Hi everyone:
I present this case for sharing the learning and benefit with all , I hope you like it
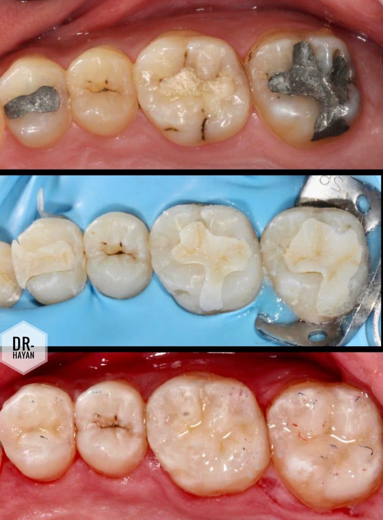
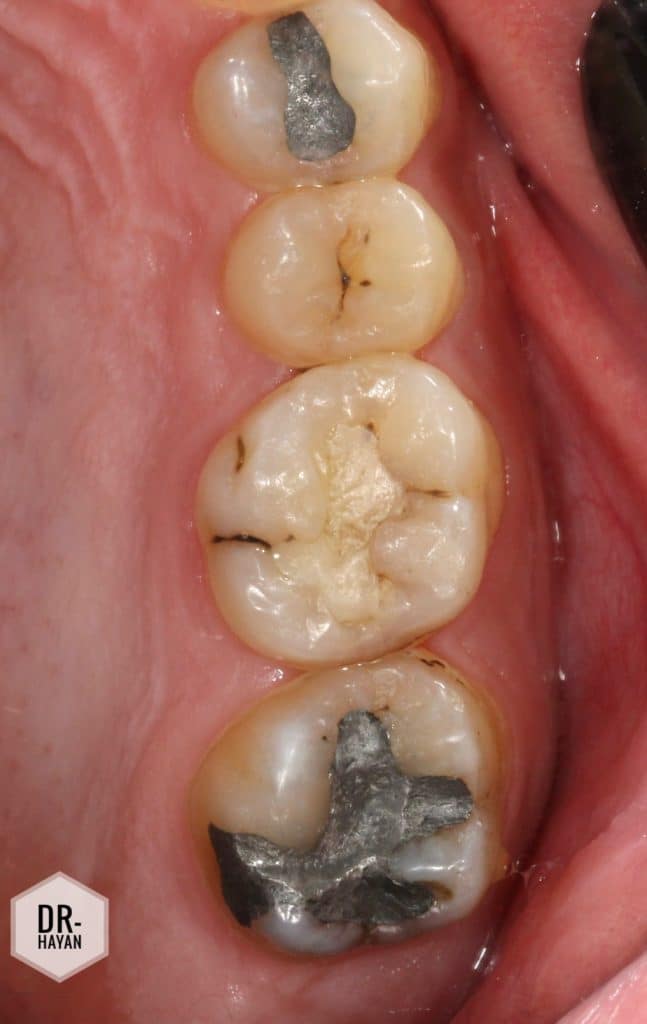
Initial view
18 years old patient
After cavity preparation and remove old restoration
Recurrent caries under amalgam lead to
MTA pulp caping of upper 4
Bonding + RESIN COATING
& IDS
before temporary
Temporary by liquidam
Apply the liqui dam on
Inter proximal area of adjacent teeth and occlusal of preped tooth to prevent micro movements
Should be cover the prep by teflon
After pouring the cast
Margin preparation and apply separating medium for internal spacing
Upper 6&7
Upper 4 bulding up
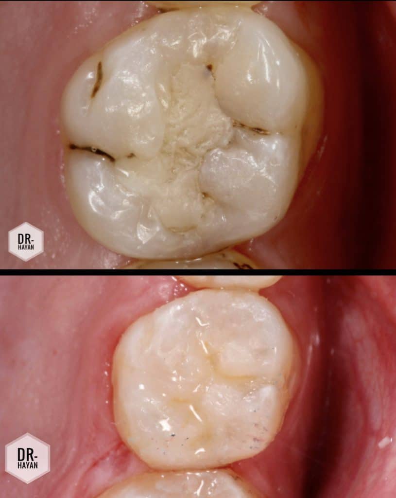
Final anatomy
After heating ttt
Benefits of heat ttt
- better mechanical properties
- higher monomer conversion
- increase wear resistance
- increase color stability
2nd visit
After isolation
Try in
Try in
After cleaning the preparation and apply new bond
Ready to cementation
1st one
Cementation protocol
After cleaning the tooth from liquidam
White coated stone for finishing
And bumas
And remove any excess of temporary
Phosphoric acid for 20 s just for debris cleaning
Apply the adhesive layer as wetting agent
Fitting surface of restoration better to ;
Roughness the fitting surface with diamonds bur at low speed
and cleaning with phosphoric acid for 5 s
Then apply adhesive layer
Then add preheat compsite
Benefits of pre heating compsite
1- ⬆️viscosity
2- ⬆️monomer conversion
3- better excess remove
4-⬇️polymerization shrinkage
Should be use micro hybrid compsite
Clean and freshly bond
Finally
Before finishing and polishing
Finally
Occlusion should be check Centric and lateral
Marginal adaptation of 4
Thanks
Share on: