26 years old female patient come to clinic (referred from another dentist )asking for restoring her lower second premolar
Treatment plan after x ray taking to evaluate the status of the root and bone and root canal treatment was to do DME and core buil up and supporting it with long and short fibers (ribbond and ever x flow ) to create strong biobase for the final indirect lithium disilicate overlay restoration
For the IDS ,gold standard clearfil SE bond used for that purpose, RC with flowable composite from GC
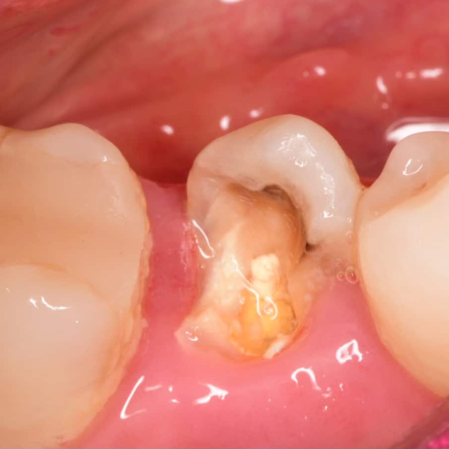
Initial situation showing severe decay in lower second premolar
Buccal view
If you can isolate it you can fix it, isolation with rubberdam
Step by step starting DME
Immediate after DME , gold standard clearfil SE bond used, RC with flowable composite from GC, Ribbond and ever x flow covered by composite for core building
2 weeks later , preparation, macro-core build up
Buccal view
Cementation day, isolation with rubberdam, biobase air abraded
Phosphoric acid etching for 30 seconds
Cementation with heated composite
Immediate result after cementation
Occlusal view
If you don't have a glycerin in your clinic justs immerse the restoration with water and cure it
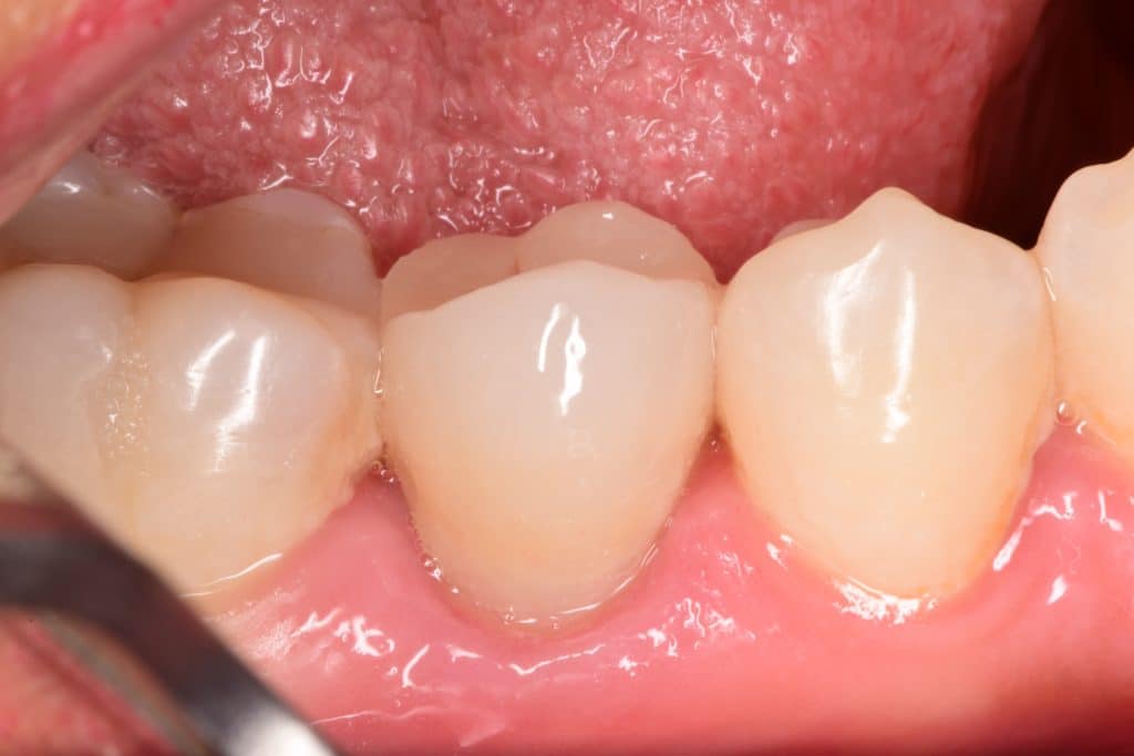
Immediate result after rubberdam removal
Occlusal view
2 weeks later , healing as it should be
Pre-operative x ray
DME , look to the ribbond
After preparation
Final x ray
Share on: