Microscope-Guided Endodontic Management with Class V DME and Biomimetic Cuspal Coverage
Dr Hamza Zahid
Cosmetic & Biomimetic Restorative Dentist
Dr Hamza Dental Center — Lahore, Pakistan
⸻
ABSTRACT
This case demonstrates the integration of endodontic precision with biomimetic restorative techniques in a severely compromised lower molar. A deep cervical margin was elevated using GC EverX Posterior, restoring the biological width and enabling adhesive cuspal coverage post-endodontically. The workflow highlights how minimally invasive access, microscope-assisted canal shaping, and fiber-reinforced layering restore function and structural integrity predictably.
⸻
CASE DETAILS
Tooth: Lower first molar
Diagnosis: Irreversible pulpitis with deep Class V carious extension
Objective: Maintain maximum tooth structure through conservative Endo and adhesive biomimetic restoration
⸻
PROCEDURE
1 Pre-operative Assessment
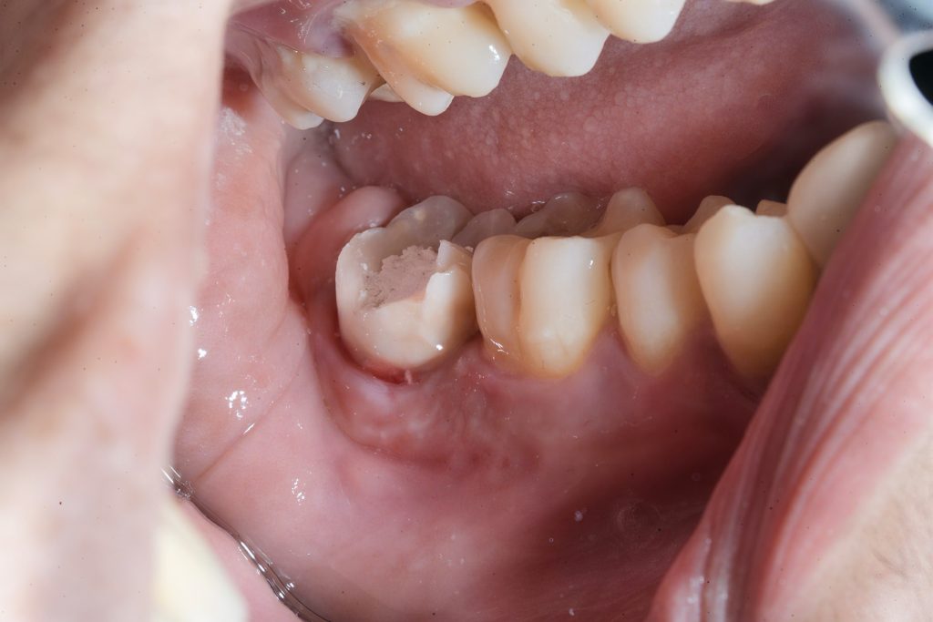
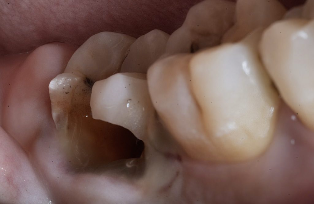
Clinical and radiographic evaluation showed a large Class V lesion extending below the CEJ with pulpal involvement and secondary dentin sclerosis (Fig 1 & 2).
Treatment was planned for endodontic therapy followed by immediate adhesive reinforcement.
⸻
2 Isolation and Access
Full rubber-dam isolation was achieved using a pink dam for enhanced visibility (Fig 3). Conservative access under the dental microscope preserved pericervical dentin.
⸻
3 Canal Shaping and Obturation
Working length was confirmed with an apex locator and verified radiographically (Fig 5).
Instrumentation was performed with Denco Pro Flexi files in a crown-down sequence, using 5 % NaOCl and 17 % EDTA irrigation.
Obturation was completed with bioceramic sealer and GP cones, ensuring dense 3D filling and apical seal (Fig 6).
⸻
4 Deep Margin Elevation (DME)
The deep cervical margin was elevated using a layer of GC EverX Posterior, reinforced with a thin bonded layer of flowable composite.
This fiber-reinforced base acts as a stress-absorbing dentin replacement and facilitates better cervical seal (Fig 7).
⸻
5 Adhesive Reconstruction and Cuspal Coverage
Selective enamel etching with 37 % phosphoric acid was followed by application of 8th-gen adhesive (BISCO).
Incremental anatomic layering was done with Tokuyama Estelite Sigma Quick, building primary and secondary anatomy under scope.
Cuspal coverage was performed biomimetically, ensuring ideal occlusal contact and stress distribution (Fig 8 & 9).
⸻
6 Finishing and Polishing
Final surface refinement was achieved using Lucida System and PoGo polishers, attaining lifelike gloss and surface continuity with adjacent teeth (Fig 10).
⸻
POST-OPERATIVE EVALUATION
•Dense obturation with complete apical seal
•Perfect marginal adaptation at the elevated Class V margin
•No post-operative pain or sensitivity at 2-week follow-up
•Natural morphology and contact restored for functional integration
⸻
DISCUSSION
Managing deep margins in posterior teeth poses a challenge for adhesive dentistry. DME using fiber-reinforced composite acts as an internal dentin core and stress breaker, preventing gap formation and fracture.
Post-Endo biomimetic reinforcement restores the tooth’s elastic behavior rather than simply filling a defect, ensuring long-term stability and crack resistance.
⸻
CONCLUSION
A complete functional and aesthetic rehabilitation was achieved by combining microscope-guided Endo with biomimetic Class V margin elevation and cuspal coverage.
This workflow embodies the philosophy of preservation through adhesion, not replacement through reduction.
⸻
FIGURE SEQUENCE
1️⃣ Pre-operative view showing deep Class V caries
2️⃣ Pre-op radiograph
3️⃣ Rubber-dam isolation (pink dam)
4️⃣ Access refinement under scope
5️⃣ Post-obturation radiograph
6️⃣ DME with GC EverX Posterior
7️⃣ Anatomic layering with Tokuyama Estelite
8️⃣ Occlusal final view – cuspal coverage
9️⃣ Polished final intra-oral result
⸻
REFERENCES
1.Magne P & Magne M. Biomimetic restoration of endodontically treated teeth. J Esthet Restor Dent 2020; 32: 13–27.
2.Dietschi D, et al. Deep margin elevation and adhesive restorations in posterior dentistry. Clin Oral Investig 2018; 22(2): 669–682.
3.Khayat A, et al. Bioceramic sealers and their impact on bond strength and sealing ability. Int Endod J 2021; 54(8): 1335–1346.
Share on: