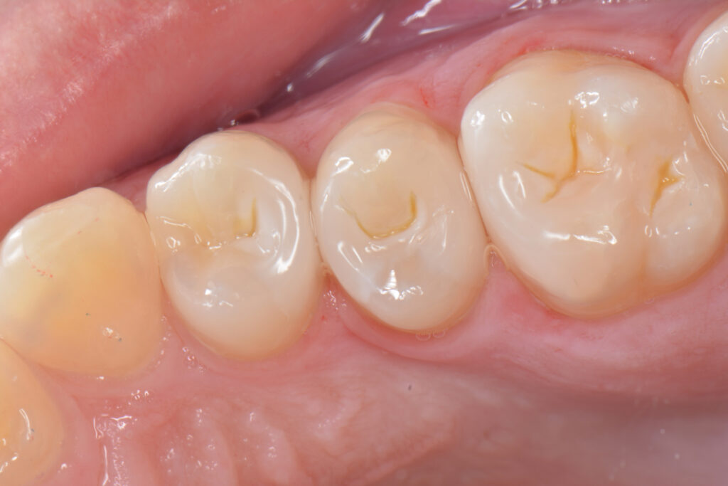
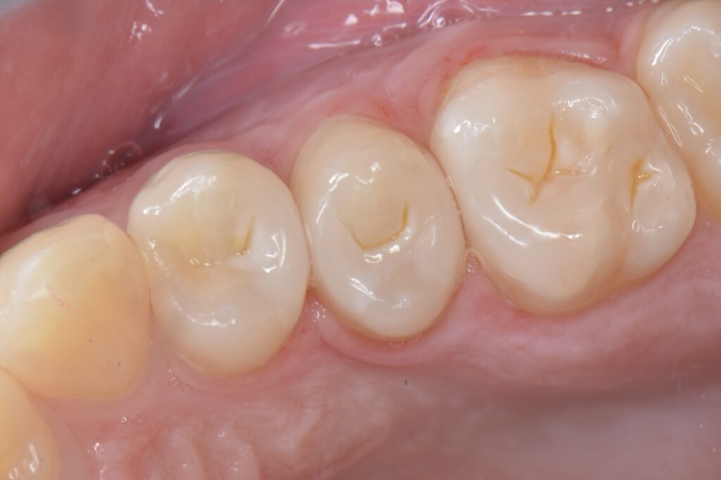
After examination and take the history with x-ray the teeth was vital .
Done within two visits takes 2.5 hours .
In the first visit made cavity designs under rubber dam isolation then sandblast 5 sec. After that made IDS by SE bond from kuraray then RC ( 0.5 mm flowable use clearfil AP-X flow from kuraray ) .
In the second visits , isolation by rubber dam then select the correct band to return the contacts and contours .
Put fibers reinforced as a dentin replacement
Use PA1 , SW composite from tokuyama
Share on: