2025 GC Academic Excellence Contest
Senior Category , Resident at Conservative Dentistry Department
Author : Ayatellah Mohamed Ossman
Tutor : Dr.Aya Adly
University : Cairo University , Egypt🇪🇬
Prof.Heba Hamza (Head of Conservative Dentistry Department)
The Power of GC’s Injectable Composite✨🌟
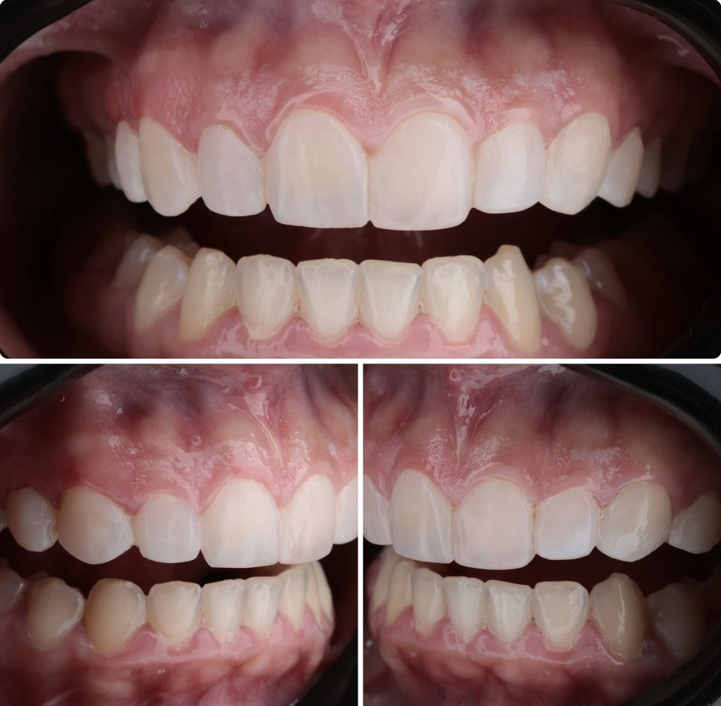
A 21-years-old Female presented with unpleasant esthetic appearance due to diastemas between her teeth and non-uniform shape , size and alignment of her anterior teeth which made her ashamed of her smile so she always tend to hide her teeth while smiling 🫢
Treatment Objective:
The Primary treatment objective was to enhance the patient’s smile aesthetics by addressing existing dental irregularities. This included closing diastemas (gaps between teeth), improving the shape, size, and alignment of the anterior teeth, and creating a more harmonious and symmetrical smile line using a conservative approach with GC injectable composite.
Clinical Protocol :
✔️Initial Scaling , polishing and oral hygiene enhancement through patient education.
✔️Intra-oral Scanning , Digital Smile Design esthetic analysis & 3D printed wax-up model .
✔️Fabrication of Clear Silicone Keys using GC Exaclear and shade was selected to be A1 after mock up confirmation.
✔️Rubber Dam Isolation and Floss ligatures for better marginal control.
✔️Enamel Surface Roughening , Total enamel etching using 37% phosphoric acid for 15 sec., after rinsing G-Premio Bond was applied .
✔️Injection of each Tooth separately using G-aenial universable Injectable composite through the clear index.
✔️Light curing through the index , followed by direct multi-angle curing .
✔️Finishing using yellow coded finishing stone + Finishing Discs & flexible finishing strips.
✔️Polishing using composite polishing paste + SuperBuff for super polishing & high surface gloss.
Outcome of the Case:
The outcome is a significantly improved and aesthetically pleasing smile. All Diastemas have been successfully closed, and the teeth now exhibit uniform shape, size, and alignment. The overall smile appears more symmetrical and natural, providing the patient with a confident and radiant smile😁. The use of GC injectable composite allowed for a minimally invasive yet highly effective cosmetic transformation.
Share on: