Short story about Semidirect restoration for upper first premar
_Old composite removed
-all caries removed
_IDS with gold standard SE bond
_RC with GC flowable composite
_ever x flow for dentin replacement
_Tokuyama composite for enamel replacement
_biobase
_impression
-cast created after that (either by stone or Light body material)
_building the Semidirect overlay layer by layer in the clinic
-finishing and polishing of the restoration
_In cementation day , isolation with rubberdam then the same cementation steps to the E.max overlay done except ( HF acid etching )
_the spaces between upper lateral , canine and the first premolar (semidirect) will closed in future inshallah
Initial situation showing badly restored upper first premolar, the patient need to correct it befor the Aid of Al-Adha so I told him that the best treatment is to extract the tooth and do an implant but he refused as he need an urgent treatment to correct his smile so I suggest doing semidirect restoration that will correct his smile and less cost
Occlusal view showing large screw inserted inside the old composite
Old composite removed and all caries removed
Buccal view showing the bad situation of the tooth so I decided to leave the screw in its place for more retention to the restoration and as the whole treatment is temporary the patient need it for short time and the real treatment is the implant in the future
IDS with gold standard clearfil SE bond ,
RC with flowable composite from GC ,
Build up and preparation
Cast created and so the Semidirect restoration will build on it
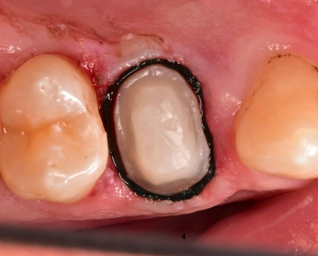
Cementation day, biobase air abraded
Check the restoration on the biobase
Cementation with heated composite
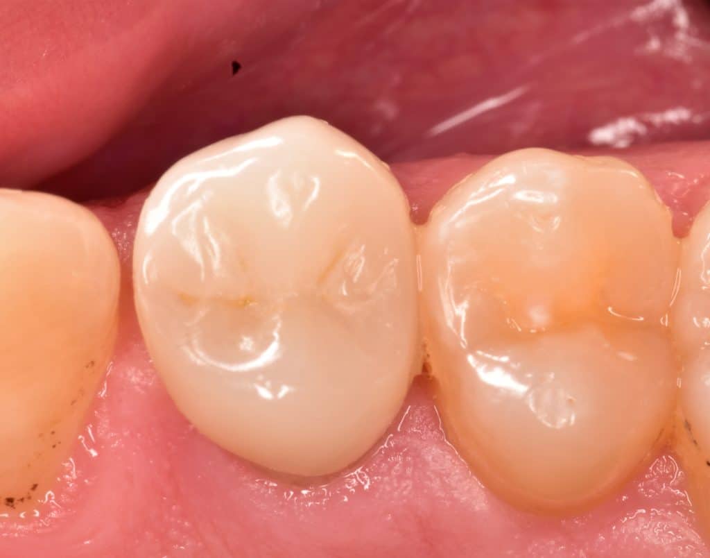
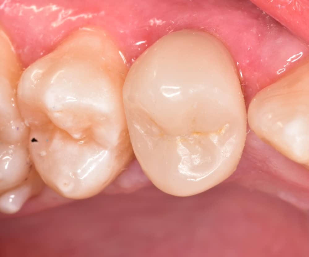
Immediate result
Immediate result
Immediate result after rubberdam removal, look to the gingiva
Occlusal view
Immediate result after finishing and polishing
Palatal view
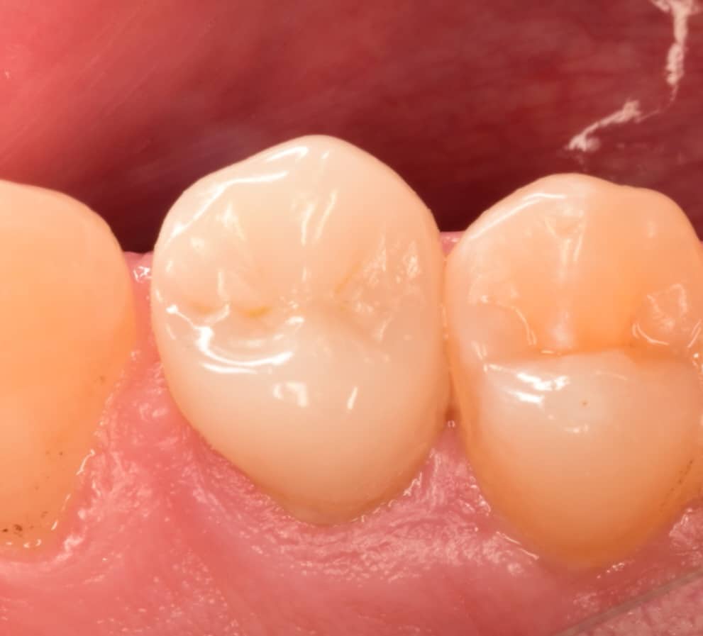
10 days later , healing is progress
10 days later
10 days later look to the healing
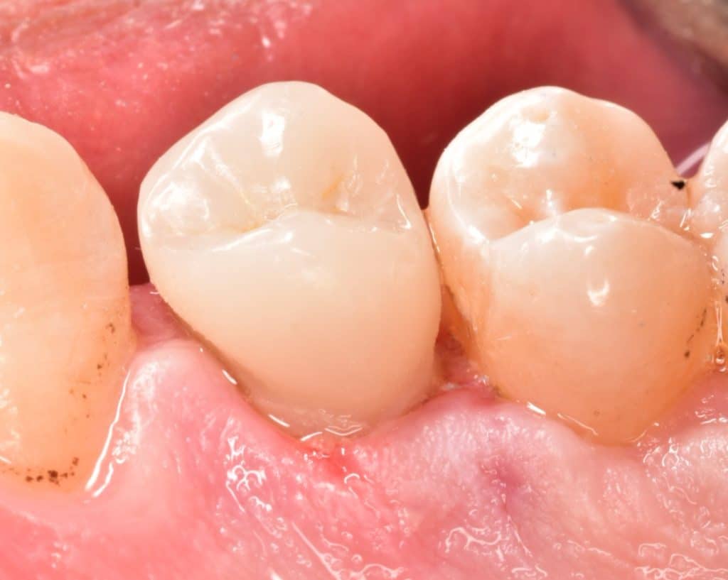
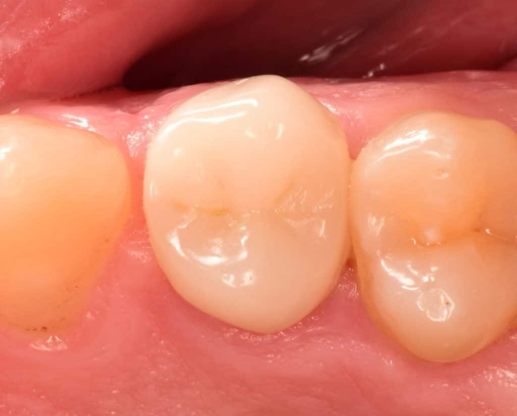
5 months later , no chipping of the restoration 😍, the patient leaves the idea of doing implant 😅
Palatal view 😍
Healing as it should be after 5 months later
5 months later
You can check this amazing Review about Semidirect restoration
Share on: