𝐋𝐎𝐖𝐄𝐑 𝟖
Replacement of old metal restoration by new composite restoration
Explanation of the steps under each picture
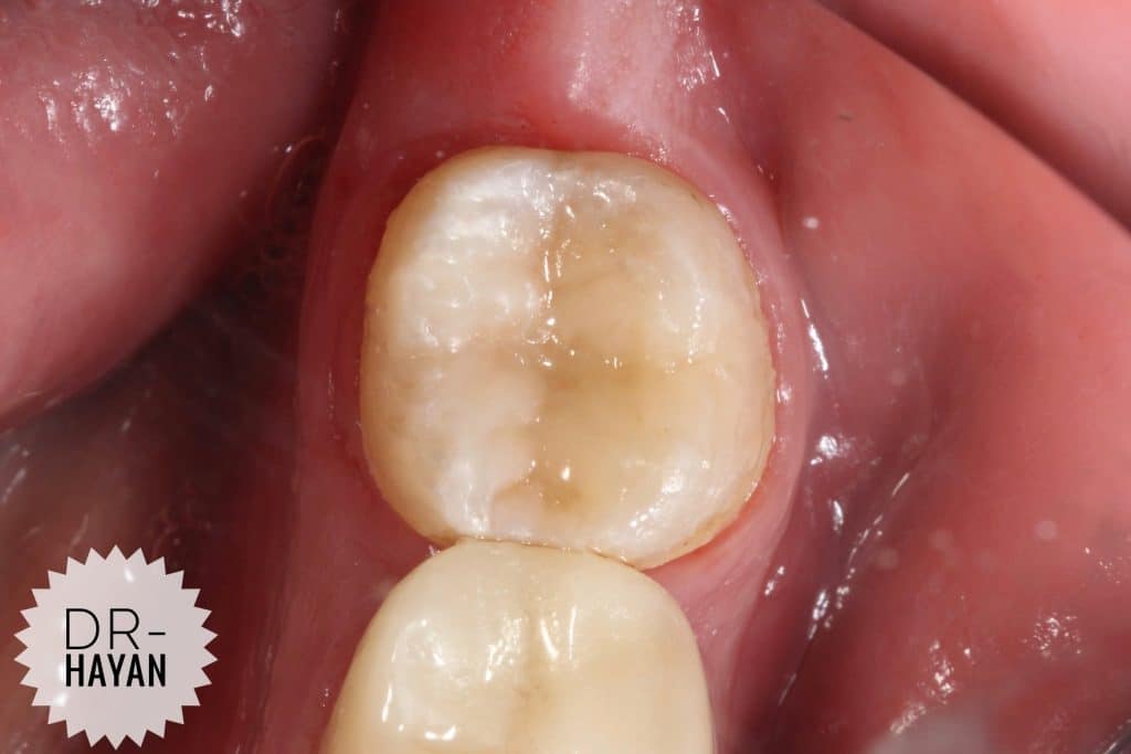
Initial view
lower 8 with Bad anatomy restoration & broken margin
With Sensitivity due to exposed dentin
After remove the amalgam
As usual , recurrent caries under it
Remove the caries & finishing the margin
CDD
Although caries indicating dyes are not highly specific, the intensity of the stain can be utilized to selectively remove stained areas. In general, areas with a darker, more intense stain tend to have a greater degree of demineralization and carious bacteria. Areas with a lighter stain may not be affected and can be left in place.
Some infected dentine
you can note the different under magnification , specifically around the discoloration dentine
Finishing the floor And
Remove any sharp angle
After that
IDPC
Selective etch
- finishing the gingival seat by sharp excavator
- After etching dis infected the cavity by CHX
And dry it only
-
CHX is recommended to be used in case
Etching, drillind , heat generation in dentine
as those causes degeneration of collagen protein from hydroxyapatite which makes it vulnerable to the action of proteolytic enzymes such as MMPs … is there a recommendation to use CHX to prevent it degeneration
Bonding process
Enamel soo easy
But the dentine it’s challenging
Bonding
, universal bond
2 layer
Bond 👉🏻 rubbing 20 s remove excess 👉🏻 some air 👉🏻 light cure 20 s
Another one
Bond 👉🏻 rubbing 20 s remove excess 👉🏻 some air 👉🏻 light cure 20 s
Then ,
O.5 mm of RESIN COATING on dentin
One layer of universal bond it’s very weak And thickness of one layer about 10 micron
When application 2 layer - we elevated the thickness of adhesive layer to 20 micron
Still it’s weak point in universal bond
on the opposite side
Obtibond ( prime - adhesive) separate
Thickness of layer 80 micro
More strongly than universal
https://pubmed.ncbi.nlm.nih.gov/29040961/
Wait 5 minutes and then start working with Compsite
To conversion all the monomer in bonding system
Decouple with time. This protocol states that polymerization shrinkage stress to the developing dentin bond of the hybrid layer should be minimized for a certain period of time (ie 5 to 30 minutes) by keeping initial increments to a minimum thickness
First Bulding up of buccal & lingual wall
Laying technique
Start with large cusp
1ry & 2ry Anatomy
Finishing it
Finally
Share on: