-Initiation
-Coronal pulp removal
-Bleeding control
-MTA application
-Distal wall elevation
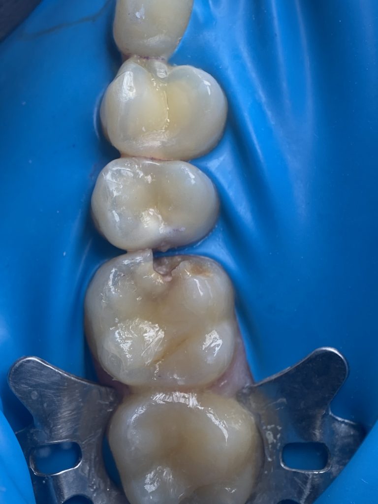
*Completion of the palatal cusp
-Finishing
*The cusp was completed with bulk-fill flowable composite to correctly position the matrix band and prevent the ring from deforming the band and disrupting the emergence profile.
Share on: