The patient is a 28 year old working class patient in Bangalore, India. He came to my clinic seeking a filling for his upper front teeth.
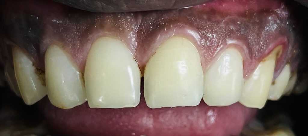
He gave a history of trauma 1 year back on account of which he had fractured his upper front teeth.
On clinical , Radiographic and pulp vitality examination, there were no signs of pulpal necrosis and no signs of infection.
After explaining to him the complexity of the restorative procedure, he agreed to get the treatment done but in limited time.
Case difficulty- The exact shade matching with the contralateral central and lateral and to mimic the natural incisal irregularities, while keeping the midline diastema intact.
Diagnosis- Elli’s Class 2 fracture involving 21 and 22 where the fracture was not extending/not involving the pulp.
Share on: