A Full-Protocol Rescue: From Failing Amalgam to a Predictable Biomimetic Restoration
Author
Dr Hamza Zahid
restorative dentist
Introduction
When a heavily restored molar fails, the easy route is extraction.
The predictable route is discipline.
This case demonstrates how a severely compromised lower molar was restored to full function using a complete biomimetic workflow: controlled removal of the old amalgam, microscope-guided caries excavation, proper isolation, endodontic therapy, and a staged adhesive build-up before final cuspal coverage.
No shortcuts.
No improvisation.
Just protocol-based dentistry that respects biology and tooth structure.
1. Pre-operative Evaluation
The tooth presented with:
- A large, deteriorated amalgam filling
- Recurrent deep caries
- Structural cracks undermining both cusps
- Radiographic involvement suggesting pulpal disease
Diagnosis:
Irreversible pulpitis with structural compromise requiring endodontics and cuspal coverage.
This combination of caries, cracks, and failing restoration made a traditional direct composite unpredictable.
A full biomimetic workflow was the only path to long-term stability.
2. Removal of Old Restoration and Caries Control
Under the microscope, the old amalgam was removed. The underlying picture revealed the true extent of disease:
- Soft, contaminated dentin
- Undermined enamel shells
- Sub-occlusal caries tracking toward the pulp
- Deep structural compromise
Caries removal followed a selective excavation protocol:
- Peripheral enamel: completely cleaned
- Deep dentin: preserved when firm to avoid unnecessary pulp exposure
- Internal cracks: assessed and stabilized early
This approach preserves the dentin architecture necessary for biomimetic reinforcement.
3. Rubber Dam Isolation: The Non-Negotiable Step
Absolute isolation was achieved using a heavy rubber dam with clamp stabilization and accessory sealing.
For endodontics or adhesive dentistry, isolation is not optional.
You cannot achieve predictable disinfection or bond strength without it.
This step sets the tone for the entire case.
4. Endodontic Therapy Under Magnification
A conservative access was refined to maintain internal strength while allowing complete visualization.
Endodontic protocol included:
a. Glide path establishment
Hand files were used to secure a smooth, reproducible path before rotary instrumentation.
b. Cleaning and shaping
NiTi systems shaped the canals while preserving natural anatomy.
c. Irrigation sequence
- Sodium hypochlorite
- EDTA
- Ultrasonic activation
This ensures organic tissue dissolution and removal of the smear layer.
d. Obturation
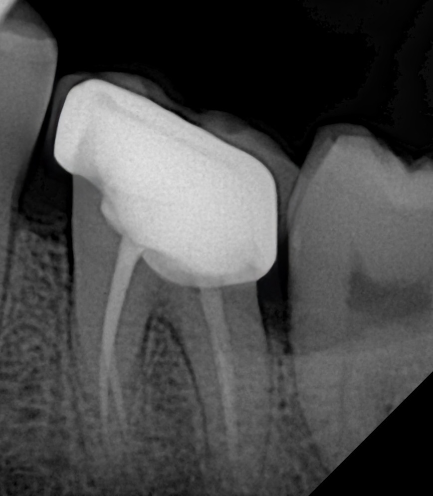
The canals were filled using warm vertical compaction with bioceramic sealer, ensuring three-dimensional obturation and apical seal.
Radiographic results confirmed proper taper, length, and absence of voids.
5. Immediate Post-Endo Build-Up (IDS + Reinforcement)
Before preparing the tooth for cuspal coverage, the internal structure was reinforced.
Immediate Dentin Sealing (IDS)
Freshly cut dentin was sealed immediately with a strong adhesive layer, improving bond strength and reducing polymerization stress.
Fiber-reinforced base
In areas of deep dentin loss, a fiber-reinforced composite layer (e.g., EverX / equivalent) was placed to reduce cusp flexure and strengthen the foundation.
Incremental composite build-up
Under magnification, composite was layered to reconstruct internal anatomy and core height with maximum control.
This stabilizes the tooth, prevents micro-movement, and ensures the final onlay sits on a strong, bonded platform.
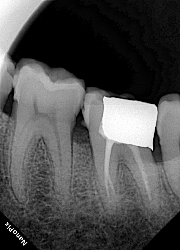
6. Final Preparation for Composite Onlay
After the internal build-up cured and matured:
- Minimal cusp reduction was performed
- Internal line angles were rounded to reduce stress concentration
- Margins were kept supragingival whenever possible
- A conservative onlay design preserved maximum enamel
This preserves the tooth’s biomechanical integrity while allowing full cuspal protection.
A digital impression was then made, and a lab-processed composite onlay was fabricated for ideal fit, esthetics, and wear compatibility.
7. Adhesive Cementation Protocol
A strict bonding sequence was followed:
Tooth Surface
- Pumice cleaning
- Selective enamel etching
- Universal adhesive application, air-thinned and cured
Onlay Surface
- Sandblasting (or HF etch depending on material)
- Silane application
- Universal adhesive (not cured)
Luting
- Dual-cure adhesive resin cement
- Controlled light-curing
- Margins checked and polished
The entire bonding process was completed under rubber dam to ensure a contamination-free environment.
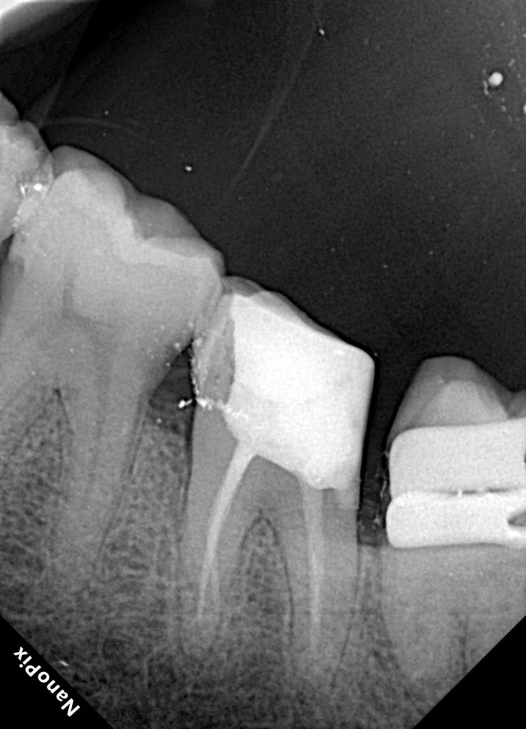
8. Final Outcome
The restored molar now exhibits:
- Stable occlusion
- Strong cuspal protection
- A perfectly sealed adhesive interface
- Natural morphology
- Reinforced internal structure
A tooth that once appeared hopeless is now functional, esthetic, and biomechanically stable.
This is the power of protocol-driven, microscope-enhanced biomimetic dentistry.
Conclusion
Compromised molars don’t need miracles.
They need protocol, visibility, and respect for biology.
When each step is executed with discipline:
- Isolation
- Caries control
- Endodontic disinfection
- IDS
- Fiber reinforcement
- Controlled build-up
- Adhesive cementation
…even heavily damaged teeth become predictable again.
This is honest dentistry — not the easiest way, but the right way.
References
- Bjørndal L. Caries excavation and risk management. Caries Res.
- Clark D, Khademi J. Modern restorative-endodontic access principles.
- Van Meerbeek B et al. Adhesion to dentin and enamel: state of the art. Dent Mater.
- Opdam NJ et al. Longevity of posterior resin restorations. J Dent Res.
- Magne P, Belser U. Biomimetic restorative dentistry concepts.
- Breschi L et al. Immediate dentin sealing: evidence and advantages.
- Ferracane JL. Resin composite properties and clinical performance.
Share on: