Microscope-Assisted Endodontic Management of a First Molar Followed by Class II Proximal Reinforcement Using GC EverX Flow and Garrison Matrix System
Abstract (≈470 characters)
This case demonstrates the endodontic rehabilitation of a mandibular first molar with deep proximal caries followed by immediate adhesive restoration. After cleaning and shaping under magnification, the canals were obturated using a bioceramic sealer. A Class II proximal composite restoration was completed using the Garrison sectional matrix system to achieve ideal contact. GC EverX Flow was used for dentin reinforcement, ensuring a biomimetic and long-term outcome.
Author
Dr Hamza Zahid, BDS
Microscope Restorative & Cosmetic Dentist
CEO – Dr Hamza Dental Center, Lahore
Focus Areas – Biomimetic Dentistry | Endodontics | Adhesive Restorations | Quadrant Dentistry
Clinical Workflow
1️⃣ Pre-Operative Assessment
The patient presented with food lodgment and sensitivity over the lower right first molar. Radiograph revealed a deep Class II distal lesion approaching the pulp (Fig 1). Diagnosis: symptomatic irreversible pulpitis.
2️⃣ Isolation & Access
Rubber dam isolation was achieved to prevent contamination (Fig 2). Conservative access cavity preparation was performed under a dental microscope to maintain structural integrity and preserve pericervical dentin.
3️⃣ Canal Negotiation & Working Length
All canals were explored using #10 K-files. Working length determined with an apex locator and verified radiographically (Fig 3). The molar exhibited typical MB, ML, and distal canal configuration.
4️⃣ Cleaning & Shaping
Root canal preparation carried out using ProTaper Gold rotary NiTi with crown-down technique. Irrigation protocol:
- 5.25% NaOCl (activated ultrasonically),
- 17% EDTA for smear layer removal,
- Final rinse with alcohol and saline.
Clean canal walls confirmed under magnification (Fig 4).
5️⃣ Obturation
Obturation was performed using Bioceramic Sealer (EndoSequence BC) with a warm vertical compaction technique to ensure apical seal and tubular penetration (Fig 5).
6️⃣ Class II Proximal Reinforcement
The proximal defect was restored immediately post-obturation.
- Garrison sectional matrix system used for tight proximal contact and contour (Fig 6).
- GC EverX Flow placed as the first 1–2 mm layer to reinforce weakened dentin.
- Incremental build-up completed with Tokuyama Estelite Sigma Quick (A2).
7️⃣ Finishing and Polishing
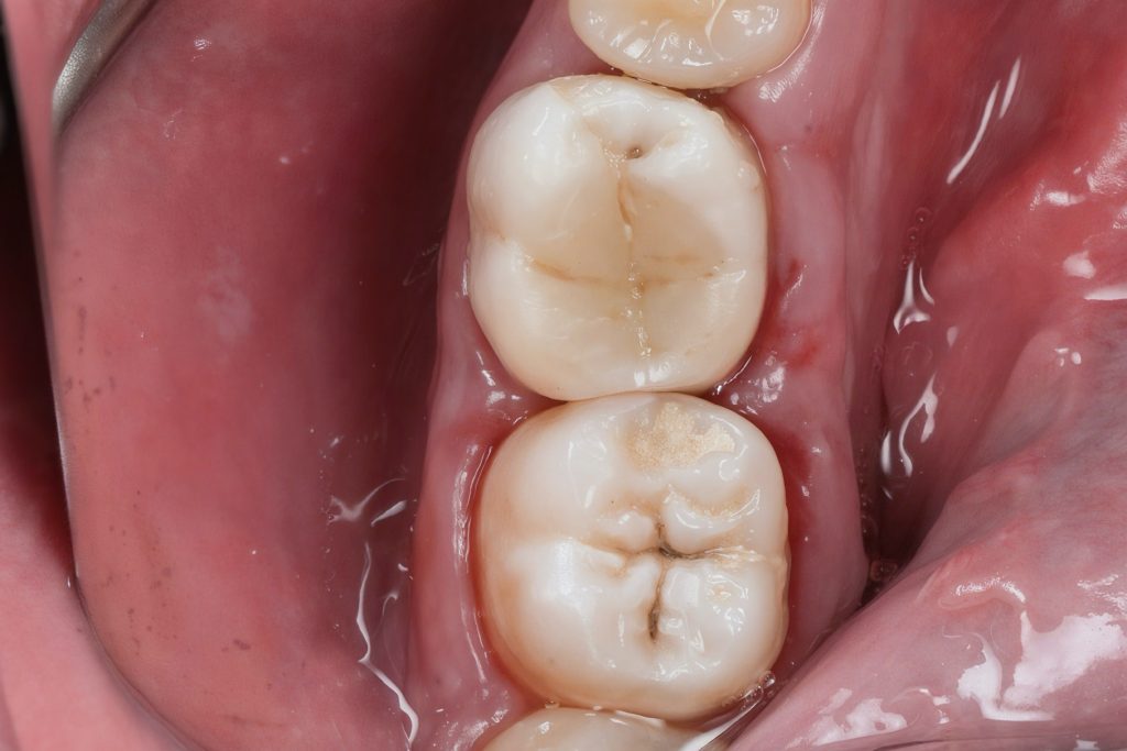
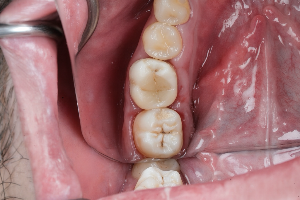
Anatomical morphology refined with Sof-Lex discs and composite finishing burs. Final enamel gloss achieved using Lucida Polish (Style Italiano) (Fig 7).
8️⃣ Post-Operative Evaluation
The radiograph confirmed complete obturation, perfect contact, and marginal sealing (Fig 8). The tooth was asymptomatic at 1-week review.
Outcome
The combination of microscope-guided endodontics and adhesive biomimetic restoration with GC EverX Flow reinforcement allowed functional and structural recovery of the molar without a post or crown. The Garrison sectional matrix system enabled accurate proximal anatomy and long-term biological success.
Image Captions
- Fig 1: Pre-op radiograph showing distal deep caries.
- Fig 2: Rubber dam isolation for aseptic workflow.
- Fig 3: Working length radiograph.
- Fig 4: Cleaning and shaping under magnification.
- Fig 5: Obturation with bioceramic sealer.
- Fig 6: Class II build-up using Garrison matrix + GC EverX Flow.
- Fig 7: Final morphology and occlusal finish.
- Fig 8: Post-op radiograph showing dense fill and coronal seal.
References
- Tay FR, Pashley DH. Monoblocks in Endodontics. J Endod 2007.
- van Dijken JWV. Short Fiber-Reinforced Composite in Stress Areas. Dent Mater 2015.
- Clark D, Khademi J. Modern Endodontic Access and Adhesion. Dent Clin North Am 2010.
- Bazos P, Magne P. Bio-Emulation in Adhesive Dentistry. Quintessence Int 2011.
Share on: