Introduction:
Preserving pulp vitality in deep carious lesions is a key goal in modern restorative dentistry. This case report presents the successful management of a vital mandibular first molar (#36) using indirect pulp capping and a CAD/CAM glass-bonded overlay, with a six-year follow-up.
Methods:
A 25-year-old patient presented with cold and sweet sensitivity. Tooth #36 showed a deep lesion but no periapical pathology. After rubber dam isolation, selective caries removal was performed. MTA was used for pulp capping, followed by a resin-modified glass ionomer liner (VitreBond, 3M), flowable bulk-fill composite, and immediate dentin sealing. The tooth was prepared for a CAD/CAM overlay, milled with CEREC, and bonded under isolation.
Results:
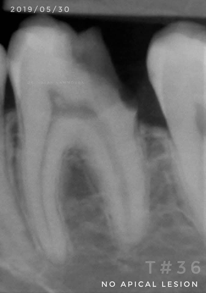
Post-treatment, the tooth remained vital and asymptomatic. Follow-up at 1, 3, and 6 years confirmed continued vitality, normal periapical structures, and no restoration failure. The 6-year radiograph showed no signs of pathology, with stable margins and no resorption.
References:
1.
Koc Vural U, Kiremitci A, Gokalp S. Which is the most effective biomaterial in indirect pulp capping? 4- year comparative randomized clinical trial. Eur Oral Res. 2022 Jan 1;56(1):35-41. doi: 10.26650/eor.2022895748. PMID: 35478709; PMCID: PMC9012221.
2.
Schwendicke F, Dörfer CE, Paris S. Incomplete Caries Removal: A Systematic Review and Meta-analysis: A Systematic Review and Meta-analysis. Journal of Dental Research. 2013;92(4):306-314. doi:10.1177/0022034513477425
3.
Takuya MURATA, Toshio MASEKI, Yoichiro NARA, Effect of immediate dentin sealing applications on bonding of CAD/CAM ceramic onlay restoration, Dental Materials Journal, 2018, Volume 37, Issue 6, Pages 928-939, Released on J-STAGE November 30, 2018, Advance online publication July 12, 2018, Online ISSN 1881-1361, Print ISSN 0287-4547, https://doi.org/10.4012/dmj.2017-377, https://www.jstage.jst.go.jp/article/dmj/37/6/37_2017-377/_article/-char/en,
4
Edoardo Mancuso, Annamaria Forte, Tatjana Maravic, Claudia Mazzitelli, Allegra Comba, Andrea Baldi, Vincent Fehmer, Irena Sailer, Nicola Scotti, Annalisa Mazzoni, Prof Lorenzo Breschi,
Effects of preparation design on the marginal and internal fit of CAD-CAM overlay restorations: A µCT evaluation,
The Journal of Prosthetic Dentistry,
Volume 133, Issue 4,
2025,
Pages 1055.e1-1055.e10,
ISSN 0022-3913,
https://doi.org/10.1016/j.prosdent.2024.12.023.
Share on: