Minimally Invasive Smile Rehabilitation Using Direct Composite Veneers for Post-Traumatic Enamel Fractures Under Full Isolation
Case Type: Trauma | Restorative | Bio-Emulation | Direct Composite Veneers
Author: Dr Hamza Zahid, BDS,Restorative Dentist
Clinic: Dr Hamza Dental Center – Lahore, Pakistan
ABSTRACT
Anterior dental trauma frequently results in enamel–dentine fractures that compromise aesthetics, phonetics and anterior guidance. While indirect ceramic restorations are widely adopted for smile correction, they require irreversible tooth reduction and may not be suitable in young or biologically conservative patients. This case report presents a minimally invasive aesthetic rehabilitation using direct composite veneers following trauma-induced non-complicated crown fractures. A bio-emulative adhesive approach was executed using Clearfil Majesty ES-2 (Kuraray) and 3M Natural Shade dentine composite, enhanced with Swiss translucent nano-hybrid resin to reproduce incisal depth effects and enamel opalescence. The procedure was performed under full rubber dam isolation and microscope-assisted control to ensure adhesive predictability and high finishing precision. A 3D-planned mock-up guided palatal shell and Bioclear injection moulding technique were used to sculpt anatomical emergence, natural light diffusion and long-term maintainability—without any tooth reduction.
INTRODUCTION
Aesthetic rehabilitation of fractured anterior teeth requires more than simple space closure—it demands anatomical precision, optical integration, and functional harmony. Conventional crown preparation sacrifices healthy enamel and increases long-term biological risk, while orthodontic space management is not always accepted by patients seeking immediate results. With modern adhesive dentistry and bio-emulation principles, direct composite veneers now offer a high-level alternative that is reversible, functional, and minimally invasive.
Bio-emulation is founded on recreating the structural and optical behaviour of natural teeth—dentine saturation, enamel translucency, cervical chroma graduation and dynamic surface texture. When combined with prudent composite selection and controlled stratification, natural aesthetics can be achieved without porcelain.
This case demonstrates:
- Trauma management
- Direct composite aesthetic rehabilitation
- No-prep adhesive protocol
- Heated Bioclear injection moulding
- Surface morphology and micro-texture anatomy
- Rubber dam precision
- Layering to mimic depth, halo and incisal opalescence
CASE DESCRIPTION
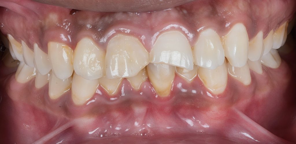
A young adult male presented complaining of aesthetic impairment following previous anterior trauma. His chief concerns included:
- Visible enamel fractures
- Edge chipping and uneven incisal display
- Lack of smile symmetry
- Spaces affecting appearance
- Desire for a natural result without drilling
Extraoral Assessment
- Facial symmetry: normal
- Smile line: medium
- Lip mobility: normal
- Midline: acceptable
- Smile objective: natural finish, no artificial opacity
Intraoral Findings
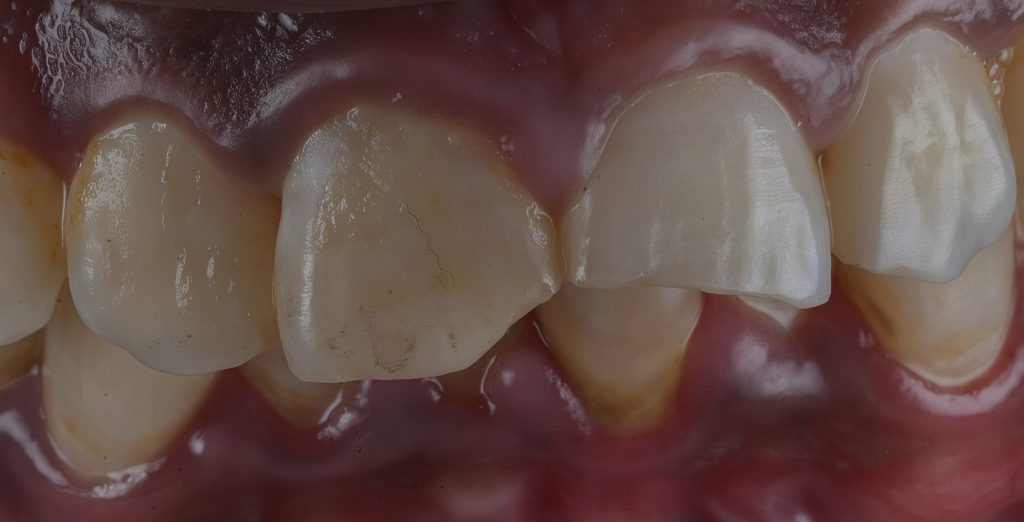
- Teeth involved: 11 and 21 (FDI system)
- Trauma history: uncomplicated enamel–dentine fracture
- Pulp vitality: within normal limits
- Periodontal status: healthy
- Occlusion: Class I with stable guidance
- Tooth preparation tolerance: refused ceramic veneers
- Patient request: zero enamel removal
DIAGNOSIS
Post-traumatic enamel–dentine fracture with aesthetic impairment.
Treatment complexity: medium
Invasiveness: non-invasive
Approach: adhesive biomimetic rehabilitation
TREATMENT OBJECTIVES
- Restore natural tooth anatomy
- Preserve 100% of enamel surface
- Rebuild symmetrical incisal edges and line angles
- Achieve long-term adhesion with selective etching + Clearfil SE Bond 2
- Use bio-emulative composite layering to mimic enamel/dentine behaviour
- Apply heated injection moulding for emergence form
- Maintain periodontal compatibility
- Deliver high-definition surface texture under magnification
TREATMENT PROCEDURE
STEP 1 – Rubber Dam Isolation
Full arch rubber dam isolation was placed to secure a sterile adhesive environment and retract soft tissue. (Fig.1)
STEP 2 – Biofilm Removal
A pre-restorative cleaning protocol was performed using:
- Aluminium oxide powder micro-abrasion
- Scaler-assisted interproximal cleaning
- Deproteinisation with NaOCl 5%
STEP 3 – Silica Index and Palatal Shell Fabrication
A 3D smile mock-up was designed and approved by the patient to define final tooth proportions and width-to-length ratios. A silicone putty index was fabricated from the mock-up to create a palatal shell. This shell provided a stable incisal edge position and guided functional envelope during reconstruction. (Fig.3)
STEP 4 – Adhesive Protocol
The bonding sequence was performed as follows:
- Selective etching of enamel only using 37% phosphoric acid
- Rinse and control surface humidity
- Application of Clearfil SE Bond 2 primer and bond
- Controlled air thinning
- Light curing for 10 seconds under microscope verification (Fig.4)
This ensured long-term adhesion to enamel and minimised polymerisation stress.
STEP 5 – Heated Composite Injection (Bioclear Technique)
Heated composite (approximately 65–70°C) was injected using the Bioclear anatomical matrices to establish controlled emergence profile, interdental contact, and cervical contour without black triangles. (Fig.5)
STEP 6 – Bio-Emulative Composite Layering
A dentine core was built using 3M Filtek Natural Shade (Dentine Match) to reproduce internal warmth and chroma.
An enamel shell was layered with Clearfil Majesty ES-2 (Enamel Body Shade), selected for ideal light reflection and surface diffusion.
Swiss Spare Mic translucent composite was added to mimic incisal halo, translucency and opalescent zones, enhancing depth.
Grey-white tint characterisation created natural developmental brightness. (Fig.6–7)
STEP 7 – Anatomical Sculpting and Texture
Primary contour (macro-anatomy) was refined by sculpting:
- Line angle symmetry
- Transitional light zones
- Incisal embrasures
Secondary texture (micro-anatomy) was created using longitudinal enamel texture and horizontal perikymata under microscope magnification—this delivered natural light behaviour matching real enamel. (Fig.8)
STEP 8 – Precision Finishing and Polishing
A multi-step finishing protocol was executed:
- 12-fluted finishing burs for macro contour
- Sof-Lex discs for contour gradient
- Silicone polishers for gloss
- Diamond felt wheel + aluminium oxide paste for final ceramic-like sheen (Fig.9–10)
DISCUSSION
This case illustrates how direct adhesive rehabilitation can achieve ceramic-level aesthetics with zero biological cost. The heated Bioclear injection technique allowed ideal cervical emergence and contact areas while reducing void formation. The bio-emulation layering protocol helped recreate internal dentine warmth, supported by natural enamel opalescence.
Performing the procedure under rubber dam isolation was mandatory to preserve adhesive integrity and reduce contamination risk. Magnification enhanced anatomical precision, particularly during finishing and surface micro-texturing.
Compared to porcelain veneers, this approach:
✅ Preserved 100% of natural enamel
✅ Offered reversible treatment
✅ Avoided aggressive preparation
✅ Provided functional and aesthetic control
✅ Allowed easy repair if needed
CONCLUSION
Minimally invasive adhesive techniques allow trauma-related enamel fractures to be restored with exceptional aesthetics and biological respect. Direct composite veneers, when executed with a planned layering strategy and magnification, can successfully emulate natural dental optics while remaining conservative and functional.
CLINICAL SIGNIFICANCE
This case confirms that no-prep direct composite veneers remain a highly valid alternative to ceramics when performed under strict clinical protocol, especially in young trauma patients prioritising biological conservation.
REFERENCES
- Clark D, Khademi J. The Bioclear Method: Modern Composite Dentistry. Dent Today, 2020.
- Terry DA. Direct Composite Restorations of Anterior Teeth: A Biomimetic Approach. Pract Proced Aesthet Dent, 2004.
- Van Meerbeek B et al. Adhesion to Enamel and Dentin. Oper Dent, 2020.
AUTHOR INFORMATION
Dr Hamza Zahid, BDS
Cosmetic & Restorative Dentist
Dr Hamza Dental Center – Lahore, Pakistan
Microscope Dentistry • Adhesive Restorative • Aesthetic Rehabilitation
This case was completed using a minimally invasive, fully additive protocol
Share on: