Non-Surgical Re-Endodontic Management of a Mandibular Molar Through an Existing PFM Crown: Step-by-Step Identification and Negotiation of the Middle Mesial Anatomy
Author: Dr. Hamza Zahid
Discipline: Endodontics | Restorative Dentistry
Keywords: Re-endodontics, middle mesial canal, mandibular molar, PFM crown, magnification, ultrasonic troughing, missed anatomy
Abstract
Persistent apical disease following root canal treatment is most commonly associated with residual intraradicular infection, often due to missed or inadequately disinfected canal anatomy. Mandibular molars present a high degree of anatomical complexity, particularly within the mesial root, where the middle mesial (MM) canal system may exist as an independent canal, a confluent pathway, or an isthmus.
This case report describes a conservative, non-surgical retreatment of a mandibular molar performed through an existing porcelain-fused-to-metal (PFM) crown, with specific emphasis on systematic identification, troughing, and negotiation of the middle mesial anatomy under strict rubber dam isolation and magnification. The article outlines a step-by-step, clinically reproducible protocol focused on biological principles, controlled ultrasonics, conservative shaping, and effective disinfection.
Introduction
The success of endodontic treatment depends on thorough cleaning, shaping, disinfection, and sealing of the entire root canal system. Failure frequently arises not from obturation defects alone, but from untreated anatomical complexities, particularly in mandibular molars.
The mesial root of mandibular molars commonly contains isthmuses and accessory anatomy connecting the mesiobuccal (MB) and mesiolingual (ML) canals. The middle mesial canal, first described by Pomeranz et al., remains one of the most frequently missed anatomical features in retreatment cases.
Modern endodontics, supported by magnification, ultrasonic technology, and enhanced irrigation strategies, allows clinicians to address these complexities predictably while preserving tooth structure.
Case Overview and Treatment Rationale
The tooth presented with previous root canal treatment and persistent periapical pathology. An existing PFM crown was clinically intact with acceptable margins and allowed predictable rubber dam isolation. Considering the risk of crown removal and the ability to achieve an adequate coronal seal, a through-the-crown retreatment approach was selected.
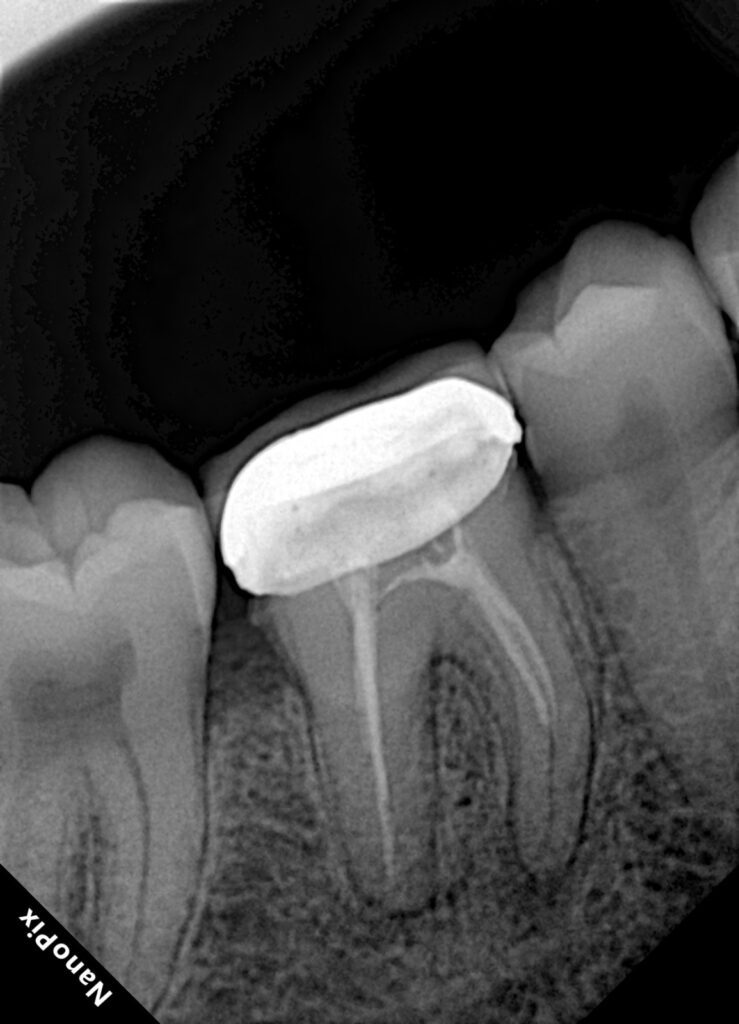
Pre-operative radiographic assessment suggested incomplete debridement of the mesial root, raising suspicion of missed mesial anatomy.
Clinical Procedure
1. Rubber Dam Isolation
Absolute isolation was achieved using a mandibular molar clamp with floss ligatures. Marginal seal was reinforced where necessary to prevent microleakage. A completely dry operating field was confirmed prior to access refinement.
Rationale:
Rubber dam isolation is essential not only for infection control but also for safe ultrasonic troughing and predictable adhesive coronal sealing.
2. Access Through the PFM Crown
Access was conservatively prepared through the crown using a dedicated porcelain-cutting diamond followed by a metal-cutting carbide bur. Penetration was controlled to minimize porcelain chipping and unnecessary dentin removal. The access cavity was refined to expose the entire pulp chamber floor.
Key principle:
Access design prioritized visualization over enlargement, preserving cervical dentin while allowing straight-line entry.
3. Pulp Chamber Refinement and Anatomical Mapping
After removal of restorative materials, the pulp chamber floor was cleaned and inspected under magnification. The MB and ML canal orifices were identified first. Attention was then directed to the developmental groove connecting the mesial canals, which was carefully examined for color changes, catch points, and anatomical clues.
4. Ultrasonic Troughing of the Middle Mesial Groove
A fine ultrasonic tip was used to trough the mesial developmental groove at low to moderate power. Troughing was performed incrementally with frequent irrigation and reassessment.
Risk control:
Special attention was paid to avoid strip perforation toward the furcation by maintaining shallow, controlled troughing depth.
5. Negotiation of the Middle Mesial Anatomy
Upon identifying a reproducible catch point, a pre-curved size 6 and 8 stainless steel hand file was introduced using EDTA as a lubricant. Gentle watch-winding and picking motions allowed progressive negotiation.
The pathway demonstrated consistent re-entry and apical progression, confirming a functional middle mesial anatomy rather than a superficial isthmus alone.
6. Working Length Determination and Glide Path
Electronic working length determination was performed and confirmed radiographically. A conservative glide path was established to maintain original canal anatomy and prevent procedural errors.
7. Removal of Previous Filling Material and Disinfection
Existing obturation material was carefully removed using a combination of mechanical instrumentation and chemical irrigation. Copious sodium hypochlorite irrigation was employed throughout the procedure, with activation to enhance penetration into isthmuses and accessory anatomy. A final EDTA rinse was used to address the smear layer.
Biological focus:
Disinfection was prioritized over aggressive shaping, recognizing the importance of irrigation dynamics in complex mesial anatomy.
8. Obturation
The root canal system was obturated using a technique appropriate for complex anatomy, ensuring sealing of the MB, ML, and middle mesial components. Particular care was taken to achieve homogenous filling of the mesial root.
9. Coronal Seal
Following obturation, the pulp chamber was cleaned of sealer residues and immediately restored with a bonded coronal seal through the crown access. Occlusion was adjusted to minimize functional stress.
Discussion
Middle mesial anatomy plays a significant role in the failure of mandibular molar endodontic treatment. Whether present as a true canal or a confluent isthmus, this region harbors bacteria that cannot be eliminated without direct negotiation and irrigation.
This case highlights several critical principles:
- Magnification is essential for identifying subtle anatomical landmarks.
- Ultrasonic troughing must be conservative and anatomy-guided.
- Small, pre-curved hand files are superior to forceful mechanical scouting.
- Effective irrigation and activation outweigh excessive canal enlargement.
- A definitive coronal seal is inseparable from endodontic success.
Conclusion
Non-surgical retreatment through an existing PFM crown can be a conservative and predictable approach when isolation, visualization, and coronal sealing are properly executed. Systematic identification and negotiation of the middle mesial anatomy significantly improve debridement of the mesial root complex and enhance long-term treatment outcomes.
A disciplined, biologically driven workflow transforms challenging retreatment cases into reproducible clinical success.
Clinical Takeaways
- Always assume missed anatomy in failed mandibular molars until proven otherwise.
- The middle mesial canal lies between MB and ML, not outside them.
- Trough shallow, reassess often, and let anatomy guide you.
- Conservative shaping with aggressive irrigation is the safer strategy.
- Endodontics is incomplete without a durable coronal seal.
References
- Nair PNR. On the causes of persistent apical periodontitis: a review. Int Endod J. 2006;39:249–281.
- Siqueira JF Jr. Aetiology of root canal treatment failure. Int Endod J. 2001;34:1–10.
- Pomeranz HH, Eidelman DL, Goldberg MG. Treatment considerations of the middle mesial canal. J Endod. 1981;7:565–568.
- de Pablo ÓV et al. Root canal anatomy of mandibular first molars: a systematic review. J Endod. 2010;36:1919–1931.
- Azim AA, Deutsch AS, Solomon CS. Prevalence of middle mesial canals using guided troughing. J Endod. 2015;41:164–168.
- Vertucci FJ. Root canal morphology of permanent teeth. Oral Surg Oral Med Oral Pathol. 1984;58:589–599.
- Karapinar-Kazandag M et al. Operating microscope and canal detection. J Endod. 2010;36:1–5.
- van der Sluis LWM et al. Passive ultrasonic irrigation. Int Endod J. 2007;40:415–426.
- Ng Y-L et al. Outcome of secondary root canal treatment. Int Endod J. 2008;41:1026–1046.
- Ray HA, Trope M. Coronal restoration and endodontic outcome. Int Endod J. 1995;28:12–18.
Share on: