Microscope-Guided Endodontic Management of Maxillary First and Second Molars (#6 and #7) with Extensive Carious Lesions: A Bioceramic and Biomimetic Approach
Abstract (≈480 characters)
This case describes the endodontic and restorative management of maxillary molars #6 and #7 with extensive carious destruction and pulpal involvement. Under microscope guidance, canals were negotiated, cleaned, and obturated using a bioceramic sealer. Both teeth were reinforced with GC EverX Flow and restored using Tokuyama Estelite Sigma Quick for cuspal coverage, achieving a biomimetic and functional rehabilitation within one quadrant.
Author CV
Dr Hamza Zahid, BDS
Microscopic Restorative & Cosmetic Dentist
CEO – Dr Hamza Dental Center, Lahore (Pakistan)
Focus Areas – Micro-Endodontics | Bioceramic Obturation | Quadrant Dentistry | Biomimetic Rehabilitation
Clinical Workflow
1️⃣ Pre-Operative Assessment
The patient presented with deep caries and pain in the upper right quadrant involving tooth #6 and #7 (Fig 1). Pulp testing confirmed irreversible pulpitis in #6 and necrosis in #7. Radiograph showed extensive coronal destruction and periapical widening.
2️⃣ Isolation and Access Preparation
Rubber-dam isolation was achieved for both teeth using a single-quadrant clamp system (Fig 2). Conservative access cavities were prepared under a dental microscope. Caries and previous restorations were completely removed, revealing multiple canal orifices in each molar.
3️⃣ Canal Exploration and Working Length
Under high magnification, all canal entries were negotiated using #08–#10 K-files (Fig 3). Electronic apex locator and radiographs determined working lengths. In #6, an MB2 canal was located and confirmed with micro-ultrasonic troughing.
4️⃣ Cleaning and Shaping
Instrumentation performed with ProTaper Gold rotary files using the crown-down approach. Copious irrigation with 5.25 % NaOCl activated ultrasonically, followed by 17 % EDTA to remove smear layer. Final rinse with sterile saline ensured complete debridement (Fig 4).
5️⃣ Obturation with Bioceramic Sealer
After thorough drying, canals were obturated using EndoSequence BC Sealer and a single-cone hydraulic technique (Fig 5). The sealer’s bioactivity promoted excellent apical sealing and dentinal tubule penetration.
6️⃣ Coronal Reinforcement and Restoration
Post-Endo, internal dentin was reinforced using GC EverX Flow for fiber-reinforced dentin replacement (Fig 6). Over it, Tokuyama Estelite Sigma Quick (A2) was layered anatomically to recreate occlusal morphology with full cuspal coverage (Fig 7). The restorations were polymerized 40 s per surface under magnification.
7️⃣ Finishing and Polishing
Contours refined with Sof-Lex XT discs and fine-grit diamond burs. Final gloss achieved using the Lucida Polish System (Style Italiano) to replicate enamel texture and luster (Fig 8).
8️⃣ Post-Operative Evaluation
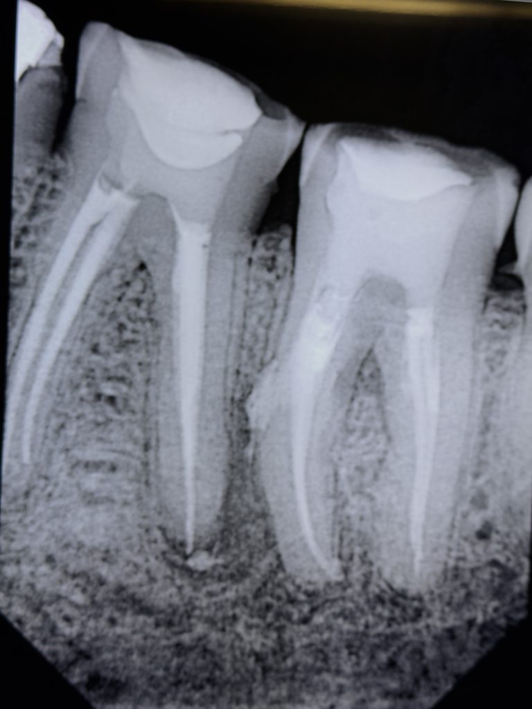
Radiograph confirmed dense obturation, sealed apices, and accurate restoration margins (Fig 9). At 1-month follow-up, both molars remained asymptomatic with proper occlusal function and no periapical tenderness.
Outcome
Microscope-guided endodontic management combined with biomimetic composite reconstruction enabled complete functional rehabilitation of two heavily compromised molars in a single quadrant. The bioceramic sealer and fiber-reinforced composite base ensured long-term stability, adhesion, and esthetic integrity.
Bibliographic References
- Tay FR, Pashley DH. Monoblocks in Root Canals: A Tangible Goal. J Endod 2007; 33(4): 391–398.
- Ruddle CJ. Micro-Endodontic Management of Molar Canals. Dent Today 2004; 23(7): 64–70.
- Magne P, Belser UC. Bonded Restorations in Posterior Dentition: A Biomimetic Approach. Quintessence Publ 2002.
- van Dijken JWV et al. Short Fiber-Reinforced Composites in Posterior Restorations. Dent Mater 2015; 31(5): 545–554.
Share on: