Microscope-Guided Endodontic Management of Mature Traumatized Maxillary Centrals Using Warm Vertical Compaction
Dr Hamza Zahid
Microscope-Guided Restorative & Endodontic Dentist
Dr Hamza Dental Center — Lahore, Pakistan
ABSTRACT
A patient presented with discoloration and loss of vitality of both maxillary central incisors following previous trauma. Pulp necrosis with periapical rarefaction was diagnosed. Endodontic therapy was performed under rubber-dam isolation and high-magnification control. The canals were shaped conservatively and obturated using the warm vertical compaction technique, ensuring dense 3-D filling and preservation of pericervical dentin.
CASE DETAILS
Tooth: 11 and 21
Diagnosis: Pulp necrosis secondary to trauma
Treatment Objective: Maintain maximum dentin integrity and establish a hermetic apical seal before final esthetic rehabilitation
PROCEDURE
1 — Isolation and Access
Rubber-dam isolation (blue dam) was secured using W2A clamps for moisture control and soft-tissue protection (Fig 1-2).
Conservative access cavities were prepared under dental microscope to preserve marginal ridges and optimize canal entry (Fig 5-7).
2 — Canal Exploration & Working Length
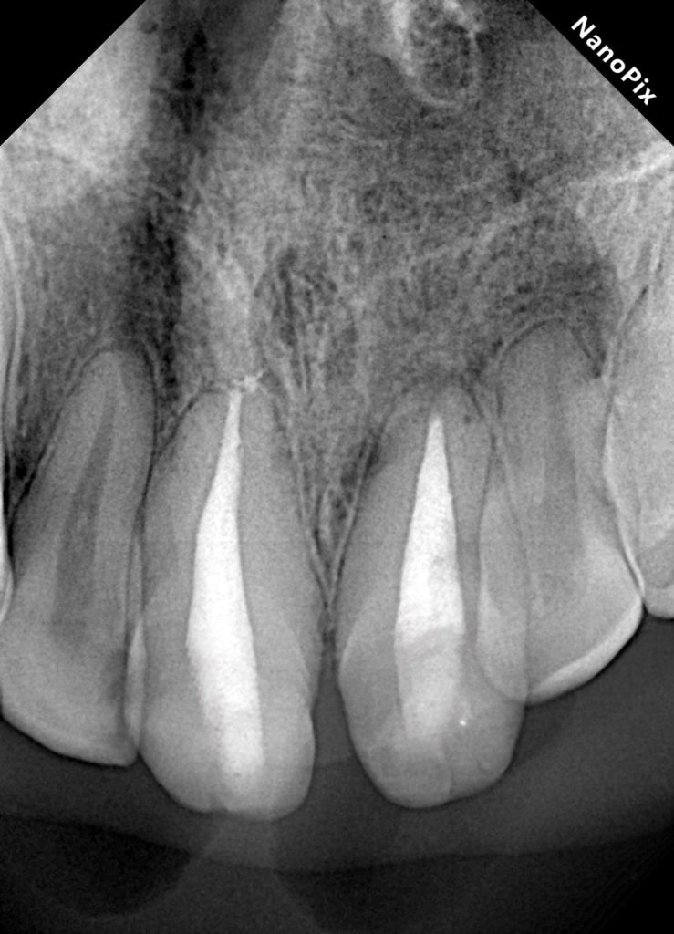
Negotiation was done with #10 and #15 K-files under magnification to the apical constriction.
Working length was confirmed using an apex locator and verified radiographically (Fig 8).
3 — Shaping Protocol
Instrumentation was completed using rotary NiTi files (Denco Pro Flexi system) with irrigation of 5 % NaOCl and 17 % EDTA.
Gentle brushing motions maintained canal curvature and pericervical dentin.
4 — Obturation
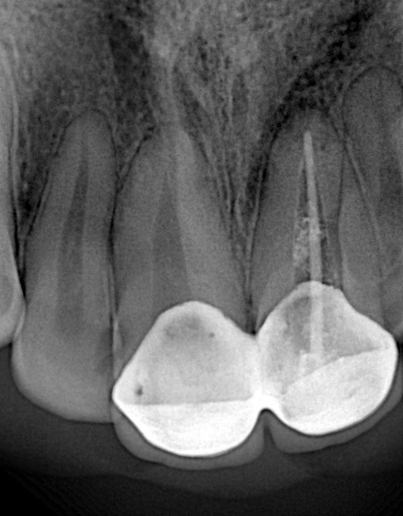
After thorough drying, obturation was carried out via the warm vertical compaction technique with gutta-percha and bioceramic sealer (Fig 9-10).
This ensured a homogeneous fill, adapting to canal irregularities and apical delta.
5 — Post-Endodontic Seal
Coronal sealing was performed immediately with flowable composite to prevent reinfection. Future esthetic rehabilitation (ceramic veneers or direct composite build-ups) was planned following periapical healing.
POST-OPERATIVE RADIOGRAPHIC EVALUATION
Post-operative radiographs showed a dense, continuous obturation with ideal apical termination and restoration of periapical bone architecture at 6-month follow-up (Fig 11-12).
DISCUSSION
Trauma-induced pulp necrosis in mature teeth requires meticulous endodontic control. The combination of rubber-dam isolation, microscope magnification, and warm vertical compaction enhances accuracy, improves sealer adaptation, and minimizes voids.
Maintaining coronal and pericervical dentin allows better stress distribution for subsequent esthetic restorations.
CONCLUSION
Precision endodontics under magnification with controlled heat-assisted obturation offers predictable outcomes in trauma-related mature teeth. Functional and structural recovery were achieved while preserving natural dentin anatomy.
REFERENCES
- Buchanan LS. The continuous wave of condensation technique. Dent Today 2006; 25(1): 80-85.
- Magne P, Belser U. Bonded porcelain restorations in the anterior dentition: a biomimetic approach. Quintessence 2002.
- Kim S et al. Microscope-assisted endodontics: enhancing precision and prognosis. J Endod 2018; 44(3): 474-482.
Share on: