Single crown is a very challenging case due to the esthetic requirements especially if the patient is female
the key success of such cases is the good communication between the dentist and the lab .
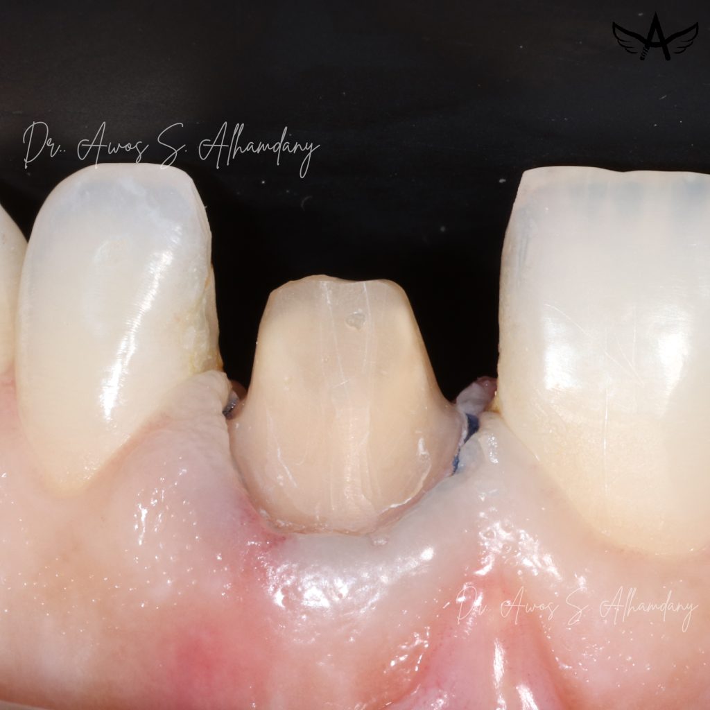
in this case the patient came to me with old fractured PFM crown
after refining the preparation and digital impression taken
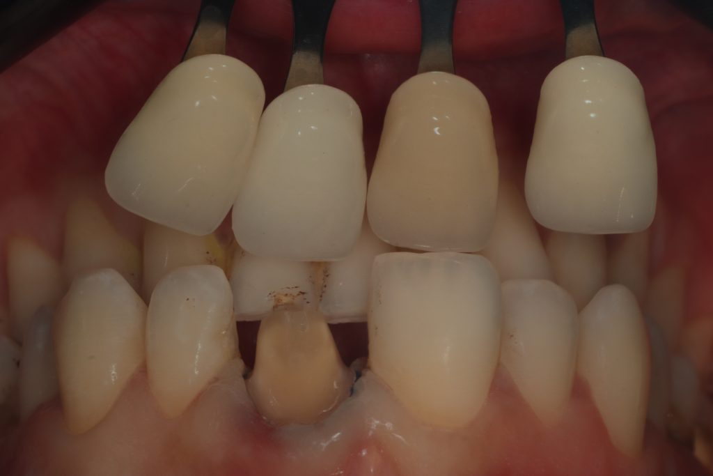
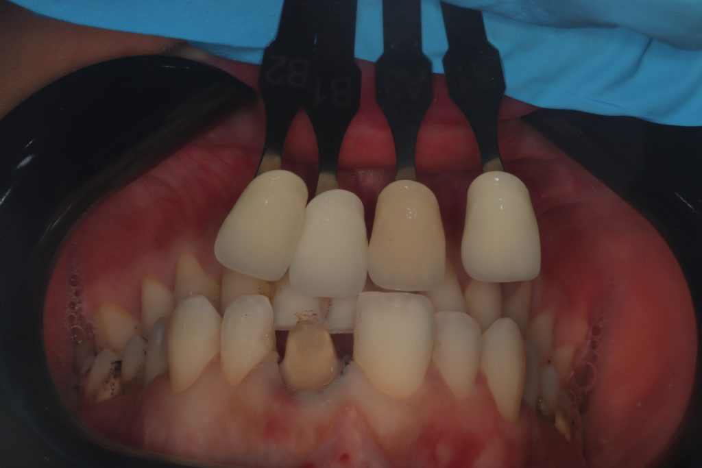
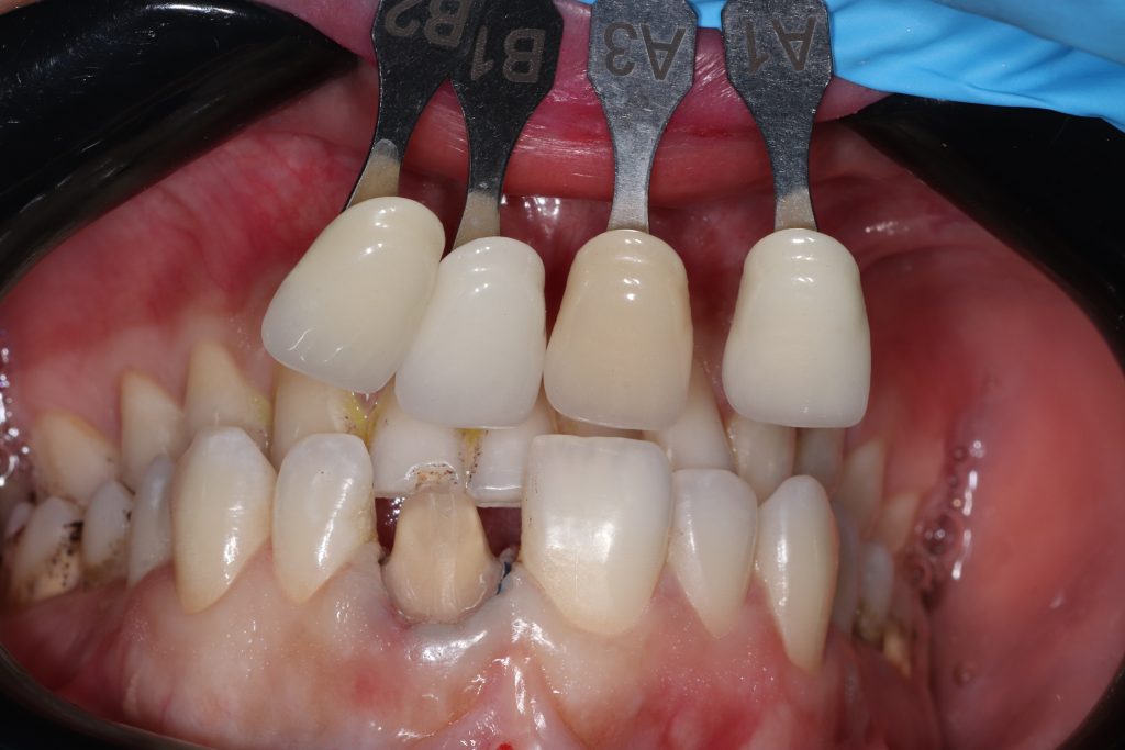
shade selection by two images, normal light and polarized filter and sent to the lab
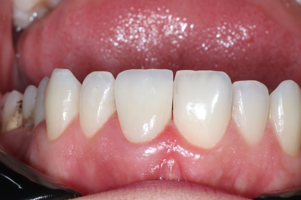
we made a temporary PMMA crown for two weeks till the final Layered zirconia crown is done
Ring flash
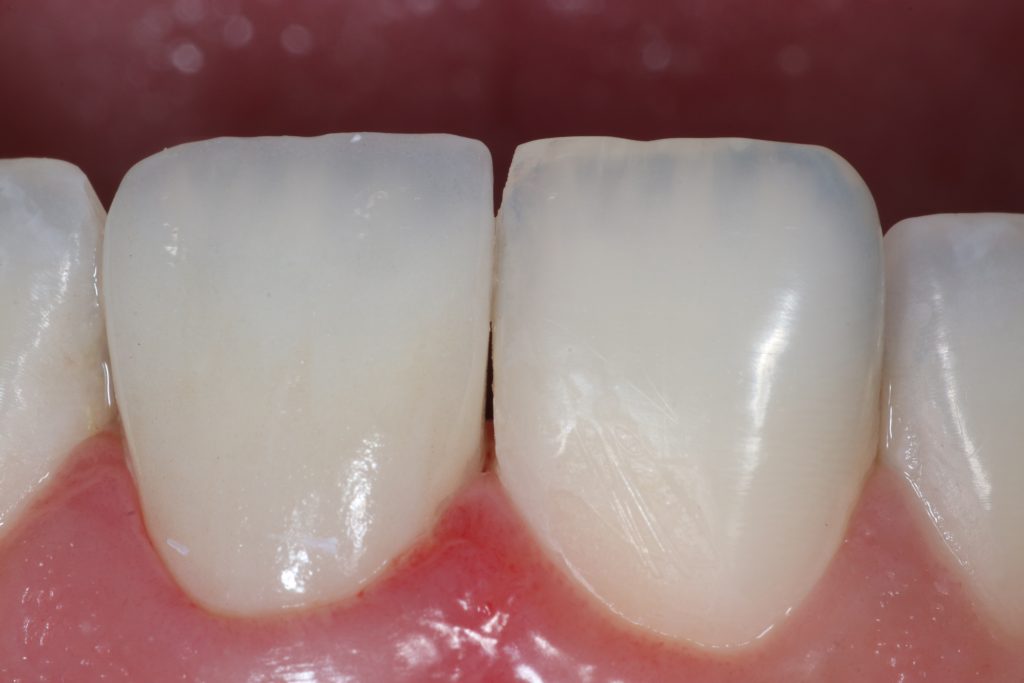
Polarized filter
Polarized filter for shade selection
Almost identical to the natural tooth
Share on: