Introduction
Long-term success in endodontically treated teeth is dictated not only by biological disinfection and three-dimensional obturation but also by the quality of the coronal restoration. Deep subgingival margins often complicate adhesive procedures, compromising both isolation and long-term seal. In such cases, Deep Marginal Elevation (DME) becomes a vital biomimetic strategy. This article presents a case of posterior endodontic treatment followed by adhesive restorative management using a matrix-within-matrix technique for DME and cuspal coverage with a composite onlay.
Case Presentation
A patient reported with pain and structural compromise of a maxillary posterior tooth. The clinical and radiographic examination confirmed irreversible pulpitis with significant carious destruction extending subgingivally. The treatment plan involved root canal therapy under microscope guidance, followed by biomimetic reinforcement through DME and a cuspal coverage composite onlay.
Clinical Workflow
1. Isolation and Access
Rubber dam isolation was established to maintain asepsis. Under DOM, caries excavation and refinement of the access cavity were performed, preserving pericervical dentin.
2. Endodontic Therapy
- Negotiation & Glide Path: Hand files ensured patency.
- Instrumentation: Rotary NiTi system under magnification minimized unnecessary dentin removal.
- Irrigation: Sodium hypochlorite and EDTA, activated sonically, maximized disinfection.
- Obturation: Warm vertical compaction with bioceramic sealer provided dense, hermetic canal filling.
- Immediate Post-Op Seal: Resin-modified glass ionomer was placed temporarily to protect the chamber floor until restorative steps.
3. Deep Marginal Elevation (DME)
Subgingival margins on the proximal surface were managed using DME:
- Matrix Placement: A sectional matrix was positioned, stabilized by a separating ring, followed by a secondary “matrix within matrix” adaptation for precise control of the deep cervical margin.
- Adhesive Protocol: Selective enamel etch, followed by universal adhesive application under magnification.
- Incremental Elevation: Flowable composite was layered to elevate the margin to a supragingival, cleansable, and sealable level. This allowed ideal conditions for subsequent adhesive procedures.
4. Biomimetic Cuspal Coverage Onlay
After DME, the tooth was restored biomimetically with a direct composite onlay:
- Base Layer: A stress-absorbing bulk-fill or fiber-reinforced composite (e.g., GC EverX) was placed to mimic dentin.
- Incremental Build-up: Nano-hybrid composite was layered cusp-by-cusp, recreating natural morphology.
- Anatomic Shaping: Internal slopes and cusp inclines were sculpted using brush adaptation under the microscope.
- Light Curing: Each increment was adequately cured with high-intensity LED and glycerin barrier for oxygen inhibition.
- Finishing & Polishing: Final contouring was achieved with fine diamonds, followed by polishing discs and silicone polishers, ensuring enamel-like gloss.
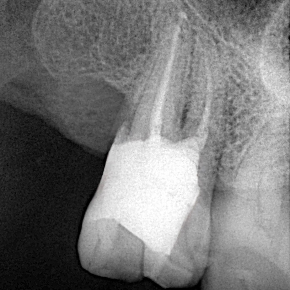
5. Final Outcome
- Radiographic Assessment: Post-obturation radiograph revealed ideal canal filling.
- Clinical Outcome: The restoration achieved structural reinforcement, margin relocation, and lifelike esthetics. The cuspal coverage composite onlay distributed occlusal forces, reducing risk of catastrophic fracture.
- Patient Feedback: Functional comfort and esthetic satisfaction were achieved immediately post-op.
Discussion
This case underscores the synergy of endodontics and biomimetic restorative dentistry:
- Microscope guidance ensures conservative and precise endodontic and restorative procedures.
- Deep Marginal Elevation relocates margins to supragingival positions, improving isolation and bond durability.
- The Matrix-within-Matrix technique allows for precision in subgingival adaptation, ensuring a tight seal and reduced risk of overhangs.
- Biomimetic onlay coverage with fiber-reinforced and nano-hybrid composites restores biomechanical function, preserving the tooth’s natural stress distribution.
Such integrative protocols not only enhance survival of endodontically treated teeth but also preserve structural integrity and esthetics.
Conclusion
The success of endodontically treated teeth depends on a biological seal apically and a biomimetic seal coronally. Deep Marginal Elevation, when executed with precision using a matrix-within-matrix technique, converts a challenging subgingival scenario into a predictable adhesive field. Combined with a cuspal coverage composite onlay, this approach provides long-lasting function, fracture resistance, and seamless esthetics.
Share on: