Another premolars rehabilitation
As we all know about the power of modern adhesive dentistry and its advantages in solving many problems in our daily dental work very effectively and efficiently , the power of using the gold standard adhesive system supported with the use of fibers (ribbond) that mitigating the polymerization stress to get the maximum restoration tooth adhesion and without the need of mechanical retentive means as we all know the harmful effects of there failure mode
Always macro-core build up in endodonticaly treated premolars as the surface area of adhesion in premolars is less than that in molars
@gianfrancopolitano
Simply I present this case with you that relying solely on the modern adhesive dentistry without the need to go further and by that I mean doing traditional crowns that need more mechanical retention, screws , fiber posts or any mechanically related post and core.
A young female 30 years old came to the clinic asking for fixing her upper premolars the whole treatment take 4 visit
1st visit caries removal and build up
2nd visit endodontic treatment
3rd visit macro-core buildup and preparation
4th visit cementation of restorations
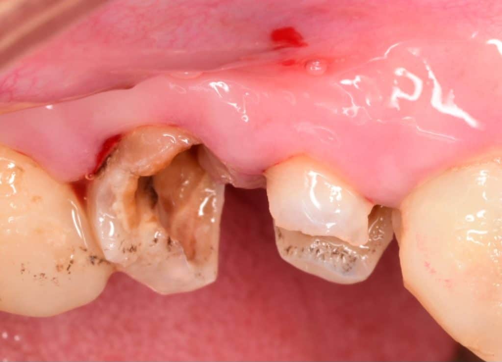
Initial situation showing large carious lesion in the upper premolars
Buccal view showing the extension of the caries
Step by step
Isolation, all caries were removed by using CDD
Buccal view showing the final cavity
DME and Pre-endo build up done in the first visit
Buccal view after composite building
5 days later
Healing in progress ✨️
Second visit, Endodontic treatment for both of premolars
Single cone obturation with bioceramic sealer (Neosealer)
Temporary filling placed and the patient postponed to another visit
2 weeks later, healing of the soft tissue 💙
Buccal view, look to the healing
Third visit, isolation, TF removal
Clearfil SE bond, wetted Ribbond placed inside the cavity surrounded by ever x flow and covered by composite restoration to create the core build up material
Core build up
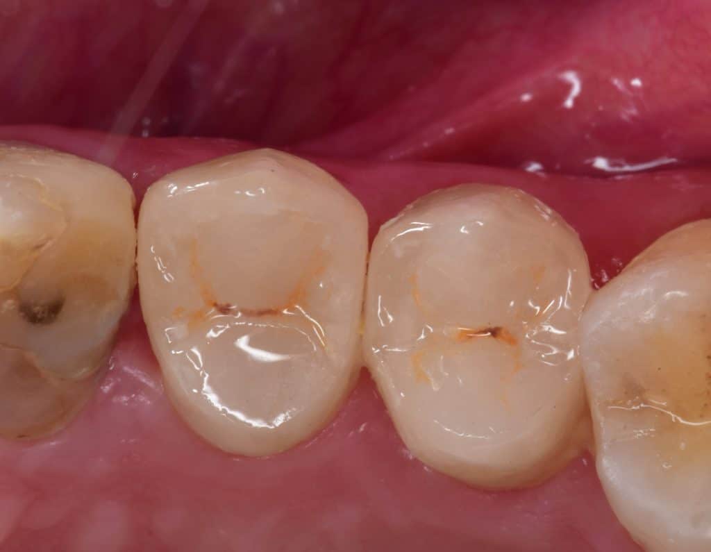
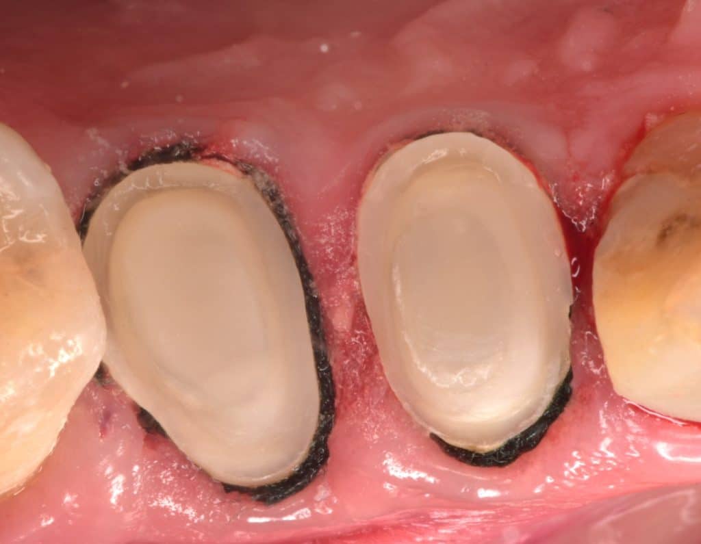
Preparation done , macro-core buildup for premolars
Cementation day, isolation with rubberdam, biobase air abraded
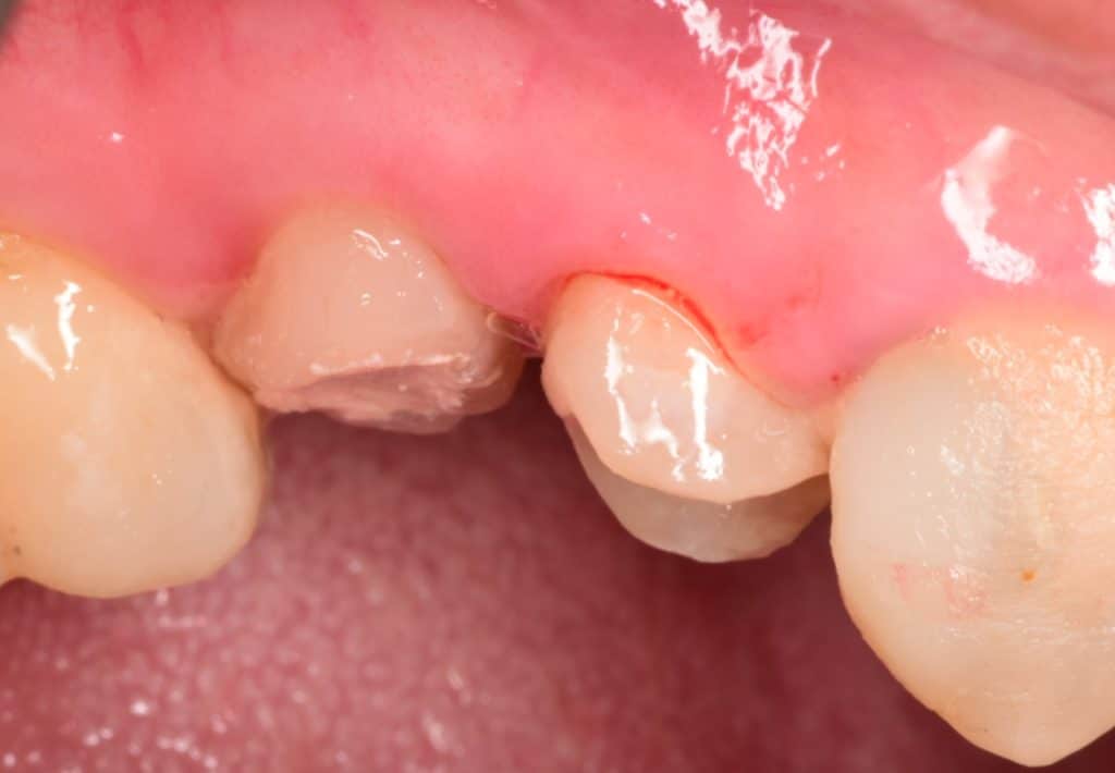
Buccal view showing the macro-core buildup
First premolar cemented
Occlusal view
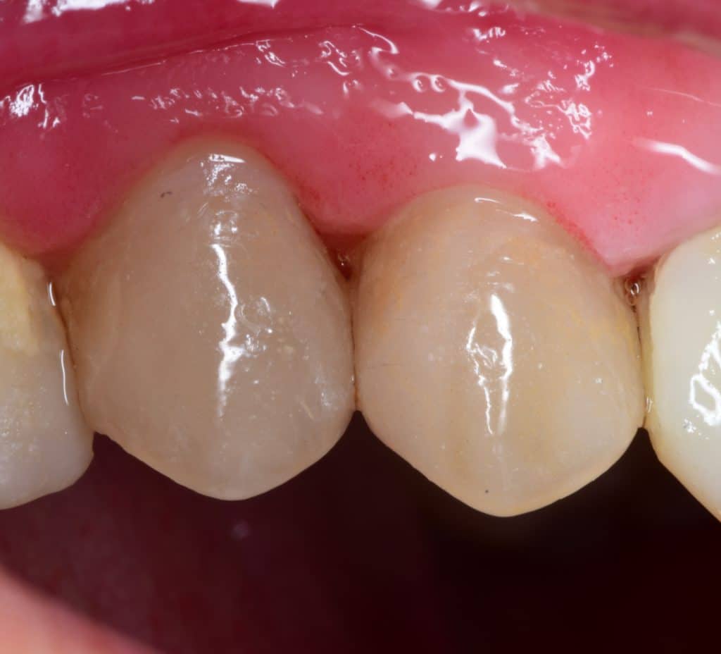
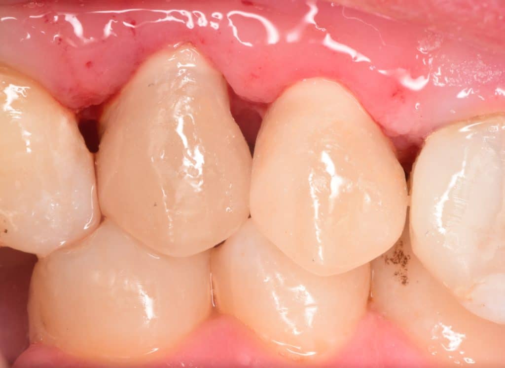
Immediate result after rubberdam removal
Occlusal view, Immediate result
Palatal view, look to the fitness
Immediate result, buccal view in occlusion
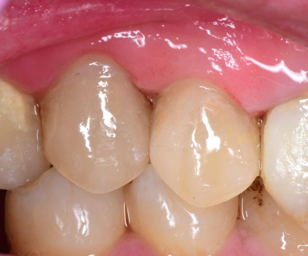
2 weeks later
2 weeks later, healing 💖
Healing
Pre-operative x ray
After DME
Cone fitt
After obturation
After preparation
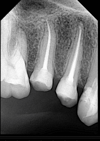
Final x ray
Before and after 2 week's
Share on: