
I have tried the new Sincrest kit by META. It should allow the lifting of the sinus in a more controlled and safe way.
The Sincrest is a transcrestal maxillary sinus floor elevation kit made up of burs for the electric handpiece; depth stops of various heights and a manual osteotome.
The manual osteotome was designed to achieve the controlled fracture of the sinus floor by the maxillary sinus mucosa without damaging it.
The crest is cut with a size 15 Bard-Parker scalpel, and a full-thickness flap is made performing a double widening suture both buccally and palatally. The first bur to be used is the Locator Drill that works only for 3.5 mm and only drills the cortical bone.Subsequently, I used the 1.2 mm diameter Probe Drill.
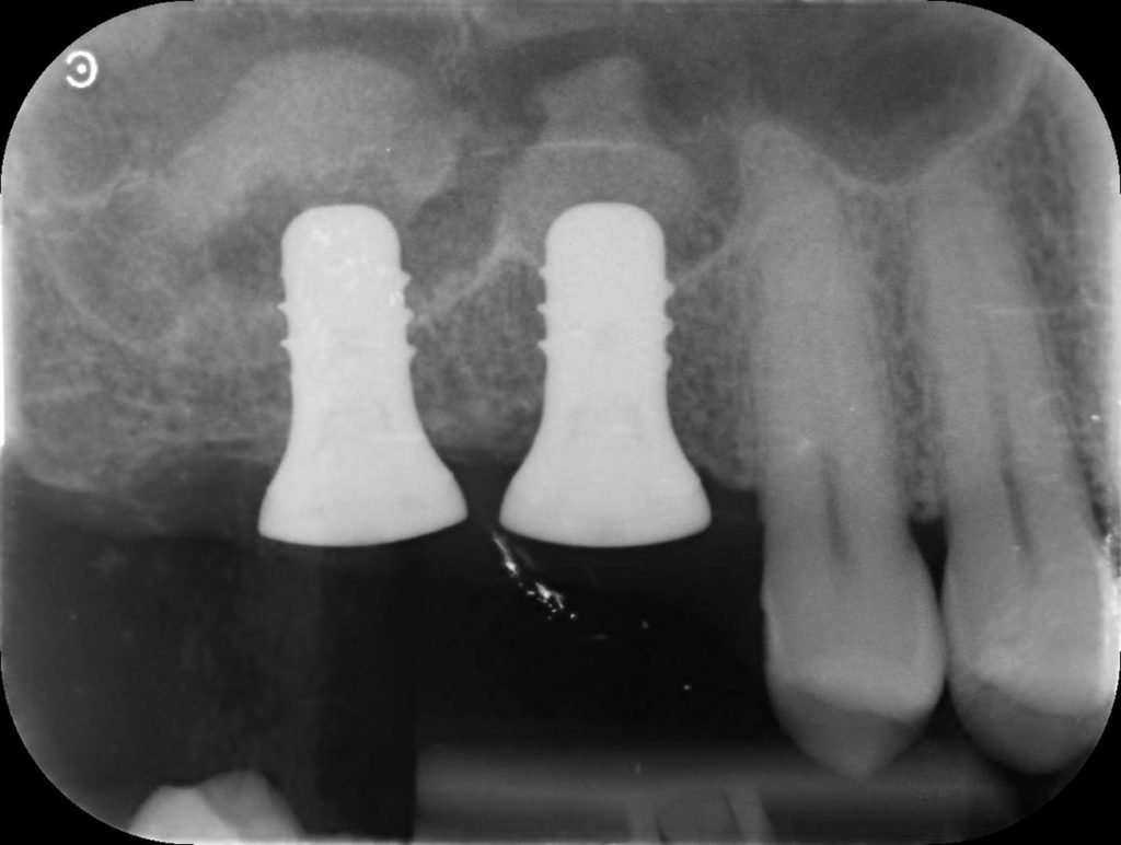
I stopped at about 2 mm from the maxillary sinus floorIn this case, since the distance between the crest and the floor is of about 8 mm in #16 area and 6mm in 17# area, a 6 mm stop is inserted on the first implant and a 4mm stop on the second.
For the next step, I used the Guide Drill. That bur only works for a depth of 2 mm and allows for the correct centring of the following bur. Then, I have used the 3mm Sincerest Drill to create precise housing to insert the SinCrest tool.
Since the bone was soft – considering I wanted to use Wide-Neck Implants – I decided to use a 4mm SinCrest on the site prepared at 3mm.
At this stage, the device is manually screwed until one can see the white stripe on the probe. Seeing that stripe means that the SinCrest has reached the depth made by the burs. The handpiece is now rotated of ½ rotation first counterclockwise and then clockwise applying a pressure axially. By repeating this “screw and unscrew” motion, the thread of the device is kept completely stationary, and an osteotomy of 0.5 mm is carried out apically.
At this stage, it is possible to screw the SinCrest again so that it will go forward of 0.5 mm apically. When the white stripe disappears, it means that the bone operculum is fractured, and it is possible to insert the bio-material for the elevation. In this case, we used Bio-Oss inserted in the sinus utilizing a carrier and pushed apically using osteotomes: it is essential not to go further than 8 mm (and 6mm in the case of the other distal site).
Two 8mm Straumann Wide-Neck have been inserted. After inserting a healing abutment with a height of 2 mm, a detached stitches suture was made. Good planning allowed me to be precise with the incision, and only 2 stitches have been necessary.
Pre-op and post-op CBCT have been obtained with my Carestream 8100. In addition to providing us with very defined images, this device allows performing CBCT of only three teeth. This greatly reduces the radiation dose for the patient.
The new Sincrest device has been found to be an extremely valid device that allows the Schneider membrane to be lifted in an extremely safe manner even in non-expert hands. Compared to the previous Sincrest is less bulky and is faster in proceeding in the bone and therefore in sinus floor lifting.








one week follow-up
Share on: