Old dentistry VS Adhesive dentistry
Sooner or later you will skip the old schools and shift to adhesive dentistry to the new Era of beauty and safety restorations, it is safe even in its failure mode, the restorable failure without thinking of cracks, Extension for prevention, cutting more dentin from the root to place any post and eventually ends with root fractures 😉 or any non-restorable fractures, all these problems gone with the evolution of adhesive dentistry, that’s not mean the old schools not works at all, we will never forget it was the hero in the past for sure but now everything is changed and we should change for the better 😀
Story of Indirect lithium disilicate overlay
Step by step
-Isolation
-amalgam removal
-all caries removed by using CDD
-IDS with gold standard clear fil SE bond
-RC with flowable composite
-Ever X flow for dentin replacement
-Weak cusps reduced and bio base completed
-impression taking
Cementation day :
-Isolation with a rubber dam
1- for biobase
-biobase air abraded
-Phosphoric acid etching for 30 seconds and rinse
-bond without curing
2- for lithium disilicate
-HF acid etching for 20 seconds and rinse
-Phosphoric acid etching for 1 minute and rinse
-Silane coupling agent for 1 minute and dry it only
-bond without curing (optional)
-cementation with heated composite
بينك الحلة
Initial situation showing large amalgam filling with open contact , the patient said that he replaced it for more than 2 times and the problem of food impaction still
Isolation with rubberdam
Amalgam removal
Clean cavity ready for D.M.E
All caries removed by using CDD
Time for DME
IDS with gold standard bond
Ever x flow for dentin replacement
All weak cusps (less than 3mm in endodonticaly treated tooth) reduced and proximal slopes mesial and distal to allow the technician to create new contact in the correct place easily
Impression taking
Cementation day
Cementation with heated composite
Immediate result
Final result
Final result
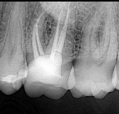
Preoperative x ray
Final x ray , look to the fitness of the lithium disilicate on the biobase
Share on: