Protocol-Driven Restoration of Fractured Maxillary Centrals: A Conservative Adhesive Approach
Fractured maxillary incisors challenge both the function and identity of a smile. When a patient presents with compromised enamel, irregular fracture lines, and functional wear, the treatment objective goes far beyond filling a defect. The goal is to restore shape, strength, translucency, and harmony while preserving as much natural tooth structure as possible.
This case reflects what modern adhesive dentistry stands for: respect for biology, precise isolation, controlled substrate management, and disciplined layering. No shortcuts. No guesswork. Predictability comes from protocol.
1. Diagnosis and Treatment Planning
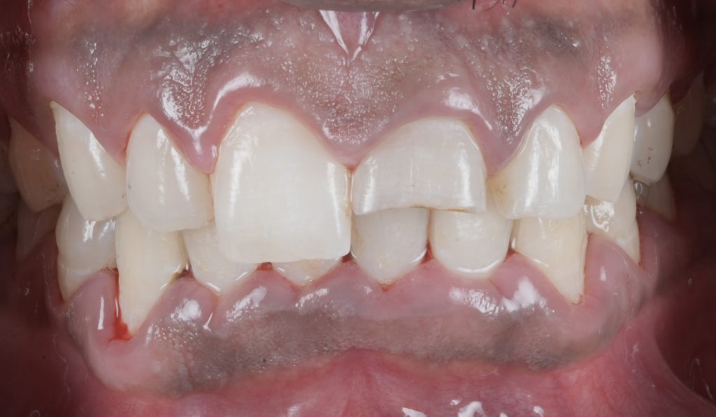
The patient presented with fractured incisal edges of 11 and 21, mild surface wear, and compromised enamel integrity. Pre-op photos showed uneven incisal proportions and altered line angles affecting the smile dynamics.
Key considerations included:
- Preserving enamel to maximize bond strength
- Restoring natural translucency and edge character
- Maintaining the patient’s envelope of function
- Creating symmetry without over-contouring
A direct composite rehabilitation was chosen. This approach allows enamel preservation, immediate aesthetic improvement, and reversible modification if needed.
2. Isolation: The Non-Negotiable Step
Rubber dam isolation was placed using anterior clamps for stability. Good isolation is not about convenience—it is the backbone of predictable adhesion.
Moisture, movement, and contamination are the silent killers of bonding. Literature confirms that saliva contamination significantly reduces bond strength, even with re-etching.
Reference: Yoshida et al., J Adhes Dent, 2000.
Isolation also improves visibility, reduces operator stress, and creates a controlled space for precision work.
3. Depth-Guided Reduction and Margin Control
Minimal enamel reduction was carried out using depth-cut burs. The goal:
- Remove unsupported enamel
- Create a clean bonding substrate
- Maintain enamel margins whenever possible
Enamel bonding is significantly stronger and more durable than dentin bonding.
Reference: Van Meerbeek et al., Oper Dent, 2010.
Margins were refined with a finishing disc to ensure smooth, well-defined interfaces.
4. Immediate Dentin Sealing (IDS)
Freshly exposed dentin was treated with IDS—a technique that seals dentin immediately after preparation, before any build-up.
Benefits include:
- Higher bond strength
- Reduced post-operative sensitivity
- Better resin infiltration of the hybrid layer
- Improved long-term clinical performance
Reference: Magne & Swift, J Esthet Restor Dent, 2009.
IDS creates a more stable bonded interface, especially critical in anterior aesthetics where microleakage and staining can quickly compromise results.
5. Palatal Shell Fabrication (Silicone Index Method)
A silicone index was used to build a palatal enamel shell, ensuring:
- Correct incisal edge position
- A stable reference for internal layering
- Reduced chair time
- Predictable symmetry
This technique avoids freehand guesswork and allows the operator to focus on sculpting the facial layers with precision.
Reference: Dietschi D., Quintessence Int., 2008.
6. Anatomical Layering Protocol
Layering composite is not art alone; it is science guided by optics. A dentin composite with higher opacity builds body and chroma, while enamel composite adds translucency and vitality.
Steps followed:
a. Dentin Core Build-Up
- Incremental placement (1–1.5 mm layers)
- Careful placement of mamelons for depth perception
- Controlled emergence profile
b. Enamel Layer
- Thin shell for translucency
- Respect of line angles
- Proper contouring to match contralateral tooth
c. Internal Effects (Optional)
- Subtle opacities for natural incisal halo
- Localized tints to replicate character
Optical layering is supported by evidence showing that multi-layer composite restorations yield superior aesthetic integration.
Reference: Nakajima et al., Dent Mater, 2012.
7. Finishing and Polishing Under Magnification
Finishing determines whether a composite looks like a tooth or a filling.
Protocol included:
- Fine diamond burs for initial contour
- Sof-Lex discs for line angle refinement
- Rubber polishers for texture
- Diamond paste and felt wheels for final gloss
Creating macro-texture and micro-texture brings the restoration to life by mimicking natural enamel behaviour under light.
Reference: Baratieri LN, Esthetic Dentistry in Clinical Practice.
8. Functional Verification
The incisal edges were checked in:
- Protrusive movement
- Lateral excursions
- Centric closure
Direct composite fractures occur most in improperly designed functional contacts. Ensuring proper occlusal guidance significantly improves longevity.
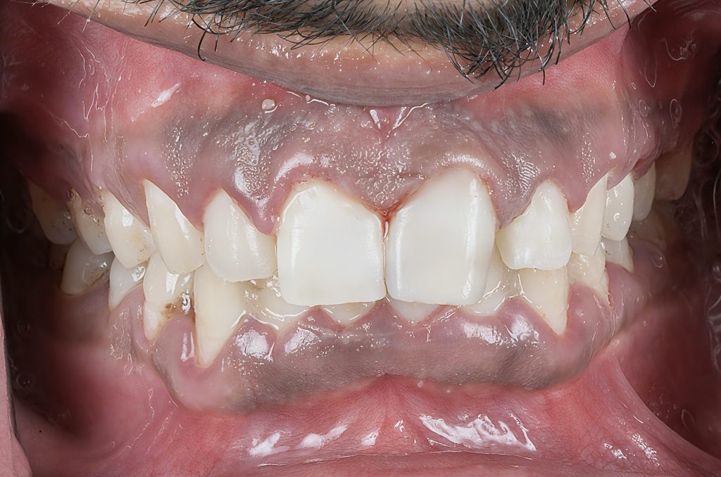
Outcome
The final restorations blended seamlessly with the natural dentition. They respected:
- Proportion
- Texture
- Symmetry
- Translucency
- Functional pathways
A confident, natural smile was restored without aggressive tooth reduction, crowns, or irreversible procedures.
This is adhesive dentistry at its best—minimally invasive, biologically respectful, and highly aesthetic.
References (Peer-Reviewed & Respected Sources)
- Van Meerbeek B. et al. “Adhesion to Enamel and Dentin.” Operative Dentistry, 2010.
- Magne P., Swift EJ. “Immediate Dentin Sealing for Indirect Restorations.” J Esthet Restor Dent, 2009.
- Dietschi D. “Layering Concepts in Composite Restorations.” Quintessence International, 2008.
- Nakajima M. et al. “Optical Properties of Monolithic vs. Layered Composites.” Dental Materials, 2012.
- Yoshida Y. et al. “Effect of Saliva Contamination on Bond Strength.” J Adhes Dent, 2000.
- Baratieri LN. Esthetic Dentistry in Clinical Practice. Quintessence Publishing.
Share on: