Biomimetic Class II Composite Restoration with Deep Marginal Elevation under Microscope Isolation
Abstract (≈480 characters)
This case demonstrates a microscope-assisted biomimetic management of a deep proximal lesion with subgingival extension on a mandibular molar. A Matrix-within-Matrix Deep Marginal Elevation (DME) approach was performed under strict rubber-dam isolation to re-establish supragingival margins, preserve sound enamel, and ensure an ideal adhesive seal. Fiber-reinforced and nano-hybrid composite layering restored function and natural morphology.
Author
Dr Hamza Zahid, BDS
Microscopic Restorative & Cosmetic Dentist
CEO – Dr Hamza Dental Center, Lahore (Pakistan)
Expertise: Micro-Endodontics | Biomimetic Adhesive Dentistry | Aesthetic Restoration | Microscope Dentistry
Case Presentation
Initial Evaluation
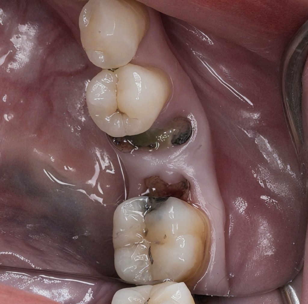
The patient presented with secondary caries beneath a failing distal composite and subgingival margin on the mandibular first molar. Adjacent premolar also exhibited proximal decay compromising contact and gingival contour (Fig 1–2). The objective was to perform a biologically respectful restoration preserving enamel and periodontal health.
Clinical Workflow
1. Isolation and Assessment
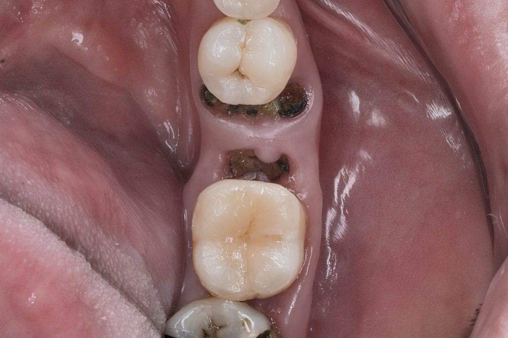
Rubber-dam isolation achieved using heavy-gauge dam and pre-curved clamps ensuring optimal gingival retraction. Under magnification, all caries and unsupported enamel were removed while maintaining pericervical dentin (Fig 3).
2. Matrix-within-Matrix Deep Marginal Elevation
•Primary Matrix: Pre-contoured sectional matrix stabilized with ring separator and wedges for cervical seal.
•Secondary Mylar Insert: Adapted internally (“matrix-within-matrix”) to control deep proximal contour and confine flowable resin.
•Procedure: Selective enamel etching (37 % phosphoric acid), universal adhesive application, and incremental flowable composite buildup to raise the margin supragingivally (Fig 4–5).
This created a controlled adhesive base enabling ideal field isolation for definitive restoration.
3. Biomimetic Core and Occlusal Reconstruction
•Base: GC EverX Posterior (fiber-reinforced composite) for dentin replacement.
•Occlusal Layer: Tokuyama Estelite Sigma Quick applied cusp-by-cusp to reproduce natural morphology.
•Light polymerization through glycerin gel barrier prevented oxygen-inhibition and optimized surface seal (Fig 6).
4. Finishing & Polishing
Sequential finishing with fine-grit diamond burs followed by Dentsply Enhance and PoGo polishing system under magnification yielded high-lustre enamel-like gloss and perfect marginal integration (Fig 7).
5. Post-Operative Evaluation
Final restoration displayed harmonious anatomy, sealed margins, and ideal contact relation with adjacent tooth (Fig 8). Patient reported comfort and improved masticatory function.
Discussion
Deep subgingival lesions challenge adhesion and isolation. The Matrix-within-Matrix DME technique repositions the margin supragingivally without violating biological width, thus ensuring predictable bonding and easy maintenance. Combined use of fiber-reinforced dentin substitute and nano-hybrid enamel composite reproduces the biomechanical behavior of the natural tooth, enhancing longevity and stress distribution.
Conclusion
Microscope-guided biomimetic protocols allow clinicians to restore complex Class II lesions predictably. The combination of DME, adhesive control, and layered composite stratification delivers a restoration that is functional, aesthetic, and biologically respectful.
Image Captions
Fig 1–2: Pre-operative clinical view showing extensive proximal caries and subgingival extension.
Fig 3: Rubber-dam isolation and caries removal under magnification.
Fig 4–5: Sectional ring and Matrix-within-Matrix setup for deep marginal elevation.
Fig 6: Fiber-reinforced dentin build-up and enamel layering.
Fig 7: Immediate post-cure finishing and polishing.
Fig 8: Final restoration—functional contour and gloss integration.
⸻
Bibliographic References
1.Dietschi D, Spreafico R. Current Concepts for Restorative Adhesive Techniques. Quintessence Int 1995; 26(8): 525-539.
2.Frankenberger R et al. Margin Elevation versus Deep Margin Placement of Direct Composites. J Adhes Dent 2013; 15(4): 381-389.
3.Magne P, Belser UC. Bonded Porcelain Restorations in the Anterior Dentition – A Biomimetic Approach. Quintessence 2002.
4.Bazos P, Magne P. Bio-emulation: Biomimetically Driven Restorative Dentistry. J Esthet Restor Dent 2011; 23(2): 81-94.
5.Loomans BA et al. The Effect of Deep Marginal Elevation on Fracture Strength of Direct and Indirect Restorations. J Adhes Dent 2017; 19(1): 27-33.
6.van Meerbeek B et al. Adhesion to Enamel and Dentin: Current Status and Future Challenges. Oper Dent 2020; 45(1): 2-14.
Share on: