This case illustrates how diagnostic CBCT interpretation combined with microscope-assisted negotiation enables predictable management of complex canal anatomy such as a palatal split.
Coronal integrity was reinforced via Deep Marginal Elevation and a biomimetic restorative protocol, preserving maximum sound structure.
The bioceramic sealer provided an apical and coronal seal complementing the adhesive restoration — ensuring long-term biomechanical success.
Bibliographic References
- Patel S et al. Cone Beam Computed Tomography in Endodontics. Br Dent J 2019; 226: 555–566.
- Clark D, Khademi J. Modern Molar Endodontic Access and Directed Dentin Conservation. Dent Clin North Am 2010; 54(2): 249–273.
- Frankenberger R et al. Margin Elevation versus Deep Margin Placement of Direct Composites. J Adhes Dent 2013; 15(4): 381–389.
- Magne P, Belser UC. Bonded Porcelain Restorations in the Anterior Dentition: A Biomimetic Approach. Quintessence, 2002.
- Bazos P, Magne P. Bio-emulation: Biomimetically Driven Restorative Dentistry. J Esthet Restor Dent 2011; 23(2): 81–94.
- Zandbiglari T et al. Effect of Instrumentation Length on Root Fracture Resistance. J Endod 2006; 32(1): 12–16.
- van Meerbeek B et al. Adhesion to Enamel and Dentin: Current Status and Future Challenges. Oper Dent 2020; 45(1): 2–14.
- Nekoofar MH et al. Bioactivity of Bioceramic-Based Sealants Used in Endodontics. Int Endod J 2018; 51 (S1): S29–S44.
Conclusion
Integrating CBCT diagnostics, microscopic precision, and adhesive biomimetic restorations converts complex posterior endodontic challenges into predictable outcomes. The combined protocol of CBCT-guided negotiation, DME, and biomimetic composite onlay ensures conservation, adhesion, and longevity within a single-visit restorative continuum.
Share on: