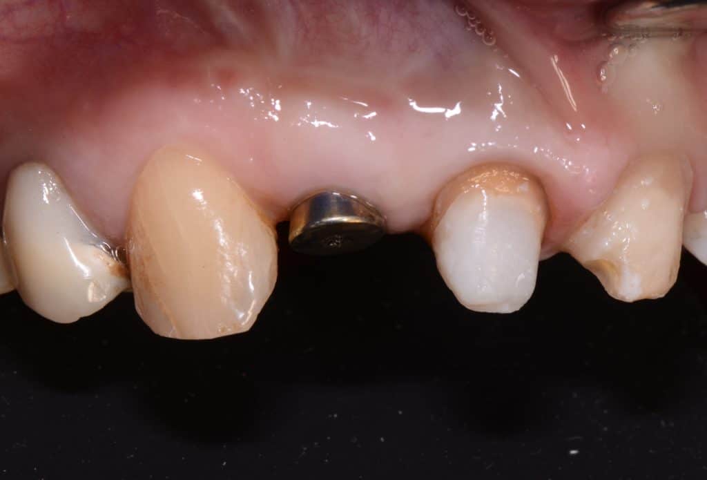
A Straumann BLT implant has been placed in 12# area; soft tissues have been augmented by means of a botiss collagen membrane.
Suturing with a coronally positioned flap.
Results are really satisfying. This is a work in progress, but even at the time of screwing the provisionals I already noticed an adequate amount of soft tissue on the vestibular side of the implant.
The main advantage is that avoids connective tissue graft from the patient.
Share on: