Deep margin cases usually difficult to manage
but with the appropriate gadget could be done easily
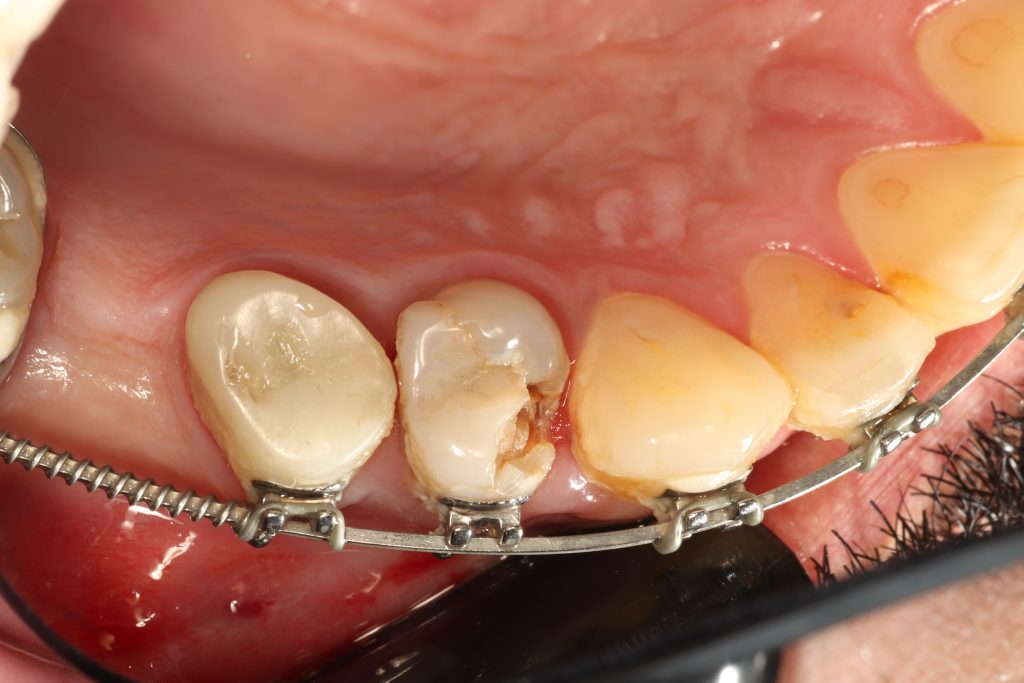
this patient referred to me from his orthodontist to restore tooth no. 14
i started by removing the ortho wire from the tooth so I can apply the rubber dam properly
after isolating the tooth I removed the old defective filling and cleaning tooth
Deep margin elevation done by using cooper ring.
two metal screws applied to the tooth for support
after the margin elevation I used the bioclear matrix to get a proper contour
using injection over molding to complete the tooth
finishing and polishing
Old defected filling and recurrent caries
After cleaning and deep margin elevation
Evolve Bio clear matrix in action
Share on: