“ saving private premolar ! “
Patient attended to the clinic seeking for saving his tooth no. 35
The tooth with large defective amalgam restoration ,
After removing the old restoration,
the tooth was dying ! And the margin level below the bone level!
Patient refused the extraction and insist to save the tooth !
According to the conventional school, the tooth is very difficult and need at least 2 mm feruule all around to save it and cover it with indirect restoration.
But with Biomimetic revolution, and the power of adhesive dentistry , the case became relatively easy and restorable!
Treatment plan was :
📌 Remove the old defective filling from tooth n.35 and also no.36 (overhanged!).
📌 surgical crown lengthening.
📌 DME confirmed with peri apical radiograph to ensure optimal seal .
📌 Re RCT for tooth no.35 .
📌 IDS with se bond from kurrary and resin coat
📌 pulp chamber filled with ever x posterior from GC to build macro core .
📌preparation and digital scanning
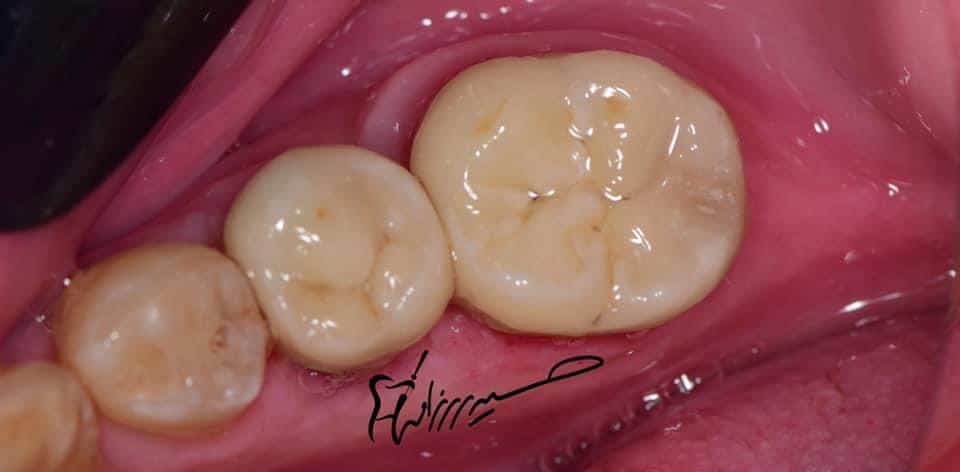
📌 cementation done with apx heated composite
Fractured premolar with defective amalgam restoration and contact of both premolar and 1st molar .
Remove the old defective filling from tooth n.35 and also no.36 (overhanged!).
DME confirmed with peri apical radiograph to ensure optimal seal .
Now ready for endodontic re treatment
Healing after surgical crown lengthening
Isolation
Cementation with heated apx composite
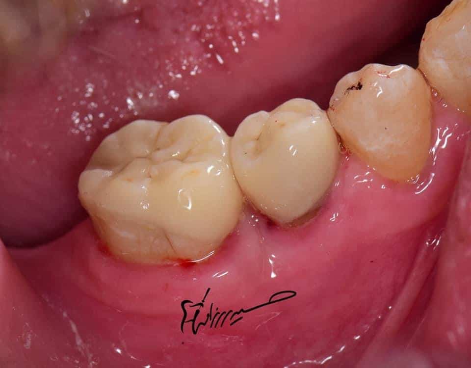
Cementation of the other tooth
Final situation
Lateral view
Before and after
Share on: